• Tel: 858.663.9055
  • SeparatorEmail: info@nsjbio.com
  • Tel: 858.663.9055
  • Email: info@nsjbio.com
Home >> Antibodies >> HIC1 Antibody

HIC1 Antibody (R34931)

  Catalog No Formulation Size Price (USD)  
Image R34931-100UG 0.5 mg/ml in 1X TBS, pH7.3, with 0.5% BSA (US sourced) and 0.02% sodium azide 100 ug 475
Bulk quote request
Western blot of HEK293 lysate overexpressing human HIC1 tested with HIC1 antibody at (0.5ug/ml). Mock transfection lanes also shown. Predicted molecular weight: ~77kDa but can be observed at ~100kDa.
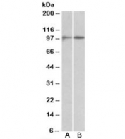
Western blot testing of A549 (A) and Jurkat (B) lysates with HIC1 antibody at 1ug/ml. Western blot of HEK293 lysate overexpressing human HIC1 tested with HIC1 antibody at (0.5ug/ml). Mock transfection lanes also shown. Predicted molecular weight: ~77kDa but can be observed at ~100kDa.
Availability 1-3 business days
Species Reactivity Human
Predicted Reactivity Dog, Mouse, Pig, Rat
Format Antigen affinity purified
Host Goat
Clonality Polyclonal (goat origin)
Isotype Goat Ig
Purity Antigen affinity
Gene ID 3090
Applications Western Blot : 0.5-2ug/ml
ELISA (peptide) LOD : 1:128000
Limitations This HIC1 antibody is available for research use only.
Review this product on BioCompare and get a $20 Amazon gift card

Related Products

  • Applications : WB, ELISA (peptide)
    Reactivity : Human
    Pred. Reactivity : Cow, Dog, Mouse, Pig, Rat

Description

Additional name(s) for this target protein: Hypermethylated in cancer 1

Application Notes

Optimal dilution of the HIC1 antibody should be determined by the researcher.

Immunogen

Amino acids NTHCAELYASGP were used as the immunogen for this HIC1 antibody.

Storage

Aliquot and store the HIC1 antibody at -20oC.

Cross
Bulk Quote Request Form
Name*:
Organization*:
Email*:
Phone Number*:
Catalog No.*:
Comments and Specifics(amount, formulation, etc.)*:
Validation code: Captchapackage Image


Can't read the image? click here to refresh.
    *required field

Your bulk quote request has been submitted successfully!

Please contact us if you have any questions.