• Tel: 858.663.9055
  • SeparatorEmail: info@nsjbio.com
  • Tel: 858.663.9055
  • Email: info@nsjbio.com
Home >> Antibodies >> Histone H3 (symmetric di methyl R17) Antibody / HIST1H3A

Histone H3 (symmetric di methyl R17) Antibody / HIST1H3A [clone 31H83] (FY12720)

  Catalog No Formulation Size Price (USD)  
Image FY12720 Rabbit IgG in phosphate buffered saline, pH 7.4, 150mM NaCl, 0.02% sodium azide and 50% glycerol, 0.4-0.5mg/ml BSA 100 ul 449
Microvalidated Recrabbitmono
Bulk quote request
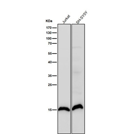
All lanes use the antibody at 1:1000 dilution for 1 hour at room temperature. Predicted molecular weight ~15 kDa.
Western blot analysis of Histone H3 (symmetric di methyl R17) expression in HeLa cell lysate using Histone H3 (symmetric di methyl R17) antibody. Predicted molecular weight ~15 kDa.
Availability 2-3 weeks
Species Reactivity Human, Mouse
Format Liquid
Host Rabbit
Clonality Recombinant Rabbit Monoclonal
Isotype Rabbit IgG
Clone Name 31H83
Purity Affinity-chromatography
Buffer Rabbit IgG in phosphate buffered saline, pH 7.4, 150mM NaCl, 0.02% sodium azide and 50% glycerol, 0.4-0.5mg/ml BSA.
UniProt P68431
Applications Western Blot : 1:500-1:2000
Immunocytochemistry/Immunofluorescence : 1:50-1:200
Limitations This Histone H3 (symmetric di methyl R17) antibody is available for research use only.
Review this product on BioCompare and get a $20 Amazon gift card

Related Products

Description

Histone H3 (symmetric di methyl R17) antibody detects histone H3 modified at arginine 17 by symmetric dimethylation. Histone H3 is encoded by multiple genes including HIST1H3A, HIST1H3B, and HIST2H3A. Common identifiers include H3C1, H3F3, and histone family member H3. Histone H3 is a core nucleosomal protein that packages DNA into chromatin. Methylation at arginine 17 is catalyzed by protein arginine methyltransferases such as PRMT5 and influences transcriptional regulation and chromatin organization.

Histone H3 (symmetric di methyl R17) antibody is widely applied in epigenetics, developmental biology, and cancer research. Symmetric dimethylation at arginine 17 is generally associated with gene repression, acting through recruitment of repressive complexes and alteration of nucleosome interactions. By detecting this modification, researchers can investigate how arginine methylation shapes chromatin function.

ChIP with Histone H3 (symmetric di methyl R17) antibody identifies genomic regions enriched in this modification, revealing transcriptional silencing patterns. Western blotting distinguishes the modified form of histone H3, while immunofluorescence highlights nuclear localization and distribution within heterochromatin domains. These assays support detailed mapping of epigenetic landscapes.

Dysregulation of arginine methylation has been implicated in cancer, where altered PRMT5 activity promotes tumor growth and resistance to therapy. Histone H3 (symmetric di methyl R17) antibody therefore supports research into therapeutic targeting of arginine methyltransferases. The modification is also involved in stem cell regulation, X chromosome inactivation, and immune responses, broadening its biological significance.

Histone H3 (symmetric di methyl R17) antibody from NSJ Bioreagents provides strong specificity for this key histone modification. Its performance across applications ensures accurate detection of epigenetic regulation in diverse research fields.

Application Notes

Optimal dilution of the Histone H3 (symmetric di methyl R17) antibody should be determined by the researcher.

Immunogen

A synthesized peptide derived from human Histone H3 (symmetric di methyl R17) was used as the immunogen for the Histone H3 (symmetric di methyl R17) antibody.

Storage

Store the Histone H3 (symmetric di methyl R17) antibody at -20oC.

Cross
Bulk Quote Request Form
Name*:
Organization*:
Email*:
Phone Number*:
Catalog No.*:
Comments and Specifics(amount, formulation, etc.)*:
Validation code: Captchapackage Image


Can't read the image? click here to refresh.
    *required field

Your bulk quote request has been submitted successfully!

Please contact us if you have any questions.