• Tel: 858.663.9055
  • SeparatorEmail: info@nsjbio.com
  • Tel: 858.663.9055
  • Email: info@nsjbio.com
Home >> Antibodies >> HLA-B Antibody (MHC Class I)

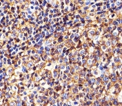
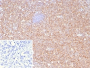
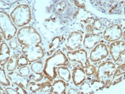
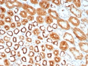
HLA-B Antibody (MHC Class I) [clone SPM420] (V8848)

  Catalog No Formulation Size Price (USD)  
Image V8848-100UG 0.2 mg/ml in 1X PBS with 0.1 mg/ml BSA (US sourced), 0.05% sodium azide 100 ug 559
Image
V8848-20UG 0.2 mg/ml in 1X PBS with 0.1 mg/ml BSA (US sourced), 0.05% sodium azide 20 ug 259
Image
V8848SAF-100UG 1 mg/ml in 1X PBS; BSA free, sodium azide free 100 ug 559
Bulk quote request
Availability 1-3 business days
Species Reactivity Human
Format Purified
Host Mouse
Clonality Monoclonal (mouse origin)
Isotype Mouse IgG, kappa
Clone Name SPM420
Purity Protein A/G affinity
UniProt P01889
Localization Cell Surface
Applications Flow Cytometry : 1-2ug/million cells
Immunofluorescence : 1-2ug/ml
Limitations This HLA-B antibody is available for research use only.
Review this product on BioCompare and get a $20 Amazon gift card

Related Products

Description

HLA-B belongs to the HLA class I heavy chain paralogues. This class I molecule is a heterodimer consisting of a heavy chain and a light chain (beta-2 microglobulin). The heavy chain is anchored in the membrane. Class I molecules play a central role in the immune system by presenting peptides derived from the endoplasmic reticulum lumen. They are expressed in nearly all cells. The heavy chain is approximately 45kDa and its gene contains 8 exons. Exon 1 encodes the leader peptide, exon 2 and 3 encode the alpha1 and alpha2 domains, which both bind the peptide, exon 4 encodes the alpha3 domain, exon 5 encodes the transmembrane region and exons 6 and 7 encode the cytoplasmic tail. Polymorphisms within exon 2 and exon 3 are responsible for the peptide binding specificity of each class one molecule. Typing for these polymorphisms is routinely done for bone marrow and kidney transplantation. Hundreds of HLA-B alleles have been described.

Application Notes

Optimal dilution of the HLA-B antibody should be determined by the researcher.

Immunogen

Normal human peripheral blood lymphocytes were used as the immunogen for the HLA-B antibody.

Storage

Aliquot the HLA-B antibody and store frozen at -20oC or colder. Avoid repeated freeze-thaw cycles.

Cross
Bulk Quote Request Form
Name*:
Organization*:
Email*:
Phone Number*:
Catalog No.*:
Comments and Specifics(amount, formulation, etc.)*:
Validation code: Captchapackage Image


Can't read the image? click here to refresh.
    *required field

Your bulk quote request has been submitted successfully!

Please contact us if you have any questions.