• Tel: 858.663.9055
  • SeparatorEmail: info@nsjbio.com
  • Tel: 858.663.9055
  • Email: info@nsjbio.com
Home >> Antibodies >> HER2 Antibody / Extracellular Domain Antibody

HER2 Antibody / Extracellular Domain Antibody [clone ERBB2/3078] (V7735)

  Catalog No Formulation Size Price (USD)  
Image V7735-100UG 0.2 mg/ml in 1X PBS with 0.1 mg/ml BSA (US sourced) and 0.05% sodium azide 100 ug 559
Image
V7735-20UG 0.2 mg/ml in 1X PBS with 0.1 mg/ml BSA (US sourced) and 0.05% sodium azide 20 ug 259
Image
V7735SAF-100UG 1 mg/ml in 1X PBS; BSA free, sodium azide free 100 ug 559
Microvalidated
Bulk quote request
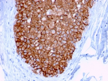
HER2 Antibody Breast Carcinoma Membrane IHC. Immunohistochemistry analysis of FFPE human breast carcinoma tissue using HER2 Antibody (clone ERBB2/3078) demonstrates strong HRP-DAB brown membranous staining outlining tumor epithelial cells, consistent with detection of ErbB2 / HER2 within an extracellular region of this cell surface receptor, while surrounding stromal tissue shows minimal signal; nuclei are counterstained blue. HIER: boil tissue sections in pH 9 10 mM Tris with 1 mM EDTA for 10-20 min and allow to cool before testing.
HER2 Antibody Breast Tumor Surface IHC. Immunohistochemistry analysis of FFPE human breast carcinoma tissue using HER2 Antibody (clone ERBB2/3078) highlights continuous HRP-DAB brown membranous staining across tumor cell clusters, emphasizing cell surface localization of ErbB2 / HER2 consistent with an antibody generated against an extracellular portion of the receptor, while adjacent stromal regions remain largely negative; nuclei are counterstained blue. HIER: boil tissue sections in pH 9 10 mM Tris with 1 mM EDTA for 10-20 min and allow to cool before testing.
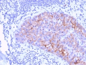
HER2 Antibody Breast Tumor Focal IHC. Immunohistochemistry analysis of FFPE human breast carcinoma tissue using HER2 Antibody (clone ERBB2/3078) demonstrates moderate to strong HRP-DAB brown membranous staining in focal tumor regions, consistent with variable ErbB2 / HER2 expression at the cell surface and detection within an extracellular region of the receptor, while surrounding stromal components show minimal background staining; nuclei are counterstained blue. HIER: boil tissue sections in pH 9 10 mM Tris with 1 mM EDTA for 10-20 min and allow to cool before testing.
HER2 Antibody Microarray Specificity Validation. Analysis of HuProt(TM) microarray containing more than 19,000 full-length human proteins using HER2 Antibody (clone ERBB2/3078) demonstrates highly specific detection of ErbB2 / HER2, a cell surface receptor with an extracellular domain targeted by this antibody. The antibody shows a dominant signal for ERBB2 with clear separation from other proteins on the array, supporting strong target specificity of clone ERBB2/3078. Z- and S-score: The Z-score represents the strength of signal generated when the antibody binds to a protein on the array, expressed as standard deviations above the mean signal, while the S-score reflects the difference between sequential Z-scores and indicates relative specificity compared to potential off-target interactions.
SDS-PAGE analysis of purified, BSA-free HER2 antibody (clone ERBB2/3078) as confirmation of integrity and purity.
Availability 1-3 business days
Species Reactivity Human
Format Purified
Host Mouse
Clonality Monoclonal (mouse origin)
Isotype Mouse IgG2b, kappa
Clone Name ERBB2/3078
Purity Protein G affinity chromatography
UniProt P04626
Localization Cell surface
Applications Immunohistochemistry (FFPE) : 1-2ug/ml
Limitations This HER2 Antibody / Extracellular Domain Antibody is available for research use only.
Review this product on BioCompare and get a $20 Amazon gift card

Related Products

Description

ErbB2 receptor tyrosine kinase 2 (ERBB2), also known as HER2, is a transmembrane receptor involved in cell signaling, proliferation, and tumor progression. HER2 Antibody / Extracellular Domain Antibody (clone ERBB2/3078) targets this protein and was generated against a region within amino acids 311-462 of HER2, corresponding to an extracellular portion of the receptor. HER2 antibody, also referred to as ErbB2 antibody and ERBB2 antibody in the literature, detects a key signaling receptor frequently studied in cancer biology and epithelial cell function. This antibody is part of a collection of Human Protein Microarray validated antibodies that have been screened for specificity across thousands of proteins.

Functionally, HER2 is a member of the epidermal growth factor receptor family and plays a central role in activating downstream signaling pathways such as PI3K/AKT and MAPK. These pathways regulate cell growth, survival, and differentiation. HER2 is unique among EGFR family members in that it does not require direct ligand binding and instead functions as a preferred dimerization partner, amplifying signaling activity through receptor interactions.

The extracellular region of HER2 is critical for receptor dimerization and interaction with other signaling partners. Antibodies generated against this portion of the protein are particularly useful for detecting membrane-associated HER2 in tissue sections, where receptor localization and density at the cell surface are key indicators of biological activity. In immunohistochemistry, HER2 is typically observed as strong membranous staining in tumor epithelial cells, reflecting its role as a cell surface receptor.

HER2 expression is frequently elevated in cancers such as breast carcinoma, where ERBB2 gene amplification leads to increased receptor density and enhanced signaling. In these tumors, HER2 detection is used to assess tumor characteristics and study receptor-driven pathways. Expression patterns may vary across tumor regions, with areas of strong membranous staining corresponding to higher receptor expression.

Structurally, HER2 consists of a large extracellular domain, a single transmembrane region, and an intracellular tyrosine kinase domain. The extracellular region mediates receptor interactions, while the intracellular domain drives downstream signaling through phosphorylation events. The ability to detect HER2 within this extracellular portion supports studies focused on receptor localization and cell surface expression.

Protein microarray validation demonstrates specific binding of this antibody to HER2 with minimal off-target interaction, supporting reliable detection of the intended target. Combined with strong immunohistochemistry performance in breast cancer tissue, this antibody provides robust detection of HER2 in studies of tumor biology and receptor expression.

For broad detection of HER2 (ErbB2) as a receptor tyrosine kinase, see our HER2 antibody.

Application Notes

Optimal dilution of the HER2 Antibody / Extracellular Domain Antibody should be determined by the researcher.

Immunogen

A recombinant human HER2 protein fragment within amino acids 311-462 was used as the immunogen for the HER2 antibody. Its epitope is localized in the extracellular domain.

Storage

Store the HER2 antibody at 2-8oC (with azide) or aliquot and store at -20oC or colder (without azide).

Alternate Names

HER2 antibody, ErbB2 antibody, ERBB2 antibody, HER2 extracellular domain antibody, ErbB2 extracellular region antibody

Cross
Bulk Quote Request Form
Name*:
Organization*:
Email*:
Phone Number*:
Catalog No.*:
Comments and Specifics(amount, formulation, etc.)*:
Validation code: Captchapackage Image


Can't read the image? click here to refresh.
    *required field

Your bulk quote request has been submitted successfully!

Please contact us if you have any questions.