• Tel: 858.663.9055
  • SeparatorEmail: info@nsjbio.com
  • Tel: 858.663.9055
  • Email: info@nsjbio.com
Home >> Antibodies >> Histone H3 (mono methyl K79) Antibody / HIST1H3A Chromatin Organization Antibody

Histone H3 (mono methyl K79) Antibody / HIST1H3A Chromatin Organization Antibody [clone 31H92] (FY13214)

  Catalog No Formulation Size Price (USD)  
Image FY13214 Rabbit IgG in phosphate buffered saline, pH 7.4, 150mM NaCl, 0.02% sodium azide and 50% glycerol, 0.4-0.5mg/ml BSA 100 ul 449
Microvalidated Recrabbitmono
Bulk quote request
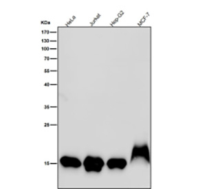
Histone H3 (mono methyl K79) Antibody / HIST1H3A Chromatin Organization Antibody (clone 31H92) for WB. Western blot analysis of HIST1H3A / Histone H3 Lys79 monomethylation (K79me1) in human cell lysates using Histone H3 (mono methyl K79) Antibody / HIST1H3A Chromatin Organization Antibody. A band is detected at the predicted molecular weight of approximately 15 kDa corresponding to monomethylated Histone H3, consistent with intranucleosomal methylation within the histone core domain and chromatin organization-associated regulatory states.
Western blot analysis of Histone H3 (mono methyl K79) expression in human HeLa cell lysate using Histone H3 (mono methyl K79) antibody. Expected molecular weight ~15 kDa.
Western blot testing of rat samples using the Histone H3 (mono methyl K79) antibody at 1:1000 dilution for 1 hour at room temperature. Expected molecular weight ~15 kDa.
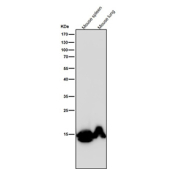
Histone H3 (mono methyl K79) Antibody / HIST1H3A Chromatin Organization Antibody (clone 31H92) for WB. Western blot analysis of HIST1H3A / Histone H3 Lys79 monomethylation (K79me1) in mouse tissue lysates using Histone H3 (mono methyl K79) Antibody / HIST1H3A Chromatin Organization Antibody. A band is detected at the predicted molecular weight of approximately 15 kDa corresponding to monomethylated Histone H3, consistent with core-domain methylation within the nucleosome and chromatin organization-associated regulatory states.
Availability 2-3 weeks
Species Reactivity Human, Mouse, Rat
Format Liquid
Host Rabbit
Clonality Recombinant Rabbit Monoclonal
Isotype Rabbit IgG
Clone Name 31H92
Purity Affinity chromatography
Buffer Rabbit IgG in phosphate buffered saline, pH 7.4, 150mM NaCl, 0.02% sodium azide and 50% glycerol, 0.4-0.5mg/ml BSA.
UniProt P68431
Applications Western Blot : 1:500-1:2000
Immunohistochemistry : 1:50-1:200
Immunocytochemistry/Immunofluorescence : 1:50-1:200
Limitations This Histone H3 (mono methyl K79) antibody is available for research use only.
Review this product on BioCompare and get a $20 Amazon gift card

Related Products

Description

Histone H3 (HIST1H3A) contains internal lysine residues whose methylation contributes to chromatin architecture and nucleosome organization. Monomethylation at lysine 79 is a unique modification because it occurs within the histone core domain rather than the exposed N-terminal tail. Histone H3 (mono methyl K79) Antibody / HIST1H3A Chromatin Organization Antibody (clone 31H92) is designed to detect this site-specific methylation state as a marker of intranucleosomal chromatin regulation. This antibody is part of a broader collection of Histone H3 antibodies used to study chromatin structure, histone modifications, and epigenetic regulation.

HIST1H3A antibody, also referred to as Histone H3 antibody and H3K79me1 antibody in the literature, recognizes a modification associated with chromatin organization within actively regulated genomic regions. The location of Lys79 within the nucleosome core enables it to influence chromatin structure in a way that is fundamentally different from tail-based modifications such as H3K4me1, H3K9me1, or acetylated lysine residues.

This recombinant rabbit monoclonal clone 31H92 antibody is uniquely positioned for studies of chromatin organization and nucleosomal methylation architecture rather than transcriptional activation alone. While other pages emphasize transcription-linked gene body methylation, this differentiation focuses on the structural role of core-domain methylation in maintaining chromatin integrity and nucleosome interactions.

At the molecular level, H3K79 monomethylation is catalyzed by DOT1L and contributes to nucleosome stability, chromatin organization, and regulated transcriptional states. Its position within the histone fold domain suggests a role in shaping nucleosomal geometry and chromatin compaction rather than directly modulating transcription factor accessibility.

This modification provides insight into chromatin architecture within active genomic regions and may influence higher-order chromatin organization in addition to supporting transcription-associated processes. Its structural role distinguishes it from acetylation-based chromatin relaxation mechanisms.

In western blot applications, the antibody detects Histone H3 at approximately 15 kDa, with signal corresponding to monomethylated Histone H3 within chromatin. Detection reflects intranucleosomal methylation states and chromatin organization rather than enhancer activation, promoter accessibility, or replication-associated chromatin assembly.

At the cellular level, H3K79 monomethylation localizes to the nucleus and is associated with organized euchromatic regions involved in regulated gene expression. This distribution supports its use in studying chromatin structure and nucleosome-level epigenetic regulation.

This antibody supports detection of Lys79-monomethylated Histone H3, enabling investigation of nucleosome core methylation, chromatin organization, and epigenetic regulation of chromatin structure.

Application Notes

Optimal dilution of the Histone H3 (mono methyl K79) Antibody / HIST1H3A Chromatin Organization Antibody should be determined by the researcher.

Immunogen

A synthesized peptide derived from human Histone H3 (mono methyl K79) was used as the immunogen for the Histone H3 (mono methyl K79) Antibody / HIST1H3A Chromatin Organization Antibody.

Storage

Store the Histone H3 (mono methyl K79) antibody at -20oC.

Alternate Names

Histone H3 Lys79 monomethylation antibody, H3K79me1 chromatin organization antibody, histone H3 mono methyl Lys79 antibody, intranucleosomal methylation antibody

Cross
Bulk Quote Request Form
Name*:
Organization*:
Email*:
Phone Number*:
Catalog No.*:
Comments and Specifics(amount, formulation, etc.)*:
Validation code: Captchapackage Image


Can't read the image? click here to refresh.
    *required field

Your bulk quote request has been submitted successfully!

Please contact us if you have any questions.