• Tel: 858.663.9055
  • SeparatorEmail: info@nsjbio.com
  • Tel: 858.663.9055
  • Email: info@nsjbio.com
Home >> Antibodies >> Histone H4 (mono methyl K20) Antibody / HIST1H4 Chromatin Compaction Regulation Antibody

Histone H4 (mono methyl K20) Antibody / HIST1H4 Chromatin Compaction Regulation Antibody [clone 31H81] (FY13242)

  Catalog No Formulation Size Price (USD)  
Image FY13242 Rabbit IgG in phosphate buffered saline, pH 7.4, 150mM NaCl, 0.02% sodium azide and 50% glycerol, 0.4-0.5mg/ml BSA 100 ul 449
Microvalidated Recrabbitmono
Bulk quote request
Histone H4 (mono methyl K20) Antibody WB. Western blot analysis of HIST1H4 / Histone H4 lysine 20 monomethylation (H4K20me1) in human Jurkat cell lysate using Histone H4 (mono methyl K20) Antibody / HIST1H4 Chromatin Compaction Regulation Antibody. A band is detected at the predicted molecular weight corresponding to monomethylated Histone H4, consistent with nuclear chromatin-associated localization and its role in chromatin compaction and cell cycle-regulated genome stability.
Histone H4 (mono methyl K20) Antibody HeLa WB. Western blot testing of human HeLa cell lysate using the Histone H4 (mono methyl K20) antibody at 1:3000 dilution for 1 hour at room temperature. Predicted molecular weight ~11 kDa.
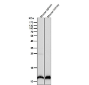
Histone H4 (mono methyl K20) Antibody Mouse Tissue WB. Western blot analysis of HIST1H4 / Histone H4 lysine 20 monomethylation (H4K20me1) in mouse spleen and mouse kidney tissue lysates using Histone H4 (mono methyl K20) Antibody / HIST1H4 Chromatin Compaction Regulation Antibody. A band is detected at the predicted molecular weight corresponding to monomethylated Histone H4, consistent with nuclear chromatin-associated localization and its role in chromatin compaction and genome stability across tissues.
Availability 2-3 weeks
Species Reactivity Human, Mouse, Rat
Format Liquid
Host Rabbit
Clonality Recombinant Rabbit Monoclonal
Isotype Rabbit IgG
Clone Name 31H81
Purity Affinity-chromatography
Buffer Rabbit IgG in phosphate buffered saline, pH 7.4, 150mM NaCl, 0.02% sodium azide and 50% glycerol, 0.4-0.5mg/ml BSA.
UniProt P62805
Applications Western Blot : 1:500-1:2000
Immunohistochemistry : 1:50-1:200
Immunocytochemistry/Immunofluorescence : 1:50-1:200
Limitations This Histone H4 (mono methyl K20) antibody is available for research use only.
Review this product on BioCompare and get a $20 Amazon gift card

Related Products

Description

Histone H4 (HIST1H4) lysine 20 is a key regulatory residue within the histone core that plays a central role in chromatin architecture, genome stability, and cell cycle progression. Monomethylation at this site (H4K20me1) represents a distinct and highly regulated chromatin state that is functionally separate from di- and trimethylated forms. Histone H4 (mono methyl K20) Antibody / HIST1H4 Chromatin Compaction Regulation Antibody (clone 31H81) is designed to detect Histone H4 monomethylated at lysine 20, enabling precise analysis of this essential epigenetic modification. This antibody is part of our broader Histone H4 antibody collection, including acetylation, methylation, phosphorylation, and total H4 detection reagents for chromatin and epigenetics research.

HIST1H4 antibody, also referred to as Histone H4 antibody and H4K20me1 antibody in the literature, specifically recognizes the monomethylated state of lysine 20 while excluding di- and trimethylated variants. This distinction is critical because each methylation state at lysine 20 corresponds to a different functional role in chromatin biology. H4K20me1 is not simply an intermediate step, but a biologically active modification with its own regulatory significance.

This recombinant rabbit monoclonal clone 31H81 antibody is uniquely positioned for studies of chromatin organization and cell cycle-dependent chromatin dynamics. H4K20me1 is tightly regulated during the cell cycle and is particularly enriched during S phase, where it contributes to DNA replication and chromatin assembly. The methyltransferase SETD8, also known as PR-Set7, is responsible for catalyzing this modification and is itself tightly controlled to ensure proper timing of chromatin modification during replication.

At the molecular level, H4K20me1 contributes to nucleosome stability and higher-order chromatin folding by modulating interactions between histone tails and adjacent nucleosomes. Unlike acetylation marks that reduce chromatin compaction, monomethylation at lysine 20 supports a structurally organized chromatin state that remains compatible with DNA replication and repair processes.

H4K20me1 occupies a unique position within the lysine 20 methylation spectrum. While H4K20me2 is broadly distributed across chromatin and plays a role in DNA damage response and repair signaling, and H4K20me3 is associated with constitutive heterochromatin and transcriptional repression, H4K20me1 is linked to dynamic chromatin states involved in replication, chromatin maturation, and genome maintenance.

Functionally, H4K20me1 is required for proper origin licensing during DNA replication and contributes to the maintenance of genome integrity. Dysregulation of this modification, particularly through altered SETD8 activity, has been associated with replication stress, chromosomal instability, and defects in cell cycle progression.

Importantly, H4K20me1 also participates in cross-talk with other histone modifications and chromatin-associated factors. It can serve as a precursor for higher methylation states or act independently to regulate chromatin structure in a context-dependent manner. This interplay highlights its role as both a transitional and functional chromatin mark.

Unlike many histone modifications that directly correlate with transcriptional activation or repression, H4K20me1 is primarily associated with structural and cell cycle-related chromatin regulation. This makes it particularly valuable for studies focused on chromatin architecture, replication dynamics, and genome stability rather than gene expression alone.

At the cellular level, Histone H4 monomethylated at lysine 20 localizes to the nucleus and is distributed across chromatin, with enrichment patterns that vary during the cell cycle and in response to replication-associated processes.

This antibody supports detection of Histone H4 lysine 20 monomethylation, enabling investigation of chromatin compaction, DNA replication, and epigenetic mechanisms that maintain genome integrity and coordinate cell cycle progression.

Chromatin organization and epigenetic pathway studies may also benefit from our Histone H4 antibody targeting core nucleosome structure and nuclear chromatin biology.

Application Notes

Optimal dilution of the Histone H4 (mono methyl K20) Antibody / HIST1H4 Chromatin Compaction Regulation Antibody should be determined by the researcher.

Immunogen

A synthesized peptide derived from human Histone H4 (mono methyl K20) was used as the immunogen for the Histone H4 (mono methyl K20) Antibody / HIST1H4 Chromatin Compaction Regulation Antibody.

Storage

Store the Histone H4 (mono methyl K20) antibody at -20oC.

Alternate Names

Histone H4 Lys20 monomethylation antibody, H4K20me1 chromatin antibody, mono methyl histone H4 Lys20 antibody, H4 K20 methyl antibody

Cross
Bulk Quote Request Form
Name*:
Organization*:
Email*:
Phone Number*:
Catalog No.*:
Comments and Specifics(amount, formulation, etc.)*:
Validation code: Captchapackage Image


Can't read the image? click here to refresh.
    *required field

Your bulk quote request has been submitted successfully!

Please contact us if you have any questions.