• Tel: 858.663.9055
  • SeparatorEmail: info@nsjbio.com
  • Tel: 858.663.9055
  • Email: info@nsjbio.com
Home >> Antibodies >> Histone H3 (acetyl K9) Antibody / HIST1H3A

Histone H3 (acetyl K9) Antibody / HIST1H3A [clone 32H23] (FY13175)

  Catalog No Formulation Size Price (USD)  
Image FY13175 Rabbit IgG in phosphate buffered saline, pH 7.4, 150mM NaCl, 0.02% sodium azide and 50% glycerol, 0.4-0.5mg/ml BSA 100 ul 449
Microvalidated Recrabbitmono
Bulk quote request
Western blot analysis of Histone H3 (acetyl K9) using anti-Histone H3 (acetyl K9) antibody. Electrophoresis was performed on a 12% SDS-PAGE gel at 80V (Stacking gel) / 120V (Resolving gel) for 2 hours. Lane 1: human 293T whole cell lysates, Lane 2: human U20S whole cell lysates, Lane 3: human T98G whole cell lysates, Lane 4: human whole cell lysates, Lane 5: human K562 whole cell lysates, Lane 6: human SH-SY5Y whole cell lysates, Lane 7: human U251 whole cell lysates. After electrophoresis, proteins were transferred to a nitrocellulose membrane at 150 mA for 50-90 minutes. Blocked the membrane with 5% non-fat milk/TBS for 1.5 hour at RT. The membrane was incubated with rabbit anti-Histone H3 (acetyl K9) antibody at 1:500 overnight at 4oC, then washed with TBS-0.1%Tween 3 times with 5 minutes each and probed with a goat anti-rabbit IgG-HRP secondary antibody at a dilution of 1:5000 for 1.5 hour at RT. The signal was developed using an ECL Plus Western Blotting Substrate. A specific band was detected for Histone H3 (acetyl K9) at approximately 15 kDa. The expected molecular weight of Histone H3 (acetyl K9) is at 15 kDa.
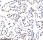
Immunohistochemical staining of Histone H3 using anti-Histone H3 (acetyl K9) antibody. Histone H3 (acetyl K9) was detected in a paraffin-embedded section of human lung cancer tissue. Heat mediated antigen retrieval was performed in EDTA buffer (pH 8.0, epitope retrieval solution). The tissue section was blocked with 10% goat serum. The tissue section was then incubated with 1:50 rabbit anti-Histone H3 (acetyl K9) antibody overnight at 4oC. Peroxidase Conjugated Goat Anti-rabbit IgG was used as secondary antibody and incubated for 30 minutes at 37oC. The tissue section was developed using an HRP secondary and DAB substrate.
Immunohistochemical staining of Histone H3 (acetyl K9) using anti-Histone H3 (acetyl K9) antibody. Histone H3 (acetyl K9) was detected in a paraffin-embedded section of rat brain tissue. Heat mediated antigen retrieval was performed in EDTA buffer (pH 8.0, epitope retrieval solution). The tissue section was blocked with 10% goat serum. The tissue section was then incubated with 1:50 rabbit anti-Histone H3 (acetyl K9) antibody overnight at 4oC. Peroxidase Conjugated Goat Anti-rabbit IgG was used as secondary antibody and incubated for 30 minutes at 37oC. The tissue section was developed using an HRP secondary and DAB substrate.
Immunohistochemical staining of Histone H3 (acetyl K9) using anti-Histone H3 (acetyl K9) antibody. Histone H3 (acetyl K9) was detected in a paraffin-embedded section of rat brain tissue. Heat mediated antigen retrieval was performed in EDTA buffer (pH 8.0, epitope retrieval solution). The tissue section was blocked with 10% goat serum. The tissue section was then incubated with 1:50 rabbit anti-Histone H3 (acetyl K9) antibody overnight at 4oC. Peroxidase Conjugated Goat Anti-rabbit IgG was used as secondary antibody and incubated for 30 minutes at 37oC. The tissue section was developed using an HRP secondary and DAB substrate.
Immunohistochemical staining of Histone H3 (acetyl K9) using anti-Histone H3 (acetyl K9) antibody. Histone H3 (acetyl K9) was detected in a paraffin-embedded section of human breast tissue tissue. Heat mediated antigen retrieval was performed in EDTA buffer (pH 8.0, epitope retrieval solution). The tissue section was blocked with 10% goat serum. The tissue section was then incubated with 1:50 rabbit anti-Histone H3 (acetyl K9) antibody overnight at 4oC. Peroxidase Conjugated Goat Anti-rabbit IgG was used as secondary antibody and incubated for 30 minutes at 37oC. The tissue section was developed using an HRP secondary and DAB substrate.
Western blot testing of mouse samples using the Histone H3 (acetyl K9) antibody at 1:2000 dilution for 1 hour at room temperature. The expected molecular weight of Histone H3 (acetyl K9) is at 15 kDa.
Western blot testing of rat samples using the Histone H3 (acetyl K9) antibody at 1:2000 dilution for 1 hour at room temperature. The expected molecular weight of Histone H3 (acetyl K9) is at 15 kDa.
Western blot analysis of Histone H3 (acetyl K9) expression in C6 cell lysate treated with Trichostatin A, using Histone H3 (acetyl K9) antibody. The expected molecular weight of Histone H3 (acetyl K9) is at 15 kDa.
Immunohistochemical staining of Histone H3 (acetyl K9) using anti-Histone H3 (acetyl K9) antibody. Histone H3 (acetyl K9) was detected in a paraffin-embedded section of mouse brain tissue. Heat mediated antigen retrieval was performed in EDTA buffer (pH 8.0, epitope retrieval solution). The tissue section was blocked with 10% goat serum. The tissue section was then incubated with 1:50 rabbit anti-Histone H3 (acetyl K9) antibody overnight at 4oC. Peroxidase Conjugated Goat Anti-rabbit IgG was used as secondary antibody and incubated for 30 minutes at 37oC. The tissue section was developed using an HRP secondary and DAB substrate.
Availability 2-3 weeks
Species Reactivity Human, Mouse, Rat
Format Liquid
Host Rabbit
Clonality Recombinant Rabbit Monoclonal
Isotype Rabbit IgG
Clone Name 32H23
Purity Affinity chromatography
Buffer Rabbit IgG in phosphate buffered saline, pH 7.4, 150mM NaCl, 0.02% sodium azide and 50% glycerol, 0.4-0.5mg/ml BSA.
UniProt P68431
Localization Nuclear
Applications Western Blot : 1:500-1:2000
Immunohistochemistry : 1:50-1:200
Immunocytochemistry/Immunofluorescence : 1:50-1:200
Immunoprecipitation : 1:50
Flow Cytometry : 1:50
Limitations This Histone H3 (acetyl K9) antibody is available for research use only.
Review this product on BioCompare and get a $20 Amazon gift card

