• Tel: 858.663.9055
  • SeparatorEmail: info@nsjbio.com
  • Tel: 858.663.9055
  • Email: info@nsjbio.com
Home >> Antibodies >> HERC5 Antibody

HERC5 Antibody (RQ5045)

  Catalog No Formulation Size Price (USD)  
Image RQ5045 0.5mg/ml if reconstituted with 0.2ml sterile DI water 100 ug 449
Bulk quote request
Immunofluorescent staining of FFPE human A431 cells with HERC5 antibody (green) and DAPI nuclear stain (blue). HIER: steam section in pH6 citrate buffer for 20 min.
Immunofluorescent staining of FFPE human U-2 OS cells with HERC5 antibody (red) and DAPI nuclear stain (blue). HIER: steam section in pH6 citrate buffer for 20 min.
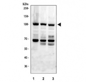
Western blot testing of human 1) 293T, 2) A549 and 3) PC-3 cell lysate with HERC5 antibody. Predicted molecular weight ~117 kDa.
Availability 1-3 business days
Species Reactivity Human
Format Antigen affinity purified
Host Rabbit
Clonality Polyclonal (rabbit origin)
Isotype Rabbit IgG
Purity Affinity purified
Buffer Lyophilized from 1X PBS with 2% Trehalose
UniProt Q9UII4
Localization Cytoplasm
Applications Western Blot : 0.1-0.5ug/ml
Immunofluorescence (FFPE) : 5ug/ml
Direct ELISA : 0.1-0.5ug/ml
Limitations This HERC5 antibody is available for research use only.
Review this product on BioCompare and get a $20 Amazon gift card

Description

Probable E3 ubiquitin-protein ligase HERC5 is an enzyme that in humans is encoded by the HERC5 gene. It is mapped to 4q22.1. This gene is a member of the HERC family of ubiquitin ligases and encodes a protein with a HECT domain and five RCC1 repeats. Pro-inflammatory cytokines upregulate expression of this gene in endothelial cells. The protein localizes to the cytoplasm and perinuclear region and functions as an interferon-induced E3 protein ligase that mediates ISGylation of protein targets.

Application Notes

Optimal dilution of the HERC5 antibody should be determined by the researcher.

Immunogen

Amino acids F793-G1024 from the human protein were used as the immunogen for the HERC5 antibody.

Storage

After reconstitution, the HERC5 antibody can be stored for up to one month at 4oC. For long-term, aliquot and store at -20oC. Avoid repeated freezing and thawing.

Cross
Bulk Quote Request Form
Name*:
Organization*:
Email*:
Phone Number*:
Catalog No.*:
Comments and Specifics(amount, formulation, etc.)*:
Validation code: Captchapackage Image


Can't read the image? click here to refresh.
    *required field

Your bulk quote request has been submitted successfully!

Please contact us if you have any questions.