• Tel: 858.663.9055
  • SeparatorEmail: info@nsjbio.com
  • Tel: 858.663.9055
  • Email: info@nsjbio.com
Home >> Antibodies >> Histone H3 (acetyl K14) Antibody / HIST1H3A

Histone H3 (acetyl K14) Antibody / HIST1H3A [clone BID-8] (FY12021)

  Catalog No Formulation Size Price (USD)  
Image FY12021 Rabbit IgG in phosphate buffered saline, pH 7.4, 150mM NaCl, 0.02% sodium azide and 50% glycerol, 0.4-0.5mg/ml BSA 100 ul 449
Microvalidated Recrabbitmono
Bulk quote request
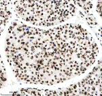
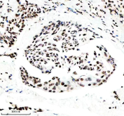
IHC analysis of Histone H3 (acetyl K14) using anti-Histone H3 (acetyl K14) antibody. Histone H3 (acetyl K14) was detected in a paraffin-embedded section of human placenta tissue. Heat mediated antigen retrieval was performed in EDTA buffer (pH 8.0, epitope retrieval solution). The tissue section was blocked with 10% goat serum. The tissue section was then incubated with a dilution of 1:50 rabbit anti-Histone H3 (acetyl K14) antibody overnight at 4oC. Peroxidase Conjugated Goat Anti-rabbit IgG was used as secondary antibody and incubated for 30 minutes at 37oC. The tissue section was developed using an HRP secondary and DAB substrate.
Western blot analysis of Histone H3 using anti-Histone H3 (acetyl K14) antibody. Electrophoresis was performed on a 12% SDS-PAGE gel at 80V (Stacking gel) / 120V (Resolving gel) for 2 hours. Lane 1: human 293T whole cell lysates, Lane 2: human U2OS whole cell lysates, Lane 3: human whole cell lysates, Lane 4: human HepG2 whole cell lysates, Lane 5: rat heart tissue lysates, Lane 6: mouse brain tissue lysates, Lane 7: mouse heart tissue lysates. After electrophoresis, proteins were transferred to a nitrocellulose membrane at 150 mA for 50-90 minutes. Blocked the membrane with 5% non-fat milk/TBS for 1.5 hour at RT. The membrane was incubated with rabbit anti-Histone H3 (acetyl K14) antibody at a dilution of 1:500 overnight at 4oC, then washed with TBS-0.1%Tween 3 times with 5 minutes each and probed with a goat anti-rabbit IgG-HRP secondary antibody at a dilution of 1:5000 for 1.5 hour at RT. The signal was developed using an ECL Plus Western Blotting Substrate. The expected band size for Histone H3 (acetyl K14) is at 15 kDa.
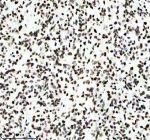
IHC analysis of Histone H3 (acetyl K14) using anti-Histone H3 (acetyl K14) antibody. Histone H3 (acetyl K14) was detected in a paraffin-embedded section of human liver cancer tissue. Heat mediated antigen retrieval was performed in EDTA buffer (pH 8.0, epitope retrieval solution). The tissue section was blocked with 10% goat serum. The tissue section was then incubated with a dilution of 1:50 rabbit anti-Histone H3 (acetyl K14) antibody overnight at 4oC. Peroxidase Conjugated Goat Anti-rabbit IgG was used as secondary antibody and incubated for 30 minutes at 37oC. The tissue section was developed using an HRP secondary and DAB substrate.
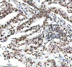
IHC analysis of Histone H3 (acetyl K14) using anti-Histone H3 (acetyl K14) antibody. Histone H3 (acetyl K14) was detected in a paraffin-embedded section of human rectal cancer tissue. Heat mediated antigen retrieval was performed in EDTA buffer (pH 8.0, epitope retrieval solution). The tissue section was blocked with 10% goat serum. The tissue section was then incubated with a dilution of 1:50 rabbit anti-Histone H3 (acetyl K14) antibody overnight at 4oC. Peroxidase Conjugated Goat Anti-rabbit IgG was used as secondary antibody and incubated for 30 minutes at 37oC. The tissue section was developed using an HRP secondary and DAB substrate.
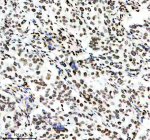
IHC analysis of Histone H3 (acetyl K14) using anti-Histone H3 (acetyl K14) antibody. Histone H3 (acetyl K14) was detected in a paraffin-embedded section of human lymphoma tissue. Heat mediated antigen retrieval was performed in EDTA buffer (pH 8.0, epitope retrieval solution). The tissue section was blocked with 10% goat serum. The tissue section was then incubated with a dilution of 1:50 rabbit anti-Histone H3 (acetyl K14) antibody overnight at 4oC. Peroxidase Conjugated Goat Anti-rabbit IgG was used as secondary antibody and incubated for 30 minutes at 37oC. The tissue section was developed using an HRP secondary and DAB substrate.
IHC analysis of Histone H3 (acetyl K14) using anti-Histone H3 (acetyl K14) antibody. Histone H3 (acetyl K14) was detected in a paraffin-embedded section of human tonsil tissue. Heat mediated antigen retrieval was performed in EDTA buffer (pH 8.0, epitope retrieval solution). The tissue section was blocked with 10% goat serum. The tissue section was then incubated with a dilution of 1:50 rabbit anti-Histone H3 (acetyl K14) antibody overnight at 4oC. Peroxidase Conjugated Goat Anti-rabbit IgG was used as secondary antibody and incubated for 30 minutes at 37oC. The tissue section was developed using an HRP secondary and DAB substrate.
