• Tel: 858.663.9055
  • SeparatorEmail: info@nsjbio.com
  • Tel: 858.663.9055
  • Email: info@nsjbio.com
Home >> Antibodies >> Histone H2AX Antibody / H2AFX

Histone H2AX Antibody / H2AFX [clone 938CT5.1.1] (F54477)

  Catalog No Formulation Size Price (USD)  
Image F54477-0.2ML In 1X PBS, pH 7.4, with 0.09% sodium azide 0.2 ml 439
Image
F54477-0.05ML In 1X PBS, pH 7.4, with 0.09% sodium azide 0.05 ml 205
Bulk quote request
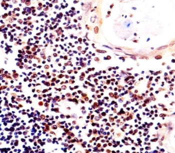
Histone H2AX Antibody Immunohistochemistry. IHC testing of FFPE human thymus tissue with Histone H2AX antibody. HIER: steam section in pH6 citrate buffer for 20 min and allow to cool prior to staining.
IHC testing of FFPE human thymus tissue with Histone H2AX antibody. HIER: steam section in pH6 citrate buffer for 20 min and allow to cool prior to staining.
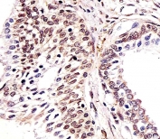
IHC testing of FFPE human prostate tissue with Histone H2AX antibody. HIER: steam section in pH6 citrate buffer for 20 min and allow to cool prior to staining.
Histone H2AX Antibody Immunoblotting. Western blot testing of human 1) HEK293, 2) CEM, 3) HepG2, 4) Jurkat, 5) HeLa and 6) Raji cell lysate with Histone H2AX antibody. Predicted molecular weight ~15 kDa.
Availability 1-3 business days
Species Reactivity Human
Format Purified
Host Mouse
Clonality Monoclonal (mouse origin)
Isotype IgG1
Clone Name 938CT5.1.1
Purity Protein G affinity
UniProt P16104
Localization Nuclear
Applications Immunohistochemistry (FFPE) : 1:25
Western Blot : 1:500-1:2000
Limitations This Histone H2AX antibody is available for research use only.
Review this product on BioCompare and get a $20 Amazon gift card

Related Products

Description

Variant histone H2A which replaces conventional H2A in a subset of nucleosomes. Nucleosomes wrap and compact DNA into chromatin, limiting DNA accessibility to the cellular machineries which require DNA as a template. Histones thereby play a central role in transcription regulation, DNA repair, DNA replication and chromosomal stability. DNA accessibility is regulated via a complex set of post-translational modifications of histones, also called histone code, and nucleosome remodeling. Required for checkpoint-mediated arrest of cell cycle progression in response to low doses of ionizing radiation and for efficient repair of DNA double strand breaks (DSBs) specifically when modified by C-terminal phosphorylation. As part of the Histone H2A antibodies category, this reagent supports investigation of chromatin organization, histone H2A variants including H2A.Z, and epigenetic modification states.

Application Notes

The stated application concentrations are suggested starting points. Titration of the Histone H2AX antibody may be required due to differences in protocols and secondary/substrate sensitivity.

Immunogen

A portion of amino acids 115-143 from the human protein was used as the immunogen for the Histone H2AX antibody.

Storage

Aliquot the Histone H2AX antibody and store frozen at -20oC or colder. Avoid repeated freeze-thaw cycles.

Cross
Bulk Quote Request Form
Name*:
Organization*:
Email*:
Phone Number*:
Catalog No.*:
Comments and Specifics(amount, formulation, etc.)*:
Validation code: Captchapackage Image


Can't read the image? click here to refresh.
    *required field

Your bulk quote request has been submitted successfully!

Please contact us if you have any questions.