• Tel: 858.663.9055
  • SeparatorEmail: info@nsjbio.com
  • Tel: 858.663.9055
  • Email: info@nsjbio.com
Home >> Antibodies >> HIF1A Antibody / HIF-1 alpha

HIF1A Antibody / HIF-1 alpha (RQ5734)

  Catalog No Formulation Size Price (USD)  
Image RQ5734 0.5mg/ml if reconstituted with 0.2ml sterile DI water 100 ug 449
Bulk quote request
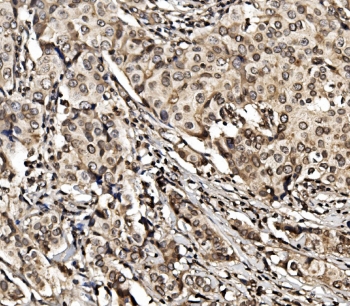
IHC staining of FFPE human rectal cancer with HIF1A antibody. HIER: boil tissue sections in pH8 EDTA for 20 min and allow to cool before testing.
IHC staining of FFPE human breast cancer with HIF1A antibody. HIER: boil tissue sections in pH8 EDTA for 20 min and allow to cool before testing.
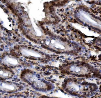
IHC staining of FFPE mouse intestine with HIF1A antibody. HIER: boil tissue sections in pH8 EDTA for 20 min and allow to cool before testing.
IHC staining of FFPE rat intestine with HIF1A antibody. HIER: boil tissue sections in pH8 EDTA for 20 min and allow to cool before testing.
Western blot testing of human 1) A431, 2) HepG2, 3) U-2 OS, 4) rat PC-12 and 5) mouse thymus lysate.
Flow cytometry testing of human A431 cells with HIF1A antibody at 1ug/million cells (blocked with goat sera); Red=cells alone, Green=isotype control, Blue= HIF1A antibody.
Availability 1-3 business days
Species Reactivity Human, Mouse, Rat
Format Antigen affinity purified
Host Rabbit
Clonality Polyclonal (rabbit origin)
Isotype Rabbit IgG
Purity Affinity purified
Buffer Lyophilized from 1X PBS with 2% Trehalose and 0.025% sodium azide
UniProt Q16665
Applications Western Blot : 0.5-1ug/ml
Immunohistochemistry : 1-2ug/ml
Flow Cytometry : 1-3ug/million cells
Direct ELISA : 0.1-0.5ug/ml
Limitations This HIF1A antibody is available for research use only.
Review this product on BioCompare and get a $20 Amazon gift card

Related Products

Description

HIF-1a (Hypoxia-inducible factor 1a, HIF1A) is a transcription factor that mediates cellular and systemic homeostatic responses to reduced O2 availability in mammals, including angiogenesis, erythropoiesis and glycolysis. This gene was mapped to 14q21-q24. HIF-1a transactivate genes required for energy metabolism and tissue perfusion and is necessary for embryonic development and tumor explant growth. HIF-1alpha is over expressed during carcinogenesis, myocardial infarction and wound healing. It is crucial for the cellular response to hypoxia and is frequently over expressed in human cancers, resulting in the activation of genes essential for cell survival. HIF-1a regulates the survival and function in the inflammatory microenvironment directly. It is a transcription factor that plays a pivotal role in cellular adaptation to changes in oxygen availability.

Application Notes

Optimal dilution of the HIF1A antibody should be determined by the researcher.

Immunogen

Recombinant human protein (amino acids Q603-Q814) was used as the immunogen for the HIF1A antibody.

Storage

After reconstitution, the HIF1A antibody can be stored for up to one month at 4oC. For long-term, aliquot and store at -20oC. Avoid repeated freezing and thawing.

Cross
Bulk Quote Request Form
Name*:
Organization*:
Email*:
Phone Number*:
Catalog No.*:
Comments and Specifics(amount, formulation, etc.)*:
Validation code: Captchapackage Image


Can't read the image? click here to refresh.
    *required field

Your bulk quote request has been submitted successfully!

Please contact us if you have any questions.