• Tel: 858.663.9055
  • SeparatorEmail: info@nsjbio.com
  • Tel: 858.663.9055
  • Email: info@nsjbio.com
Home >> Antibodies >> Hexokinase II Antibody / HK2

Hexokinase II Antibody / HK2 (R32605)

  Catalog No Formulation Size Price (USD)  
Image R32605 0.5mg/ml if reconstituted with 0.2ml sterile DI water 100 ug 449
Bulk quote request
Western blot testing of human 1) U-87 MG, 2) HEL, 3) HepG2 and 4) RT4 cell lysate with Hexokinase II antibody at 0.5ug/ml. Predicted molecular weight ~102 kDa.
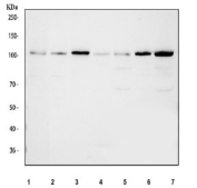
Western blot testing of 1) human HeLa, 2) human MCF7, 3) human HepG2, 4) rat skeletal muscle, 5) rat heart, 6) mouse skeletal muscle and 7) mouse heart tissue lysate with Hexokinase II antibody at 0.5ug/ml. Predicted molecular weight ~102 kDa.
IHC staining of FFPE human breast cancer tissue with Hexokinase II antibody. HIER: boil tissue sections in pH8 EDTA for 20 min and allow to cool before testing.
IHC staining of FFPE mouse skeletal muscle tissue with Hexokinase II antibody. HIER: boil tissue sections in pH8 EDTA for 20 min and allow to cool before testing.
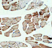
IHC staining of FFPE rat skeletal muscle tissue with Hexokinase II antibody. HIER: boil tissue sections in pH8 EDTA for 20 min and allow to cool before testing.
Flow cytometry testing of fixed and permeabilized human HepG2 cells with Hexokinase II antibody at 1ug/million cells (blocked with goat sera); Red=cells alone, Green=isotype control, Blue= Hexokinase II antibody.
Availability 1-3 business days
Species Reactivity Human, Mouse, Rat
Format Antigen affinity purified
Host Rabbit
Clonality Polyclonal (rabbit origin)
Isotype Rabbit IgG
Purity Antigen affinity
Buffer Lyophilized from 1X PBS with 2% Trehalose
UniProt P52789
Applications Western Blot : 0.5-1ug/ml
Immunohistochemistry (FFPE) : 2-5ug/ml
Flow Cytometry : 1-3ug/million cells
Limitations This Hexokinase II antibody is available for research use only.
Review this product on BioCompare and get a $20 Amazon gift card

Related Products

Description

Hexokinase II, also known as HK2, is an enzyme which in humans is encoded by the HK2 gene on chromosome 2. Hexokinases phosphorylate glucose to produce glucose-6-phosphate, the first step in most glucose metabolism pathways. This gene encodes hexokinase ii/2, the predominant form found in skeletal muscle. It localizes to the outer membrane of mitochondria. Expression of this gene is insulin-responsive, and studies in rat suggest that it is involved in the increased rate of glycolysis seen in rapidly growing cancer cells.

Application Notes

Optimal dilution of the Hexokinase II antibody should be determined by the researcher.

Immunogen

Amino acids 460-497 (AYRLADQHRARQKTLEHLQLSHDQLLEVKRRMKVEMER-human) were used as the immunogen for the Hexokinase II antibody.

Storage

After reconstitution, the Hexokinase II antibody can be stored for up to one month at 4oC. For long-term, aliquot and store at -20oC. Avoid repeated freezing and thawing.

Cross
Bulk Quote Request Form
Name*:
Organization*:
Email*:
Phone Number*:
Catalog No.*:
Comments and Specifics(amount, formulation, etc.)*:
Validation code: Captchapackage Image


Can't read the image? click here to refresh.
    *required field

Your bulk quote request has been submitted successfully!

Please contact us if you have any questions.