• Tel: 858.663.9055
  • SeparatorEmail: info@nsjbio.com
  • Tel: 858.663.9055
  • Email: info@nsjbio.com
Home >> Antibodies >> Histone H3 Antibody / HIST1H3A/B/C/D/E/F/G/H/I/J

Histone H3 Antibody / HIST1H3A/B/C/D/E/F/G/H/I/J (FY13038)

  Catalog No Formulation Size Price (USD)  
Image FY13038 Adding 0.2 ml of distilled water will yield a concentration of 500 ug/ml 100 ug 449
Bulk quote request
Western blot analysis of Histone H3 using anti-Histone H3 antibody. Lane 1: rat brain tissue lysates, Lane 2: rat liver tissue lysates, Lane 3: rat PC-12 whole cell lysates, Lane 4: rat C6 whole cell lysates, Lane 5: mouse brain tissue lysates, Lane 6: mouse liver tissue lysates, Lane 7: mouse HEPA1-6 whole cell lysates, Lane 8: mouse RAW264.7 whole cell lysates. After Electrophoresis, proteins were transferred to a Nitrocellulose membrane at 150mA for 50-90 minutes. Blocked the membrane with 5% Non-fat Milk/ TBS for 1.5 hour at RT. The membrane was incubated with rabbit anti-Histone H3 antibody at 0.25 ug/ml overnight at 4oC, then washed with TBS-0.1%Tween 3 times with 5 minutes each and probed with a goat anti-rabbit IgG-HRP secondary antibody at a dilution of 1:5000 for 1.5 hour at RT. The signal was developed using enhanced chemiluminescent. A specific band was detected for Histone H3 at approximately 17 kDa. The expected molecular weight of Histone H3 is at 15 kDa.
Western blot analysis of Histone H3 using anti-Histone H3 antibody. Lane 1: human 293T whole cell lysates, Lane 2: human 22RV1 whole cell lysates, Lane 3: human CACO-2 whole cell lysates, Lane 4: human CCRF-CEM whole cell lysates, Lane 5: human Hela whole cell lysates, Lane 6: human HepG2 whole cell lysates, Lane 7: human THP-1 whole cell lysates, Lane 8: human U2OS whole cell lysates. After Electrophoresis, proteins were transferred to a Nitrocellulose membrane at 150mA for 50-90 minutes. Blocked the membrane with 5% Non-fat Milk/ TBS for 1.5 hour at RT. The membrane was incubated with rabbit anti-Histone H3 antibody at 0.25 ug/ml overnight at 4oC, then washed with TBS-0.1%Tween 3 times with 5 minutes each and probed with a goat anti-rabbit IgG-HRP secondary antibody at a dilution of 1:5000 for 1.5 hour at RT. The signal was developed using enhanced chemiluminescent. The predicted molecular weight of Histone H3 is at 15 kDa.
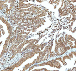
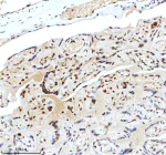
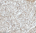
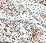
Immunohistochemical staining of Histone H3 using anti-Histone H3 antibody. Histone H3 was detected in a paraffin-embedded section of human colon adenocarcinoma tissue. Heat mediated antigen retrieval was performed in EDTA buffer (pH 8.0, epitope retrieval solution). The tissue section was blocked with 10% goat serum. The tissue section was then incubated with 2 ug/ml rabbit anti-Histone H3 antibody overnight at 4oC. Peroxidase Conjugated Goat Anti-rabbit IgG was used as secondary antibody and incubated for 30 minutes at 37oC. The tissue section was developed using an HRP secondary and DAB substrate.
Immunohistochemical staining of Histone H3 using anti-Histone H3 antibody. Histone H3 was detected in a paraffin-embedded section of human spleen tissue. Heat mediated antigen retrieval was performed in EDTA buffer (pH 8.0, epitope retrieval solution). The tissue section was blocked with 10% goat serum. The tissue section was then incubated with 2 ug/ml rabbit anti-Histone H3 antibody overnight at 4oC. Peroxidase Conjugated Goat Anti-rabbit IgG was used as secondary antibody and incubated for 30 minutes at 37oC. The tissue section was developed using an HRP secondary and DAB substrate.
Immunohistochemical staining of Histone H3 using anti-Histone H3 antibody. Histone H3 was detected in a paraffin-embedded section of human testicular seminoma tissue. Heat mediated antigen retrieval was performed in EDTA buffer (pH 8.0, epitope retrieval solution). The tissue section was blocked with 10% goat serum. The tissue section was then incubated with 2 ug/ml rabbit anti-Histone H3 antibody overnight at 4oC. Peroxidase Conjugated Goat Anti-rabbit IgG was used as secondary antibody and incubated for 30 minutes at 37oC. The tissue section was developed using an HRP secondary and DAB substrate.
