• Tel: 858.663.9055
  • SeparatorEmail: info@nsjbio.com
  • Tel: 858.663.9055
  • Email: info@nsjbio.com
Home >> Antibodies >> HIF1 alpha Antibody

HIF1 alpha Antibody (F48865)

  Catalog No Formulation Size Price (USD)  
Image F48865-0.4ML In 1X PBS, pH 7.4, with 0.09% sodium azide 0.4 ml 439
Image
F48865-0.08ML In 1X PBS, pH 7.4, with 0.09% sodium azide 0.08 ml 205
Bulk quote request
Western blot analysis of HIF1 alpha antibody and CHO lysate. Routinely observed molecular weight: 100~120 kDa.
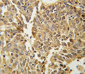
HIF1 alpha antibody IHC analysis in formalin fixed and paraffin embedded lung carcinoma.
Fluorescent confocal image of HeLa cell stained with HIF1 alpha antibody at 1:25. HIF1A immunoreactivity is localized to the cytoplasm and nucleus.
Availability 1-3 business days
Species Reactivity Human, Hamster
Predicted Reactivity Bovine
Format Purified
Host Rabbit
Clonality Polyclonal (rabbit origin)
Isotype Rabbit Ig
Purity Purified
UniProt Q16665
Localization Nuclear, possible cytoplasmic
Applications Western Blot : 1:1000
IHC (Paraffin) : 1:10-1:50
Immunofluorescence : 1:10-1:50
Limitations This HIF1 alpha antibody is available for research use only.
Review this product on BioCompare and get a $20 Amazon gift card

Related Products

Description

Hypoxia-inducible factor-1 (HIF1) is a transcription factor found in mammalian cells cultured under reduced oxygen tension that plays an essential role in cellular and systemic homeostatic responses to hypoxia. HIF1 is a heterodimer composed of an alpha subunit and a beta subunit. The beta subunit has been identified as the aryl hydrocarbon receptor nuclear translocator (ARNT). This protein encodes the alpha subunit of HIF-1. Overexpression of a natural antisense transcript (aHIF) of this gene has been shown to be associated with nonpapillary renal carcinomas.

Application Notes

Titration of the HIF-1 alpha antibody may be required due to differences in protocols and secondary/substrate sensitivity.

Immunogen

A portion of amino acids 1-30 from the human protein was used as the immunogen for this HIF1 alpha antibody.

Storage

Aliquot the HIF1 alpha antibody and store frozen at -20oC or colder. Avoid repeated freeze-thaw cycles.

Cross
Bulk Quote Request Form
Name*:
Organization*:
Email*:
Phone Number*:
Catalog No.*:
Comments and Specifics(amount, formulation, etc.)*:
Validation code: Captchapackage Image


Can't read the image? click here to refresh.
    *required field

Your bulk quote request has been submitted successfully!

Please contact us if you have any questions.