• Tel: 858.663.9055
  • SeparatorEmail: info@nsjbio.com
  • Tel: 858.663.9055
  • Email: info@nsjbio.com
Home >> Antibodies >> Histone H3 (di methyl K4) Antibody / HIST1H3A Transcriptional Competence Antibody

Histone H3 (di methyl K4) Antibody / HIST1H3A Transcriptional Competence Antibody [clone 31H99] (FY12922)

  Catalog No Formulation Size Price (USD)  
Image FY12922 Rabbit IgG in phosphate buffered saline, pH 7.4, 150mM NaCl, 0.02% sodium azide and 50% glycerol, 0.4-0.5mg/ml BSA 100 ul 449
Microvalidated Recrabbitmono
Bulk quote request
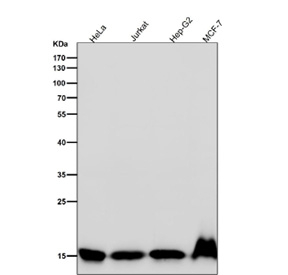
Histone H3 (di methyl K4) Antibody / HIST1H3A Transcriptional Competence Antibody (clone 31H99) for WB. Western blot analysis of HIST1H3A / Histone H3 Lys4 dimethylation (K4me2) in human cell lysates including HeLa, Jurkat, HepG2, and MCF7 using Histone H3 (di methyl K4) Antibody / HIST1H3A Transcriptional Competence Antibody. A band is detected at the predicted molecular weight of approximately 15 kDa corresponding to dimethylated Histone H3, consistent with transcriptionally competent chromatin and promoter-proximal regulatory regions.
Western blot analysis of Histone H3 (di methyl K4) expression in human HeLa cell lysate using Histone H3 (di methyl K4) antibody.
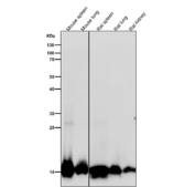
Histone H3 (di methyl K4) Antibody / HIST1H3A Transcriptional Competence Antibody (clone 31H99) for WB. Western blot analysis of HIST1H3A / Histone H3 Lys4 dimethylation (K4me2) in mouse spleen, rat lung, rat spleen, rat kidney, and rat heart tissue lysates using Histone H3 (di methyl K4) Antibody / HIST1H3A Transcriptional Competence Antibody. A band is detected at the predicted molecular weight of approximately 15 kDa corresponding to dimethylated Histone H3, consistent with transcriptionally competent chromatin across multiple tissue types.
Availability 2-3 weeks
Species Reactivity Human, Mouse, Rat
Format Liquid
Host Rabbit
Clonality Recombinant Rabbit Monoclonal
Isotype Rabbit IgG
Clone Name 31H99
Purity Affinity chromatography
Buffer Rabbit IgG in phosphate buffered saline, pH 7.4, 150mM NaCl, 0.02% sodium azide and 50% glycerol, 0.4-0.5mg/ml BSA.
UniProt P68431
Applications Western Blot : 1:500-1:2000
Immunohistochemistry : 1:50-1:200
Immunocytochemistry/Immunofluorescence : 1:50-1:200
Limitations This Histone H3 (di methyl K4) antibody is available for research use only.
Review this product on BioCompare and get a $20 Amazon gift card

Related Products

Description

Histone H3 (HIST1H3A) dimethylation at lysine 4 is associated with chromatin states that support transcriptional competence and regulatory activation across gene-associated regions. Histone H3 (di methyl K4) Antibody / HIST1H3A Transcriptional Competence Antibody (clone 31H99) is designed to detect Histone H3 dimethylated at lysine 4, providing a marker of chromatin environments permissive for transcriptional activity. This antibody is part of a broader collection of Histone H3 antibodies used to study chromatin structure, histone modifications, and epigenetic regulation.

HIST1H3A antibody, also referred to as Histone H3 antibody and H3K4me2 antibody in the literature, recognizes a modification enriched at promoter-proximal regions and extending into surrounding chromatin. Unlike H3K4me3, which is sharply localized at transcription start sites, H3K4me2 displays a broader distribution reflecting transcriptional competence rather than peak transcriptional activity.

This recombinant rabbit monoclonal clone 31H99 antibody is uniquely positioned for studies of transcriptional competence and regulatory chromatin activation. While other H3K4me2 pages emphasize promoter readiness, this differentiation focuses on chromatin states that sustain regulatory activity across genomic regions.

At the molecular level, H3K4 dimethylation contributes to recruitment of chromatin regulators and transcription factors that maintain accessible chromatin. It supports transcriptional activity by stabilizing chromatin configurations compatible with gene expression.

This modification bridges enhancer priming and promoter activation, providing a broader view of regulatory chromatin landscapes. Its distribution reflects active regulatory domains rather than discrete promoter states.

H3K4 methylation states define chromatin activity gradients, and the dimethylated form is particularly informative for identifying transcriptionally competent chromatin regions.

In western blot applications, the antibody detects Histone H3 at approximately 15 kDa, with signal corresponding to dimethylated chromatin associated with transcriptionally permissive regions. Detection reflects regulatory activation rather than strictly promoter or enhancer-specific activity.

At the cellular level, H3K4 dimethylation localizes to the nucleus and is enriched in euchromatic regions involved in gene regulation. This supports its use in studying transcriptional competence and chromatin accessibility.

This antibody supports detection of Lys4-dimethylated Histone H3, enabling investigation of transcriptional competence, chromatin activation states, and epigenetic regulation of gene expression.

Application Notes

Optimal dilution of the Histone H3 (di methyl K4) Antibody / HIST1H3A Transcriptional Competence Antibody should be determined by the researcher.

Immunogen

A synthesized peptide derived from human Histone H3 (di methyl K4) was used as the immunogen for the Histone H3 (di methyl K4) Antibody / HIST1H3A Transcriptional Competence Antibody.

Storage

Store the Histone H3 (di methyl K4) antibody at -20oC.

Alternate Names

Histone H3 Lys4 dimethylation antibody, H3K4me2 transcription competence antibody, histone H3 di methyl Lys4 antibody, H3K4 dimethyl histone antibody

Cross
Bulk Quote Request Form
Name*:
Organization*:
Email*:
Phone Number*:
Catalog No.*:
Comments and Specifics(amount, formulation, etc.)*:
Validation code: Captchapackage Image


Can't read the image? click here to refresh.
    *required field

Your bulk quote request has been submitted successfully!

Please contact us if you have any questions.