IHC analysis of Histone H3 (acetyl K14) using anti-Histone H3 (acetyl K14) antibody. Histone H3 (acetyl K14) was detected in a paraffin-embedded section of human clear cell renal cell carcinoma tissue. Heat mediated antigen retrieval was performed in EDTA buffer (pH 8.0, epitope retrieval solution). The tissue section was blocked with 10% goat serum. The tissue section was then incubated with a dilution of 1:50 rabbit anti-Histone H3 (acetyl K14) antibody overnight at 4oC. Peroxidase Conjugated Goat Anti-rabbit IgG was used as secondary antibody and incubated for 30 minutes at 37oC. The tissue section was developed using an HRP secondary and DAB substrate.
IHC analysis of Histone H3 (acetyl K14) using anti-Histone H3 (acetyl K14) antibody. Histone H3 (acetyl K14) was detected in a paraffin-embedded section of human glioma tissue. Heat mediated antigen retrieval was performed in EDTA buffer (pH 8.0, epitope retrieval solution). The tissue section was blocked with 10% goat serum. The tissue section was then incubated with a dilution of 1:50 rabbit anti-Histone H3 (acetyl K14) antibody overnight at 4oC. Peroxidase Conjugated Goat Anti-rabbit IgG was used as secondary antibody and incubated for 30 minutes at 37oC. The tissue section was developed using an HRP secondary and DAB substrate.
IHC analysis of Histone H3 (acetyl K14) using anti-Histone H3 (acetyl K14) antibody. Histone H3 (acetyl K14) was detected in a paraffin-embedded section of human ovarian cancer tissue. Heat mediated antigen retrieval was performed in EDTA buffer (pH 8.0, epitope retrieval solution). The tissue section was blocked with 10% goat serum. The tissue section was then incubated with a dilution of 1:50 rabbit anti-Histone H3 (acetyl K14) antibody overnight at 4oC. Peroxidase Conjugated Goat Anti-rabbit IgG was used as secondary antibody and incubated for 30 minutes at 37oC. The tissue section was developed using an HRP secondary and DAB substrate.
IHC analysis of Histone H3 (acetyl K14) using anti-Histone H3 (acetyl K14) antibody. Histone H3 (acetyl K14) was detected in a paraffin-embedded section of human bladder cancer tissue. Heat mediated antigen retrieval was performed in EDTA buffer (pH 8.0, epitope retrieval solution). The tissue section was blocked with 10% goat serum. The tissue section was then incubated with a dilution of 1:50 rabbit anti-Histone H3 (acetyl K14) antibody overnight at 4oC. Peroxidase Conjugated Goat Anti-rabbit IgG was used as secondary antibody and incubated for 30 minutes at 37oC. The tissue section was developed using an HRP secondary and DAB substrate.
IHC analysis of Histone H3 (acetyl K14) using anti-Histone H3 (acetyl K14) antibody. Histone H3 (acetyl K14) was detected in a paraffin-embedded section of human lung cancer tissue. Heat mediated antigen retrieval was performed in EDTA buffer (pH 8.0, epitope retrieval solution). The tissue section was blocked with 10% goat serum. The tissue section was then incubated with a dilution of 1:50 rabbit anti-Histone H3 (acetyl K14) antibody overnight at 4oC. Peroxidase Conjugated Goat Anti-rabbit IgG was used as secondary antibody and incubated for 30 minutes at 37oC. The tissue section was developed using an HRP secondary and DAB substrate.
IHC analysis of Histone H3 (acetyl K14) using anti-Histone H3 (acetyl K14) antibody. Histone H3 (acetyl K14) was detected in a paraffin-embedded section of mouse brain tissue. Heat mediated antigen retrieval was performed in EDTA buffer (pH 8.0, epitope retrieval solution). The tissue section was blocked with 10% goat serum. The tissue section was then incubated with a dilution of 1:50 rabbit anti-Histone H3 (acetyl K14) antibody overnight at 4oC. Peroxidase Conjugated Goat Anti-rabbit IgG was used as secondary antibody and incubated for 30 minutes at 37oC. The tissue section was developed using an HRP secondary and DAB substrate.
IHC analysis of Histone H3 (acetyl K14) using anti-Histone H3 (acetyl K14) antibody. Histone H3 (acetyl K14) was detected in a paraffin-embedded section of rat brain tissue. Heat mediated antigen retrieval was performed in EDTA buffer (pH 8.0, epitope retrieval solution). The tissue section was blocked with 10% goat serum. The tissue section was then incubated with a dilution of 1:50 rabbit anti-Histone H3 (acetyl K14) antibody overnight at 4oC. Peroxidase Conjugated Goat Anti-rabbit IgG was used as secondary antibody and incubated for 30 minutes at 37oC. The tissue section was developed using an HRP secondary and DAB substrate.
Availability 2-3 weeks
Species Reactivity Human, Mouse, Rat
Format Liquid
Host Rabbit
Clonality Recombinant Rabbit Monoclonal
Isotype Rabbit IgG
Clone Name BID-8
Purity Affinity-chromatography
Buffer Rabbit IgG in phosphate buffered saline, pH 7.4, 150mM NaCl, 0.02% sodium azide and 50% glycerol, 0.4-0.5mg/ml BSA.
UniProt P68431
Localization Nuclear
Applications Western Blot : 0.25-0.5ug/ml
Immunohistochemistry : 2-5ug/ml
Immunocytochemistry : 5ug/ml
Immunofluorescence : 5ug/ml
Immunoprecipitation : 2-4ug/500ug of lysate
Limitations This Histone H3 (acetyl K14) antibody is available for research use only.
Review this product on BioCompare and get a $20 Amazon gift card

