• Tel: 858.663.9055
  • SeparatorEmail: info@nsjbio.com
  • Tel: 858.663.9055
  • Email: info@nsjbio.com
Home >> Antibodies >> hHR23A Antibody / RAD23A

hHR23A Antibody / RAD23A (RQ6895)

  Catalog No Formulation Size Price (USD)  
Image RQ6895 0.5mg/ml if reconstituted with 0.2ml sterile DI water 100 ug 449
Bulk quote request
Flow cytometry testing of human HeLa cells with hHR23A antibody at 1ug/million cells (blocked with goat sera); Red=cells alone, Green=isotype control, Blue= hHR23A antibody.
Flow cytometry testing of mouse ANA-1 cells with hHR23A antibody at 1ug/million cells (blocked with goat sera); Red=cells alone, Green=isotype control, Blue= hHR23A antibody.
Flow cytometry testing of rat C6 cells with hHR23A antibody at 1ug/million cells (blocked with goat sera); Red=cells alone, Green=isotype control, Blue= hHR23A antibody.
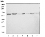
Western blot testing of 1) human K562, 2) human HeLa, 3) human MCF7, 4) human Jurkat, 5) rat testis, 6) mouse testis and 7) mouse lung tissue lysate with hHR23A antibody. Predicted molecular weight ~40 kDa but commonly observed at 40-55 kDa and possibly larger due to ubiquitination.
Availability 1-3 business days
Species Reactivity Human, Mouse, Rat
Format Antigen affinity purified
Host Rabbit
Clonality Polyclonal (rabbit origin)
Isotype Rabbit IgG
Purity Antigen affinity purified
Buffer Lyophilized from 1X PBS with 2% Trehalose
UniProt P54725
Applications Western Blot : 1-2ug/ml
Flow Cytometry : 1-3ug/million cells
Limitations This hHR23A antibody is available for research use only.
Review this product on BioCompare and get a $20 Amazon gift card

Description

UV excision repair protein RAD23 homolog A is a protein that in humans is encoded by the RAD23A gene. The protein encoded by this gene is one of two human homologs of Saccharomyces cerevisiae Rad23, a protein involved in nucleotide excision repair. Proteins in this family have a modular domain structure consisting of an ubiquitin-like domain (UbL), ubiquitin-associated domain 1 (UbA1), XPC-binding domain and UbA2. The protein encoded by this gene plays an important role in nucleotide excision repair and also in delivery of polyubiquitinated proteins to the proteasome. Alternative splicing results in multiple transcript variants encoding multiple isoforms.

Application Notes

Optimal dilution of the hHR23A antibody should be determined by the researcher.

Immunogen

Amino acids KIRMEPDETVKVLKEKIEAEK from the human protein were used as the immunogen for the hHR23A antibody.

Storage

After reconstitution, the hHR23A antibody can be stored for up to one month at 4oC. For long-term, aliquot and store at -20oC. Avoid repeated freezing and thawing.

Cross
Bulk Quote Request Form
Name*:
Organization*:
Email*:
Phone Number*:
Catalog No.*:
Comments and Specifics(amount, formulation, etc.)*:
Validation code: Captchapackage Image


Can't read the image? click here to refresh.
    *required field

Your bulk quote request has been submitted successfully!

Please contact us if you have any questions.