• Tel: 858.663.9055
  • SeparatorEmail: info@nsjbio.com
  • Tel: 858.663.9055
  • Email: info@nsjbio.com
Home >> Antibodies >> HER2 Antibody / ErbB2 / Extracellular Domain

HER2 Antibody / ErbB2 / Extracellular Domain [clone ERBB2/3079] (V7736)

  Catalog No Formulation Size Price (USD)  
Image V7736-100UG 0.2 mg/ml in 1X PBS with 0.1 mg/ml BSA (US sourced) and 0.05% sodium azide 100 ug 559
Image
V7736-20UG 0.2 mg/ml in 1X PBS with 0.1 mg/ml BSA (US sourced) and 0.05% sodium azide 20 ug 259
Image
V7736SAF-100UG 1 mg/ml in 1X PBS; BSA free, sodium azide free 100 ug 559
Microvalidated
Bulk quote request
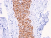
HER2 Antibody Breast Carcinoma IHC. Immunohistochemistry analysis of FFPE human breast carcinoma tissue using HER2 Antibody (clone ERBB2/3079) demonstrates strong HRP-DAB brown membranous staining in tumor epithelial cells forming cohesive nests, consistent with ErbB2 / HER2 overexpression as a receptor tyrosine kinase, while surrounding stromal tissue shows minimal signal; nuclei are counterstained blue. HIER: boil tissue sections in pH 9 10 mM Tris with 1 mM EDTA for 10-20 min and allow to cool before testing.
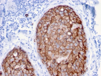
HER2 Antibody Breast Tumor Columnar IHC. Immunohistochemistry analysis of FFPE human breast carcinoma tissue using HER2 Antibody (clone ERBB2/3079) highlights intense, continuous HRP-DAB brown membranous staining along elongated tumor cell structures, emphasizing cell surface localization of ErbB2 / HER2 within organized epithelial arrangements, while adjacent stromal regions remain largely negative; nuclei are counterstained blue. HIER: boil tissue sections in pH 9 10 mM Tris with 1 mM EDTA for 10-20 min and allow to cool before testing.
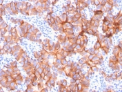
HER2 Antibody Breast Tumor Architecture IHC. Immunohistochemistry analysis of FFPE human breast carcinoma tissue using HER2 Antibody (clone ERBB2/3079) demonstrates widespread HRP-DAB brown membranous staining across complex tumor glandular architecture, consistent with high-level ErbB2 / HER2 expression as a membrane-associated receptor tyrosine kinase, while stromal components show minimal background staining; nuclei are counterstained blue. HIER: boil tissue sections in pH 9 10 mM Tris with 1 mM EDTA for 10-20 min and allow to cool before testing.
Analysis of HuProt(TM) microarray containing more than 19,000 full-length human proteins using HER2 antibody (clone ERBB2/3079). These results demonstrate the foremost specificity of the ERBB2/3079 mAb.
Z- and S- score: The Z-score represents the strength of a signal that an antibody (in combination with a fluorescently-tagged anti-IgG secondary Ab) produces when binding to a particular protein on the HuProt(TM) array. Z-scores are described in units of standard deviations (SD's) above the mean value of all signals generated on that array. If the targets on the HuProt(TM) are arranged in descending order of the Z-score, the S-score is the difference (also in units of SD's) between the Z-scores. The S-score therefore represents the relative target specificity of an Ab to its intended target.
SDS-PAGE analysis of purified, BSA-free HER2 antibody (clone ERBB2/3079) as confirmation of integrity and purity.
Availability 1-3 business days
Species Reactivity Human
Format Purified
Host Mouse
Clonality Monoclonal (mouse origin)
Isotype Mouse IgG2b, kappa
Clone Name ERBB2/3079
Purity Protein G affinity chromatography
UniProt P04626
Localization Cell surface
Applications Immunohistochemistry (FFPE) : 1-2ug/ml
Limitations This HER2 antibody is available for research use only.
Review this product on BioCompare and get a $20 Amazon gift card

Related Products

Description

Recognizes a protein of 185kDa, which is identified as c-erbB-2/HER-2/neu. Its epitope is localized in the extracellular domain. C-erbB-2/HER-2 is a member of the EGFR family. This MAb is specific and shows minimal cross-reaction with other members of the EGFR-family. Receptors of this family are located on the plasma membrane and consist of an extracellular ligand-binding domain that is connected to a large intracellular domain by a single transmembrane sequence. c-erbB-2/HER-2 protein is over-expressed in a variety of carcinomas especially those of breast and ovary.

For broad detection of HER2 (ErbB2) as a receptor tyrosine kinase, see our HER2 antibody.

Application Notes

Optimal dilution of the HER2 antibody should be determined by the researcher.

Immunogen

A recombinant human HER2 protein fragment within amino acids 311-462 was used as the immunogen for the HER2 antibody. Its epitope is localized in the extracellular domain.

Storage

Store the HER2 antibody at 2-8oC (with azide) or aliquot and store at -20oC or colder (without azide).

Cross
Bulk Quote Request Form
Name*:
Organization*:
Email*:
Phone Number*:
Catalog No.*:
Comments and Specifics(amount, formulation, etc.)*:
Validation code: Captchapackage Image


Can't read the image? click here to refresh.
    *required field

Your bulk quote request has been submitted successfully!

Please contact us if you have any questions.