• Tel: 858.663.9055
  • SeparatorEmail: info@nsjbio.com
  • Tel: 858.663.9055
  • Email: info@nsjbio.com
Home >> Antibodies >> HLA-DP/DQ/DR Antibody (MHC II)

HLA-DP/DQ/DR Antibody (MHC II) [clone CR3/43] (V3374)

  Catalog No Formulation Size Price (USD)  
Image V3374-100UG 0.2 mg/ml in 1X PBS with 0.1 mg/ml BSA (US sourced) and 0.05% sodium azide 100 ug 559
Image
V3374-20UG 0.2 mg/ml in 1X PBS with 0.1 mg/ml BSA (US sourced) and 0.05% sodium azide 20 ug 259
Image
V3374SAF-100UG 1 mg/ml in 1X PBS; BSA free, sodium azide free 100 ug 559
Bulk quote request
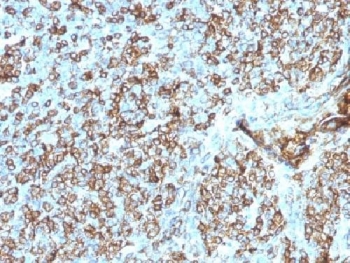
IHC testing of FFPE human tonsil tissue with HLA-DP/DQ/DR antibody (clone CR3/43). Required HIER: boil tissue sections in 10mM citrate buffer, pH 6, for 10-20 min.
IHC testing of FFPE human tonsil tissue with HLA-DP/DQ/DR antibody (clone CR3/43). Required HIER: boil tissue sections in 10mM citrate buffer, pH 6, for 10-20 min.
Western blot testing of human Ramos cell lysate with HLA-DP/DQ/DR antibody (clone CR3/43). Expected molecular weight ~36 kDa (alpha chain) and ~27 kDa (beta chain).
Western blot testing of human spleen cell lysate with HLA-DP/DQ/DR antibody (clone CR3/43). Expected molecular weight ~36 kDa (alpha chain) and ~27 kDa (beta chain).
IF/ICC staining of human Raji cells with HLA-DP/DQ/DR antibody (green) and Reddot nuclear stain (red).
Flow cytometry testing of human Raji cells with HLA-DP/DQ/DR antibody at 1ug/10^6 cells (blocked with goat sera); Red=isotype control, Blue= HLA-DP/DQ/DR antibody.
SDS-PAGE analysis of purified, BSA-free HLA-DP/DQ/DR antibody (clone CR3/43) as confirmation of integrity and purity.
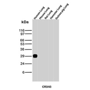
Western blot testing of various species lung tissue lysate with HLA-DP/DQ/DR antibody (clone CR3/43). Expected molecular weight ~36 kDa (alpha chain) and ~27 kDa (beta chain).
Western blot testing of human Daudi cell lysate with HLA-DP/DQ/DR antibody (clone CR3/43). Expected molecular weight ~36 kDa (alpha chain) and ~27 kDa (beta chain).
Availability 1-3 business days
Species Reactivity Human
Format Purified
Host Mouse
Clonality Monoclonal (mouse origin)
Isotype Mouse IgG1, kappa
Clone Name CR3/43
Purity Protein G affinity chromatography
UniProt P04440 , P01908 , P01909 , P01920 , P01903
Localization Cytoplasmic and cell surface
Applications ELISA : 2-4ug/ml for coating (order BSA/sodium azide-free format)
Flow Cytometry : 1-2ug/million cells
Immunofluorescence : 1-2ug/ml
Western Blot : 1-2ug/ml
Immunohistochemistry (FFPE) : 1-2ug/ml for 30 min at RT
Limitations This HLA-DP/DQ/DR antibody is available for research use only.
Review this product on BioCompare and get a $20 Amazon gift card

Related Products

Description

The HLA-DP/DQ/DR antibody (clone CR3/43) detects a shared epitope present on the major human MHC class II molecules HLA-DP, HLA-DQ, and HLA-DR. These proteins are central antigen-presenting receptors encoded within the human leukocyte antigen (HLA) locus on chromosome 6p21.3. The UniProt recommended names are HLA class II histocompatibility antigen DP alpha/beta chains, DQ alpha/beta chains, and DR alpha/beta chains, respectively. All belong to the class II major histocompatibility complex family and are expressed on the surface of professional antigen-presenting cells including dendritic cells, B cells, macrophages, and certain epithelial and endothelial cell populations under inflammatory stimulation. HLA class II molecules localize primarily to the plasma membrane and endosomal-lysosomal compartments, where they acquire peptides for presentation to CD4+ T cells.

