• Tel: 858.663.9055
  • SeparatorEmail: info@nsjbio.com
  • Tel: 858.663.9055
  • Email: info@nsjbio.com
Home >> Antibodies >> HES5 Antibody / BHLHB38

HES5 Antibody / BHLHB38 [clone HES5/8035] (V5758)

  Catalog No Formulation Size Price (USD)  
Image V5758-100UG 0.2 mg/ml in 1X PBS with 0.1 mg/ml BSA (US sourced), 0.05% sodium azide 100 ug 559
Image
V5758-20UG 0.2 mg/ml in 1X PBS with 0.1 mg/ml BSA (US sourced), 0.05% sodium azide 20 ug 259
Image
V5758SAF-100UG 1 mg/ml in 1X PBS; BSA free, sodium azide free 100 ug 559
Bulk quote request
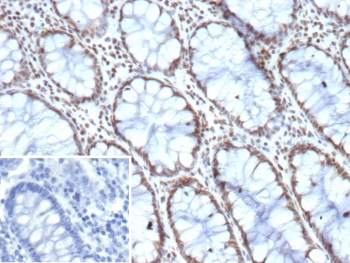
IHC staining of FFPE human colon tissue with HES5 antibody (clone HES5/8035). Inset: PBS used in place of primary Ab (secondary Ab negative control). HIER: boil tissue sections in pH 9 10mM Tris with 1mM EDTA for 20 min and allow to cool before testing.
SDS-PAGE analysis of purified, BSA-free HES5 antibody (clone HES5/8035) as confirmation of integrity and purity.
Availability 1-3 business days
Species Reactivity Human
Format Purified
Host Mouse
Clonality Monoclonal (mouse origin)
Isotype Mouse IgG2, kappa
Clone Name HES5/8035
Purity Protein G affinity
UniProt Q5TA89
Localization Nuclear
Applications Immunohistochemistry (FFPE) : 1-2ug/ml
Limitations This HES5 antibody is available for research use only.
Review this product on BioCompare and get a $20 Amazon gift card

Related Products

  • Applications : WB, ELISA
    Reactivity : Human, Mouse
    Pred. Reactivity : Rat
  • Applications : WB, IHC-P, FACS, Direct ELISA
    Reactivity : Human

Description

The Drosophila Hairy and Enhancer of split genes encode basic helix-loop-helix (bHLH) transcriptional repressors that function in the Notch signaling pathway and control segmentation and neural development during embryogenesis. The mammalian homologues of Drosophila Hairy and Enhancer of split are the HES gene family members, HES1-6, which also encode bHLH transcriptional repressors that regulate myogenesis and neurogenesis. The HES family members form a complex with TLE, the mammalian homologue of Groucho, and this interaction is mediated by the carboxy terminal WRPW motif of the HES proteins. The HES/TLE complex functions by directly binding to DNA, instead of interfering with activator proteins. Most HES family members, including HES1 and HES5, preferentially bind to the N box (CACNAG) as opposed to the E box (CANNTG). HES2 binds to both N and E box sites, while HES6 does not bind DNA. Rather, HES6 inhibits HES1 activity, thereby promoting transcription. HES1 and HES2 are expressed in a variety of adult and embryonic tissues. HES3 is expressed exclusively in cerebellar Purkinje cells, and HES5 is found solely in the nervous system. HES6 is produced in brain as well as in the limb buds of developing embryos.

Application Notes

Optimal dilution of the HES5 antibody should be determined by the researcher.

Immunogen

A recombinant partial protein from human HES5 protein was used as the immunogen for the HES5 antibody.

Storage

Aliquot the HES5 antibody and store frozen at -20oC or colder. Avoid repeated freeze-thaw cycles.

Cross
Bulk Quote Request Form
Name*:
Organization*:
Email*:
Phone Number*:
Catalog No.*:
Comments and Specifics(amount, formulation, etc.)*:
Validation code: Captchapackage Image


Can't read the image? click here to refresh.
    *required field

Your bulk quote request has been submitted successfully!

Please contact us if you have any questions.