• Tel: 858.663.9055
  • SeparatorEmail: info@nsjbio.com
  • Tel: 858.663.9055
  • Email: info@nsjbio.com
Home >> Antibodies >> H3K9ac Antibody / HIST1H3A Transcriptional Priming Chromatin Antibody

H3K9ac Antibody / HIST1H3A Transcriptional Priming Chromatin Antibody [clone 32H22] (FY12201)

  Catalog No Formulation Size Price (USD)  
Image FY12201 Rabbit IgG in phosphate buffered saline, pH 7.4, 150mM NaCl, 0.02% sodium azide and 50% glycerol, 0.4-0.5mg/ml BSA 100 ul 449
Microvalidated Recrabbitmono
Bulk quote request
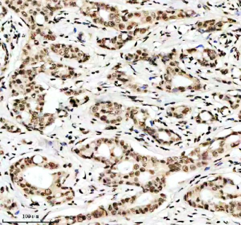
H3K9ac Antibody / HIST1H3A Transcriptional Priming Chromatin Antibody (clone 32H22). Immunohistochemistry analysis of HIST1H3A / Histone H3 Lys9 acetylation in human breast cancer tissue using H3K9ac Antibody / HIST1H3A Transcriptional Priming Chromatin Antibody. Strong HRP-DAB brown nuclear staining is observed in tumor epithelial cells, consistent with euchromatic localization and transcriptionally primed chromatin states associated with early gene activation, while surrounding stromal cells show lower nuclear signal.
Western blot analysis of Histone H3 using anti-Histone H3 (acetyl K9) antibody. Electrophoresis was performed on a 12% SDS-PAGE gel at 80V (Stacking gel) / 120V (Resolving gel) for 2 hours. Lane 1: human 293T whole cell lysates, Lane 2: human HepG2 whole cell lysates. After electrophoresis, proteins were transferred to a nitrocellulose membrane at 150 mA for 50-90 minutes. Blocked the membrane with 5% non-fat milk/TBS for 1.5 hour at RT. The membrane was incubated with rabbit anti-Histone H3 (acetyl K9) antibody at a dilution of 1:500 overnight at 4oC, then washed with TBS-0.1%Tween 3 times with 5 minutes each and probed with a goat anti-rabbit IgG-HRP secondary antibody at a dilution of 1:5000 for 1.5 hour at RT. The signal was developed using an ECL Plus Western Blotting Substrate. The expected band size for Histone H3 (acetyl K9) is at 15 kDa.
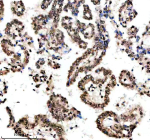
H3K9ac Antibody / HIST1H3A Transcriptional Priming Chromatin Antibody (clone 32H22). Immunohistochemistry analysis of HIST1H3A / Histone H3 Lys9 acetylation in human lung cancer tissue using H3K9ac Antibody / HIST1H3A Transcriptional Priming Chromatin Antibody. Prominent HRP-DAB brown nuclear staining is observed in tumor epithelial cells forming glandular structures, consistent with euchromatic localization and transcriptionally primed chromatin associated with early gene activation, while stromal components display comparatively reduced nuclear signal.
Availability 2-3 weeks
Species Reactivity Human, Mouse
Format Liquid
Host Rabbit
Clonality Recombinant Rabbit Monoclonal
Isotype Rabbit IgG
Clone Name 32H22
Purity Affinity-chromatography
Buffer Rabbit IgG in phosphate buffered saline, pH 7.4, 150mM NaCl, 0.02% sodium azide and 50% glycerol, 0.4-0.5mg/ml BSA.
UniProt P68431
Applications Western Blot : 1:500-1:2000
Immunohistochemistry : 1:50-1:200
Immunocytochemistry/Immunofluorescence : 1:50-1:200
Limitations This Histone H3 (acetyl K9) antibody is available for research use only.
Review this product on BioCompare and get a $20 Amazon gift card

Related Products

Description

Histone H3 (HIST1H3A) acetylation at lysine 9 represents a key regulatory modification involved in preparing chromatin for transcriptional activation. H3K9ac Antibody / HIST1H3A Transcriptional Priming Chromatin Antibody (clone 32H22) is designed to detect Histone H3 acetylated at lysine 9 with emphasis on chromatin states associated with early transcriptional activation and gene priming prior to full transcriptional engagement. This antibody is part of a broader collection of Histone H3 antibodies used to study chromatin structure, histone modifications, and epigenetic regulation.

HIST1H3A antibody, also referred to as Histone H3 antibody and H3K9ac antibody in the literature, recognizes a modification that promotes loosening of nucleosomal structure and increased DNA accessibility. While H3K9ac is enriched at active promoters, it also plays a critical role in establishing a transcriptionally poised chromatin state that allows rapid gene activation in response to cellular signaling.

This recombinant rabbit monoclonal clone 32H22 antibody is uniquely positioned for studies of transcriptional priming and dynamic chromatin regulation. Unlike promoter-focused interpretations of H3K9ac that emphasize ongoing transcription, this page highlights its role in preparing chromatin for activation, enabling genes to transition efficiently from inactive to active states.

At the molecular level, H3K9 acetylation supports recruitment of chromatin remodelers and transcriptional co-activators that establish a permissive chromatin environment. This primed state allows transcription factors to bind rapidly and initiate transcription when appropriate signals are received, making it a critical component of responsive gene regulation.

H3K9 acetylation often occurs in advance of full transcriptional activation and can be detected in genes that are poised but not yet actively transcribed. This distinguishes it from elongation-associated marks such as H3K36ac and from enhancer-specific marks such as H3K27ac, providing a unique insight into early regulatory events.

In western blot applications, the antibody detects Histone H3 at approximately 15 kDa, with signal corresponding to acetylated chromatin undergoing regulatory transitions. Detection reflects chromatin priming and readiness for transcription rather than strictly active gene expression.

At the cellular level, H3K9 acetylation localizes to the nucleus and is present in euchromatic regions where genes are either actively transcribed or poised for activation. This broader distribution supports its use in studying chromatin dynamics across multiple transcriptional states.

This antibody supports detection of Lys9-acetylated Histone H3, enabling investigation of transcriptional priming, chromatin remodeling, and early-stage gene activation mechanisms.

Application Notes

Optimal dilution of the H3K9ac Antibody / HIST1H3A Transcriptional Priming Chromatin Antibody should be determined by the researcher.

Immunogen

A synthesized peptide derived from human Histone H3 (acetyl K9) was used as the immunogen for the H3K9ac Antibody / HIST1H3A Transcriptional Priming Chromatin Antibody.

Storage

Store the Histone H3 (acetyl K9) antibody at -20oC.

Alternate Names

Histone H3 Lys9 acetylation antibody, H3K9ac chromatin priming antibody, histone H3 acetyl Lys9 antibody, early activation histone antibody

Cross
Bulk Quote Request Form
Name*:
Organization*:
Email*:
Phone Number*:
Catalog No.*:
Comments and Specifics(amount, formulation, etc.)*:
Validation code: Captchapackage Image


Can't read the image? click here to refresh.
    *required field

Your bulk quote request has been submitted successfully!

Please contact us if you have any questions.