Immunohistochemical staining of Histone H3 using anti-Histone H3 antibody. Histone H3 was detected in a paraffin-embedded section of human esophageal squamous carcinoma tissue. Heat mediated antigen retrieval was performed in EDTA buffer (pH 8.0, epitope retrieval solution). The tissue section was blocked with 10% goat serum. The tissue section was then incubated with 2 ug/ml rabbit anti-Histone H3 antibody overnight at 4oC. Peroxidase Conjugated Goat Anti-rabbit IgG was used as secondary antibody and incubated for 30 minutes at 37oC. The tissue section was developed using an HRP secondary and DAB substrate.
Immunohistochemical staining of Histone H3 using anti-Histone H3 antibody. Histone H3 was detected in a paraffin-embedded section of human lung cancer tissue. Heat mediated antigen retrieval was performed in EDTA buffer (pH 8.0, epitope retrieval solution). The tissue section was blocked with 10% goat serum. The tissue section was then incubated with 2 ug/ml rabbit anti-Histone H3 antibody overnight at 4oC. Peroxidase Conjugated Goat Anti-rabbit IgG was used as secondary antibody and incubated for 30 minutes at 37oC. The tissue section was developed using an HRP secondary and DAB substrate.
Immunohistochemical staining of Histone H3 using anti-Histone H3 antibody. Histone H3 was detected in a paraffin-embedded section of mouse brain tissue. Heat mediated antigen retrieval was performed in EDTA buffer (pH 8.0, epitope retrieval solution). The tissue section was blocked with 10% goat serum. The tissue section was then incubated with 2 ug/ml rabbit anti-Histone H3 antibody overnight at 4oC. Peroxidase Conjugated Goat Anti-rabbit IgG was used as secondary antibody and incubated for 30 minutes at 37oC. The tissue section was developed using an HRP secondary and DAB substrate.
Immunohistochemical staining of Histone H3 using anti-Histone H3 antibody. Histone H3 was detected in a paraffin-embedded section of rat brain tissue. Heat mediated antigen retrieval was performed in EDTA buffer (pH 8.0, epitope retrieval solution). The tissue section was blocked with 10% goat serum. The tissue section was then incubated with 2 ug/ml rabbit anti-Histone H3 antibody overnight at 4oC. Peroxidase Conjugated Goat Anti-rabbit IgG was used as secondary antibody and incubated for 30 minutes at 37oC. The tissue section was developed using an HRP secondary and DAB substrate.
Immunohistochemical staining of Histone H3 using anti-Histone H3 antibody. Histone H3 was detected in a paraffin-embedded section of human placenta tissue. Heat mediated antigen retrieval was performed in EDTA buffer (pH 8.0, epitope retrieval solution). The tissue section was blocked with 10% goat serum. The tissue section was then incubated with 2 ug/ml rabbit anti-Histone H3 antibody overnight at 4oC. Peroxidase Conjugated Goat Anti-rabbit IgG was used as secondary antibody and incubated for 30 minutes at 37oC. The tissue section was developed using an HRP secondary and DAB substrate.
Immunofluorescent staining of FFPE human U-2 OS cells with Histone H3 antibody (green) and Beta Tubulin (red). HIER: steam section in pH6 citrate buffer for 20 min.
Flow cytometry analysis of fixed and permeabilized mouse RAW264.7 cells with Histone H3 antibody at 1ug/million cells (blocked with goat sera); Red=cells alone, Green=isotype control, Blue= Histone H3 antibody.
Flow cytometry analysis of fixed and permeabilized rat C6 cells with Histone H3 antibody at 1ug/million cells (blocked with goat sera); Red=cells alone, Green=isotype control, Blue= Histone H3 antibody.
Availability 1-2 days
Species Reactivity Human, Mouse, Rat
Format Lyophilized
Host Rabbit
Clonality Polyclonal (rabbit origin)
Isotype Rabbit IgG
Purity Immunogen affinity purified
Buffer Each vial contains 4mg Trehalose, 0.9mg NaCl, 0.2mg Na2HPO4.
UniProt P68431
Applications ELISA : 0.1-0.5ug/ml
Flow Cytometry : 1-3ug/million cells
Immunofluorescence : 5ug/ml
Immunohistochemistry : 2-5ug/ml
Immunocytochemistry : 5ug/ml
Western Blot : 0.25-0.5ug/ml
Limitations This Histone H3 antibody is available for research use only.
Review this product on BioCompare and get a $20 Amazon gift card