Related Products

Description

Histone H3 (acetyl K14) antibody detects Histone H3 acetylated at lysine 14, encoded by the HIST1H3A gene. Histone H3 is a core component of the nucleosome, the fundamental unit of chromatin structure, and acetylation at lysine 14 is a key epigenetic modification that regulates gene expression. Histone H3 (acetyl K14) antibody provides researchers with a specific reagent for studying histone acetylation, chromatin remodeling, and transcriptional control.

Histone H3 is one of the four canonical histones, which assemble into octamers with two copies each of H2A, H2B, H3, and H4. Research using Histone H3 (acetyl K14) antibody has shown that acetylation at lysine 14 is catalyzed by histone acetyltransferases such as GCN5 and PCAF. This modification neutralizes positive charges on histone tails, loosening chromatin structure and facilitating access of transcriptional machinery.

Studies with Histone H3 (acetyl K14) antibody have revealed that this acetylation mark is associated with active gene promoters and enhancers. It serves as a recognition site for bromodomain proteins that recruit transcription factors and co-activators, driving gene activation. This highlights the central role of K14 acetylation in epigenetic regulation.

Dysregulation of histone acetylation, including acetylation at lysine 14, is linked to cancer and developmental disorders. Research using Histone H3 (acetyl K14) antibody has shown that aberrant acetylation patterns are associated with oncogene activation and tumor suppressor silencing. Therapeutic strategies that target histone acetyltransferases and deacetylases are being investigated to restore balanced histone acetylation in disease contexts.

Histone H3 (acetyl K14) antibody is widely used in chromatin immunoprecipitation, western blotting, and immunofluorescence. Chromatin immunoprecipitation maps genome-wide localization of acetylated H3, western blotting quantifies modification levels, and immunofluorescence reveals nuclear distribution in different cell states. These approaches make Histone H3 (acetyl K14) antibody indispensable for epigenetics research.

By providing validated Histone H3 (acetyl K14) antibody reagents, NSJ Bioreagents supports studies into chromatin remodeling, epigenetics, and transcriptional regulation. Detection of Histone H3 acetylated at lysine 14 provides researchers with insight into how histone modifications control gene expression.

Application Notes

Optimal dilution of the Histone H3 (acetyl K14) antibody should be determined by the researcher.

Immunogen

A synthesized peptide derived from human Histone H3 (acetyl K14) was used as the immunogen for the Histone H3 (acetyl K14) antibody.

Storage

Store the Histone H3 (acetyl K14) antibody at -20oC.

Cross
Bulk Quote Request Form
Name*:
Organization*:
Email*:
Phone Number*:
Catalog No.*:
Comments and Specifics(amount, formulation, etc.)*:
Validation code: Captchapackage Image


Can't read the image? click here to refresh.
    *required field

Your bulk quote request has been submitted successfully!

Please contact us if you have any questions.