• Tel: 858.663.9055
  • SeparatorEmail: info@nsjbio.com
  • Tel: 858.663.9055
  • Email: info@nsjbio.com
Home >> Antibodies >> HIF-1 alpha Antibody / HIF1A

HIF-1 alpha Antibody / HIF1A (R31666)

  Catalog No Formulation Size Price (USD)  
Image R31666 0.5mg/ml if reconstituted with 0.2ml sterile DI water 100 ug 449
Bulk quote request
Western blot testing of HIF-1 alpha/HIF1A antibody and Lane 1: human HeLa; 2: human SHG-44; 3: mouse HEPA1-6; Routinely observed molecular weight: 100~120 kDa.
Western blot testing of HIF-1 alpha antibody and recombinant human protein (0.5ng)
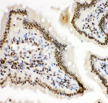
IHC-P: HIF-1 alpha antibody testing of mouse intestine tissue
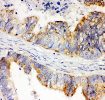
IHC-P: HIF-1 alpha antibody testing of rat intestine tissue
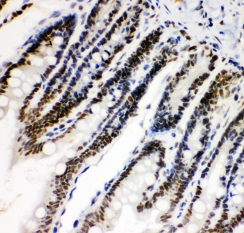
IHC-P: HIF-1 alpha antibody testing of human intestinal cancer tissue
Availability 1-3 business days
Species Reactivity Human, Mouse, Rat
Format Antigen affinity purified
Host Rabbit
Clonality Polyclonal (rabbit origin)
Isotype Rabbit IgG
Purity Antigen affinity
Buffer Lyophilized from 1X PBS with 2.5% BSA and 0.025% sodium azide
Gene ID 3091
Localization Nuclear, possible cytoplasmic
Applications Western Blot : 0.5-1ug/ml
Immunohistochemistry (FFPE) : 0.5-1ug/ml
Limitations This HIF-1 alpha antibody is available for research use only.
Review this product on BioCompare and get a $20 Amazon gift card

Related Products

Description

HIF-1 alpha Antibody recognizes Hypoxia inducible factor 1 subunit alpha, the oxygen-sensitive regulatory component of the HIF-1 transcription factor complex encoded by the HIF1A gene. HIF-1 alpha antibody, also widely referred to as HIF1A antibody and Hypoxia inducible factor 1 alpha antibody in the literature, detects a master regulator of cellular responses to hypoxia. Under normoxic conditions, HIF-1 alpha is rapidly hydroxylated and targeted for proteasomal degradation. In contrast, reduced oxygen tension stabilizes HIF-1 alpha, allowing it to accumulate in the nucleus and dimerize with HIF-1 beta to activate hypoxia-responsive genes.

Hypoxia inducible factor 1 subunit alpha functions as a transcription factor that regulates genes involved in angiogenesis, glycolysis, erythropoiesis, cell survival, and metabolic adaptation. HIF-1 alpha antibody is commonly used to evaluate hypoxic signaling pathways and tumor microenvironment biology, as HIF1A-driven transcription induces vascular endothelial growth factor, glucose transporters such as GLUT1, and multiple glycolytic enzymes. Nuclear localization of HIF-1 alpha is a hallmark of transcriptionally active hypoxia signaling in immunohistochemical studies.

HIF-1 alpha protein stability is tightly controlled by prolyl hydroxylases that modify specific proline residues in an oxygen-dependent manner. Hydroxylated HIF-1 alpha is recognized by the von Hippel-Lindau tumor suppressor complex and targeted for ubiquitin-mediated degradation. In hypoxia or in tumors with VHL pathway alterations, this degradation pathway is impaired, resulting in accumulation of HIF-1 alpha and activation of hypoxia responsive element-containing genes. HIF-1 alpha Antibody is therefore frequently applied in studies of renal cell carcinoma, glioblastoma, breast cancer, and other solid tumors characterized by hypoxic regions.

Beyond oncology, HIF-1 alpha plays important roles in ischemic injury, cardiovascular disease, inflammatory responses, and metabolic reprogramming. HIF1A signaling influences immune cell function, including macrophage polarization and T cell metabolism under low oxygen conditions. Cytoplasmic staining may reflect stabilized but not yet translocated protein, whereas nuclear staining is typically interpreted as active transcriptional engagement. HIF-1 alpha Antibody provides a valuable tool for assessing hypoxia pathway activation, angiogenic signaling, and metabolic adaptation in both basic research and translational studies.

By targeting a central mediator of oxygen sensing and cellular adaptation, HIF-1 alpha Antibody supports investigations into tumor hypoxia, therapeutic resistance, ischemia, and stress response pathways.

Application Notes

Titration of the HIF-1 alpha antibody may be required due to differences in protocols and secondary/substrate sensitivity.

Immunogen

Amino acids 703-732 (EEELNPKILALQNAQRKRKMEHDGSLFQAV-human) were used as the immunogen for this HIF-1 alpha antibody.

Storage

The lyophilized HIF-1 alpha antibody can be stored at 4-20oC. After reconstitution, aliquot and store at -20oC. Avoid repeated freezing and thawing.

Cross
Bulk Quote Request Form
Name*:
Organization*:
Email*:
Phone Number*:
Catalog No.*:
Comments and Specifics(amount, formulation, etc.)*:
Validation code: Captchapackage Image


Can't read the image? click here to refresh.
    *required field

Your bulk quote request has been submitted successfully!

Please contact us if you have any questions.