• Tel: 858.663.9055
  • SeparatorEmail: info@nsjbio.com
  • Tel: 858.663.9055
  • Email: info@nsjbio.com
Home >> Antibodies >> HGAL Antibody / GCSAM / GCET2

HGAL Antibody / GCSAM / GCET2 [clone HGAL/830] (V8782)

  Catalog No Formulation Size Price (USD)  
Image V8782-100UG 0.2 mg/ml in 1X PBS with 0.1 mg/ml BSA (US sourced), 0.05% sodium azide 100 ug 559
Image
V8782-20UG 0.2 mg/ml in 1X PBS with 0.1 mg/ml BSA (US sourced), 0.05% sodium azide 20 ug 259
Image
V8782SAF-100UG 1 mg/ml in 1X PBS; BSA free, sodium azide free 100 ug 559
Bulk quote request
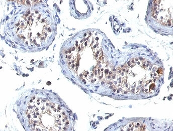
IHC staining of FFPE human testis tissue with HGAL antibody (clone HGAL/830). HIER: boil tissue sections in pH 9 10mM Tris with 1mM EDTA for 20 min and allow to cool before testing.
SDS-PAGE analysis of purified, BSA-free HGAL antibody (HGAL/830) as confirmation of integrity and purity.
Availability 1-3 business days
Species Reactivity Human
Format Purified
Host Mouse
Clonality Monoclonal (mouse origin)
Isotype Mouse IgG1, kappa
Clone Name HGAL/830
Purity Protein A/G affinity
UniProt Q8N6F7
Localization Cytoplasm, Cell surface
Applications Immunohistochemistry (FFPE) : 1-2ug/ml
Limitations This HGAL antibody is available for research use only.
Review this product on BioCompare and get a $20 Amazon gift card

Related Products

Description

Germinal center-associated signaling and motility protein / GCSAM, also called GCET2 and HGAL or hGAL, contains a putative PDZ-interacting domain, an immunoreceptor tyrosine-based activation motif (ITAM), and two putative SH2 binding sites. In B cells, its expression is specifically induced by interleukin-4. HGAL is specifically expressed in germinal center B-cells, but is absent in mantle and marginal zone B-cells and in the inter-follicular and para-cortical regions in normal tonsils and lymph nodes. Its high degree of specificity for germinal center B-cells makes anti-HGAL an ideal marker for the detection of germinal center-derived B-cell lymphomas. HGAL expression has been used to help elucidate nodal marginal zone lymphoma (NMZL) from cases of diffuse follicle center lymphoma. Additionally, HGAL expression was shown to correlate with survival in patients with diffuse large B-cell lymphoma (DLBCL).

Application Notes

Optimal dilution of the HGAL antibody should be determined by the researcher.

Immunogen

A portion of amino acids 1-200 was used as the immunogen for the HGAL antibody.

Storage

Aliquot the HGAL antibody and store frozen at -20oC or colder. Avoid repeated freeze-thaw cycles.

Cross
Bulk Quote Request Form
Name*:
Organization*:
Email*:
Phone Number*:
Catalog No.*:
Comments and Specifics(amount, formulation, etc.)*:
Validation code: Captchapackage Image


Can't read the image? click here to refresh.
    *required field

Your bulk quote request has been submitted successfully!

Please contact us if you have any questions.