Related Products

Description

Histone H3 antibody detects core histone protein H3, one of the fundamental structural components of chromatin that forms nucleosomes in eukaryotic cells. The UniProt recommended name is Histone H3, encoded by multiple human genes including HIST1H3A through HIST1H3J. Histone H3 plays a central role in DNA packaging, gene regulation, and epigenetic control through post-translational modifications that influence chromatin structure and transcriptional activity. This antibody is part of a broader collection of Histone H3 antibodies used to study chromatin structure, histone modifications, and epigenetic regulation.

Functionally, Histone H3 antibody identifies a 136-amino-acid nuclear protein that forms an octameric core complex with histones H2A, H2B, and H4. This complex organizes 147 base pairs of DNA into nucleosomes, the fundamental repeating unit of chromatin. Modifications of histone H3, including methylation, acetylation, phosphorylation, and ubiquitination, act as epigenetic marks that determine chromatin accessibility and gene expression status. The N-terminal tail of H3 serves as the primary site for these covalent modifications.

The HIST1H3 family of genes is clustered on chromosome 6p22.2, encoding nearly identical variants of histone H3 proteins that differ slightly in sequence and expression timing. Histone H3 variants, including H3.1, H3.2, and H3.3, exhibit distinct deposition patterns; replication-dependent variants incorporate during DNA synthesis, while H3.3 is incorporated independently of replication to maintain transcriptionally active chromatin. These variants play unique roles in genome stability, DNA repair, and transcriptional memory.

Epigenetically, histone H3 modifications define specific chromatin states: trimethylation at lysine 4 (H3K4me3) marks active promoters, while methylation at lysine 9 (H3K9me3) and lysine 27 (H3K27me3) signify repressed or heterochromatic regions. Phosphorylation of serine 10 (H3S10ph) correlates with mitotic chromatin condensation. Dysregulation of these modifications leads to altered gene expression and contributes to developmental disorders, cancer, and epigenetic diseases.

Histone H3 antibody is widely used in epigenetics, chromatin biology, and transcriptional regulation research. It is suitable for western blotting, chromatin immunoprecipitation, immunofluorescence, and immunohistochemistry to detect histone H3 and its modified forms. This antibody supports studies of chromatin structure, gene expression, and nucleosome dynamics. It also serves as a normalization control in nuclear extract analyses due to its consistent expression across cell types.

Structurally, histone H3 adopts a histone fold domain that facilitates DNA wrapping and histone-histone interactions within the nucleosome. Its flexible N-terminal tail extends from the nucleosome surface and interacts with chromatin modifiers and transcriptional machinery. NSJ Bioreagents provides Histone H3 antibody reagents validated for use in chromatin remodeling, epigenetic profiling, and nuclear biology research.

Application Notes

Optimal dilution of the Histone H3 antibody should be determined by the researcher.

Immunogen

E.coli-derived human Histone H3 recombinant protein (Position: Q56�R117) was used as the immunogen for the Histone H3 antibody.

Storage

After reconstitution, the Histone H3 antibody can be stored for up to one month at 4oC. For long-term, aliquot and store at -20oC. Avoid repeated freezing and thawing.

Cross
Bulk Quote Request Form
Name*:
Organization*:
Email*:
Phone Number*:
Catalog No.*:
Comments and Specifics(amount, formulation, etc.)*:
Validation code: Captchapackage Image


Can't read the image? click here to refresh.
    *required field

Your bulk quote request has been submitted successfully!

Please contact us if you have any questions.