• Tel: 858.663.9055
  • SeparatorEmail: info@nsjbio.com
  • Tel: 858.663.9055
  • Email: info@nsjbio.com
Home >> Antibodies >> HGF Antibody

HGF Antibody (F45472)

  Catalog No Formulation Size Price (USD)  
Image F45472-0.4ML In 1X PBS, pH 7.4, with 0.09% sodium azide 0.4 ml 439
Image
F45472-0.08ML In 1X PBS, pH 7.4, with 0.09% sodium azide 0.08 ml 205
Bulk quote request
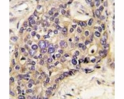
IHC analysis of FFPE human hepatocarcinoma tissue stained with HGF antibody
HGF antibody flow cytometric analysis of CEM cells (green) compared to a negative control (blue). FITC-conjugated goat-anti-rabbit secondary Ab was used for the analysis.
HGF antibody used in western blot to detect HGF in Ramos lysate. Predicted molecular weight: 76-91 kDa (precursor), 54-64 kDa (alpha chain), 31-34 kDa (beta chain).
Availability 1-3 business days
Species Reactivity Human
Format Purified
Host Rabbit
Clonality Polyclonal (rabbit origin)
Isotype Rabbit Ig
Purity Purified
UniProt P14210
Applications Western Blot : 1:1000
Flow Cytometry : 1:10-1:50
IHC (Paraffin) : 1:50-1:100
Limitations This HGF antibody is available for research use only.
Review this product on BioCompare and get a $20 Amazon gift card

Related Products

Description

Hepatocyte Growth Factor is a potent mitogen for mature parenchymal hepatocyte cells, seems to be a hepatotrophic factor, and acts as a growth factor for a broad spectrum of tissues and cell types. Activating ligand for the receptor tyrosine kinase MET by binding to it and promoting its dimerization. [UniProt]

Application Notes

Titration of the HGF antibody may be required due to differences in protocols and secondary/substrate sensitivity.

Immunogen

A portion of amino acids 521-554 from the human protein was used as the immunogen for this HGF antibody.

Storage

Aliquot the HGF antibody and store frozen at -20oC or colder. Avoid repeated freeze-thaw cycles.

Cross
Bulk Quote Request Form
Name*:
Organization*:
Email*:
Phone Number*:
Catalog No.*:
Comments and Specifics(amount, formulation, etc.)*:
Validation code: Captchapackage Image


Can't read the image? click here to refresh.
    *required field

Your bulk quote request has been submitted successfully!

Please contact us if you have any questions.