MHC class II proteins are heterodimers consisting of one alpha chain and one beta chain, each containing an extracellular antigen-binding domain, a membrane-spanning region, and a short cytoplasmic tail. Their peptide-binding grooves accommodate processed peptides usually 12 to 25 amino acids in length. This antigen-presenting function drives helper T-cell activation, shaping innate and adaptive immune coordination. HLA-DP, HLA-DQ, and HLA-DR each exhibit extensive allelic diversity, with polymorphisms clustered around the peptide-binding region. These differences influence peptide affinity, susceptibility to certain autoimmune diseases, and response to pathogens. The shared epitope recognized by clone CR3/43 enables detection of multiple HLA class II isotypes simultaneously, providing a broad marker of antigen-presenting cell activation and class II upregulation.

Expression of HLA-DP, -DQ, and -DR is controlled by the class II transactivator CIITA and the RFX transcription factor complex. Proinflammatory cytokines such as interferon gamma induce the expression of all three class II molecules, expanding antigen-presenting capacity during infection or tissue injury. During development, class II expression is restricted, appearing prominently in thymic epithelial cells that regulate T-cell selection and central tolerance. In peripheral tissues, expression patterns adapt to local environmental cues, microbial signals, or immune-mediated inflammation.

HLA-DP, -DQ, and -DR traffic through the endosomal pathway, where they interact with the invariant chain (Ii), a chaperone that directs proper folding and prevents premature peptide loading. After invariant chain degradation, HLA-DM catalyzes peptide exchange, allowing high-affinity peptides to bind. Mature complexes then move to the cell surface for CD4+ T-cell engagement. Because these molecules participate in both immunity and tolerance, their distribution influences responses to infection, vaccination, autoantigen exposure, and tumor microenvironment remodeling.

Disease relevance for HLA class II molecules is extensive. Specific alleles within HLA-DQ and HLA-DR strongly associate with autoimmune disorders such as type 1 diabetes, rheumatoid arthritis, multiple sclerosis, celiac disease, and autoimmune thyroiditis. HLA-DP alleles contribute to susceptibility or resistance to chronic viral infections, including hepatitis and certain respiratory viruses. In oncology, class II expression on tumor cells or infiltrating antigen-presenting cells modulates antitumor immunity and influences therapeutic responses, including immunotherapy efficacy. The distribution of HLA-DP/DQ/DR in tissue microenvironments provides insight into immune infiltration patterns, local cytokine conditions, and antigen presentation potential.

At the cellular level, HLA-DP, HLA-DQ, and HLA-DR are enriched at the plasma membrane but are also present in endosomal compartments where peptide selection occurs. Their colocalization with markers of antigen processing pathways helps identify maturation stages of antigen-presenting cells. Expression increases during dendritic cell activation and is indispensable for T-cell priming in lymphoid organs. In stromal and epithelial tissues, inducible class II expression signals an ongoing inflammatory response or localized immune recruitment.

The HLA-DP/DQ/DR antibody (clone CR3/43) binds a common epitope shared across these class II molecules, allowing broad detection of total HLA class II expression regardless of subtype. This makes clone CR3/43 a useful marker for identifying antigen-presenting cells, characterizing immune activation states, and evaluating conditions where multiple class II isotypes contribute simultaneously to immune signaling. An antibody recognizing this shared determinant can be used in immunohistochemistry, western blot, or other research assays to examine class II distribution, inflammatory signaling, and immune microenvironment organization. These general applications support studies focused on immunoregulation, host defense, tissue pathology, and adaptive immune coordination. NSJ Bioreagents provides the HLA-DP/DQ/DR antibody (clone CR3/43) validated for use in relevant research applications requiring detection of HLA class II molecules.

Application Notes

Optimal dilution of the HLA-DP/DQ/DR antibody should be determined by the researcher.

Immunogen

Human tonsil cells were used as the immunogen for the HLA-DP/DQ/DR antibody. This mAb reacts with a common epitope of human major histocompatibility (MHC) class II antigens, HLA-DP, -DQ and -DR.

Storage

Store the HLA-DP/DQ/DR antibody at 2-8oC (with azide) or aliquot and store at -20oC or colder (without azide).

Cross
Bulk Quote Request Form
Name*:
Organization*:
Email*:
Phone Number*:
Catalog No.*:
Comments and Specifics(amount, formulation, etc.)*:
Validation code: Captchapackage Image


Can't read the image? click here to refresh.
    *required field

Your bulk quote request has been submitted successfully!

Please contact us if you have any questions.