Related Products

Description

Histone H3 (acetyl K9) antibody detects Histone H3 acetylated at lysine 9, encoded by the HIST1H3A gene. Histone H3 is a core component of the nucleosome, which packages DNA into chromatin and regulates access to genetic information. Post-translational modifications such as acetylation, methylation, and phosphorylation determine chromatin structure and gene expression. Acetylation at lysine 9 is associated with active chromatin and transcriptional activation. Histone H3 (acetyl K9) antibody provides researchers with a powerful tool for studying epigenetic regulation and gene expression control.

Histone H3 acetylated at lysine 9 plays an essential role in loosening chromatin structure, allowing transcription factors and polymerases to access DNA. Research using Histone H3 (acetyl K9) antibody has demonstrated that acetylation is mediated by histone acetyltransferases and removed by histone deacetylases. This modification serves as a signal for recruitment of chromatin remodeling complexes and transcriptional coactivators. The dynamic balance of acetylation and deacetylation at lysine 9 influences gene expression programs in development, differentiation, and disease.

Dysregulation of Histone H3 acetylation at lysine 9 has been implicated in cancer, neurological disorders, and inflammatory disease. Studies with Histone H3 (acetyl K9) antibody have shown that aberrant acetylation patterns are linked to oncogene activation or tumor suppressor silencing. In neurobiology, reduced acetylation contributes to cognitive decline, while histone deacetylase inhibitors restore acetylation and improve memory in experimental models. These findings underscore the therapeutic potential of targeting histone acetylation in disease.

Histone modifications such as H3 acetyl K9 are also important in stem cell biology and reprogramming. Research using Histone H3 (acetyl K9) antibody has confirmed that acetylation levels influence pluripotency and lineage commitment. Elevated acetylation is associated with transcriptionally open chromatin, supporting reprogramming of somatic cells to induced pluripotent stem cells. These applications highlight the broad importance of this modification across biological systems.

Histone H3 (acetyl K9) antibody is widely used in chromatin immunoprecipitation, western blotting, and immunofluorescence. Chromatin immunoprecipitation allows mapping of acetylation across genomes, western blotting detects modification-specific forms of histone H3, and immunofluorescence reveals distribution of acetylated chromatin in cells. These methods make Histone H3 (acetyl K9) antibody indispensable in epigenetics research.

By supplying validated Histone H3 (acetyl K9) antibody reagents, NSJ Bioreagents supports studies into chromatin remodeling, epigenetic therapy, and gene expression regulation. Detection of Histone H3 acetylation at lysine 9 provides insight into the fundamental mechanisms controlling transcription and disease.

Application Notes

Optimal dilution of the Histone H3 (acetyl K9) antibody should be determined by the researcher.

Immunogen

A synthesized peptide derived from human Histone H3 (acetyl K9) was used as the immunogen for the Histone H3 (acetyl K9) antibody.

Storage

Store the Histone H3 (acetyl K9) antibody at -20oC.

Cross
Bulk Quote Request Form
Name*:
Organization*:
Email*:
Phone Number*:
Catalog No.*:
Comments and Specifics(amount, formulation, etc.)*:
Validation code: Captchapackage Image


Can't read the image? click here to refresh.
    *required field

Your bulk quote request has been submitted successfully!

Please contact us if you have any questions.