• Tel: 858.663.9055
  • SeparatorEmail: info@nsjbio.com
  • Tel: 858.663.9055
  • Email: info@nsjbio.com
Home >> Antibodies >> HER2 Antibody

HER2 Antibody (R32662)

  Catalog No Formulation Size Price (USD)  
Image R32662 0.5mg/ml if reconstituted with 0.2ml sterile DI water 100 ug 449
Bulk quote request
Western blot testing of human 1) HeLa and 2) MCF7 cell lysate with HER2 antibody. Predicted molecular weight ~138 kDa (unmodified), ~185 kDa (glycosylated).
Western blot testing of human HepG2 cell lysate with HER2 antibody. Predicted molecular weight ~138 kDa (unmodified), ~185 kDa (glycosylated).
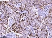
IHC testing of FFPE breast cancer tissue with HER2 antibody. Required HIER: steam section in pH8 EDTA for 20 min and allow to cool prior to testing.
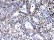
IHC testing of FFPE human liver cancer tissue with HER2 antibody. Required HIER: steam section in pH6 citrate buffer for 20 min and allow to cool prior to testing.
Availability 1-3 business days
Species Reactivity Human
Format Antigen affinity purified
Host Rabbit
Clonality Polyclonal (rabbit origin)
Isotype Rabbit IgG
Purity Antigen affinity
Buffer Lyophilized from 1X PBS with 2% Trehalose
UniProt P04626
Applications Western Blot : 0.5-1ug/ml
Immunohistochemistry (FFPE) : 2-5ug/ml
Limitations This HER2 antibody is available for research use only.
Review this product on BioCompare and get a $20 Amazon gift card

Related Products

Description

Receptor tyrosine-protein kinase erbB-2, also known as CD340 (cluster of differentiation 340), proto-oncogene Neu, Erbb2 (rodent), or ERBB2 (human), is a protein that in humans is encoded by the ERBB2 gene. And it is also frequently called HER2 (from human epidermal growth factor receptor 2) or HER2/neu. This gene encodes a member of the epidermal growth factor (EGF) receptor family of receptor tyrosine kinases. This protein has no ligand binding domain of its own and therefore cannot bind growth factors. Amplification and/or overexpression of this gene has been reported in numerous cancers, including breast and ovarian tumors. Alternative splicing results in several additional transcript variants, some encoding different isoforms and others that have not been fully characterized.

Application Notes

Optimal dilution of the HER2 antibody should be determined by the researcher.

Immunogen

Amino acids 29-64 (TDMKLRLPASPETHLDMLRHLYQGCQVVQGNLELTY) from the human protein were used as the immunogen for the HER2 antibody.

Storage

After reconstitution, the HER2 antibody can be stored for up to one month at 4oC. For long-term, aliquot and store at -20oC. Avoid repeated freezing and thawing.

Cross
Bulk Quote Request Form
Name*:
Organization*:
Email*:
Phone Number*:
Catalog No.*:
Comments and Specifics(amount, formulation, etc.)*:
Validation code: Captchapackage Image


Can't read the image? click here to refresh.
    *required field

Your bulk quote request has been submitted successfully!

Please contact us if you have any questions.