- Tel: 858.663.9055
- 
									 Email: info@nsjbio.com Email: info@nsjbio.com
- Tel: 858.663.9055
- Email: info@nsjbio.com
 Email: info@nsjbio.com
Email: info@nsjbio.com
								Histone acetyltransferase 1 (also called HAT1 and KAT1) is a type B histone acetyltransferase that acetylates newly synthesized histone H4 at K5 and K12 during replication-coupled chromatin assembly. Operating in cytoplasmic and nuclear compartments, Histone acetyltransferase 1 cooperates with histone chaperones to prepare H3-H4 dimers for nucleosome incorporation, supporting chromatin maturation, genome accessibility, and orderly epigenetic patterning.
By regulating nascent chromatin, Histone acetyltransferase 1 influences replication dynamics, nucleosome spacing, and the transfer of histone cargo across import and assembly pathways. Its activity provides a useful readout for studies of chromatin biogenesis, histone supply and trafficking, and acetylâdeacetyl balance across diverse cell states and experimental perturbations.
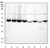
The Histone acetyltransferase 1 antibody enables specific detection of endogenous Histone acetyltransferase 1 in applications such as western blot, immunofluorescence, immunohistochemistry, and immunoprecipitation. Researchers use the Histone acetyltransferase 1 antibody to quantify protein abundance, assess subcellular localization, and monitor replication-coupled chromatin assembly alongside markers such as H4K5ac and H4K12ac. With high specificity and consistent performance, the Histone acetyltransferase 1 antibody from NSJ Bioreagents supports rigorous investigation of chromatin assembly and epigenetic regulation.
Optimal dilution of the Histone acetyltransferase 1 antibody should be determined by the researcher.
Amino acids EKFLVEYKSAVEKKLAEYK from the human protein were used as the immunogen for the Histone acetyltransferase 1 antibody.
After reconstitution, the Histone acetyltransferase 1 antibody can be stored for up to one month at 4oC. For long-term, aliquot and store at -20oC. Avoid repeated freezing and thawing.
 
Your bulk quote request has been submitted successfully!
Please contact us if you have any questions.