• Tel: 858.663.9055
  • SeparatorEmail: info@nsjbio.com
  • Tel: 858.663.9055
  • Email: info@nsjbio.com
Home >> Antibodies >> HER2 Antibody / Receptor Tyrosine Kinase Antibody

HER2 Antibody / Receptor Tyrosine Kinase Antibody [clone ERBB2/3257] (V7563)

  Catalog No Formulation Size Price (USD)  
Image V7563-100UG 0.2 mg/ml in 1X PBS with 0.1 mg/ml BSA (US sourced) and 0.05% sodium azide 100 ug 559
Image
V7563-20UG 0.2 mg/ml in 1X PBS with 0.1 mg/ml BSA (US sourced) and 0.05% sodium azide 20 ug 259
Image
V7563SAF-100UG 1 mg/ml in 1X PBS; BSA free, sodium azide free 100 ug 559
Image
V7563IHC-7ML Prediluted in 1X PBS with 0.1 mg/ml BSA (US sourced) and 0.05% sodium azide; *For IHC use only* 7 ml 559
Microvalidated
Bulk quote request
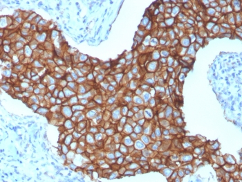
HER2 Antibody Breast Cancer IHC. Immunohistochemistry analysis of FFPE human breast carcinoma tissue using HER2 Antibody (clone ERBB2/3257) demonstrates strong HRP-DAB brown membranous staining outlining tumor epithelial cells, consistent with ErbB2 / HER2 overexpression as a receptor tyrosine kinase in breast cancer, while surrounding stromal tissue shows minimal signal; nuclei are counterstained blue. HIER: boil tissue sections in pH 6 10 mM citrate buffer for 10-20 min and allow to cool before testing.
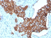
HER2 Antibody Breast Tumor Membrane IHC. Immunohistochemistry analysis of FFPE human breast carcinoma tissue using HER2 Antibody (clone ERBB2/3257) highlights intense, continuous HRP-DAB brown membranous staining across tumor cell clusters, emphasizing cell surface localization of ErbB2 / HER2 as a receptor tyrosine kinase, while adjacent stromal regions remain largely negative; nuclei are counterstained blue. HIER: boil tissue sections in pH 6 10 mM citrate buffer for 10-20 min and allow to cool before testing.
HER2 Antibody Microarray Specificity Validation. Analysis of HuProt(TM) microarray containing more than 19,000 full-length human proteins using HER2 Antibody (clone ERBB2/3257) demonstrates highly specific detection of ErbB2 / HER2, a receptor tyrosine kinase involved in oncogenic signaling pathways. The antibody shows a dominant signal for ERBB2 with clear separation from other proteins on the array, supporting strong target specificity of clone ERBB2/3257. Z- and S-score: The Z-score represents the strength of signal generated when the antibody binds to a protein on the array, expressed as standard deviations above the mean signal, while the S-score reflects the difference between sequential Z-scores and indicates relative specificity compared to potential off-target interactions.
SDS-PAGE analysis of purified, BSA-free HER2 antibody (clone ERBB2/3257) as confirmation of integrity and purity.
HER2 Antibody MCF7 FACS. Flow cytometry analysis of PFA-fixed human MCF7 cells using HER2 Antibody demonstrates a clear rightward shift in fluorescence intensity compared to isotype control, indicating cell surface expression of ErbB2 / HER2, consistent with its role as a receptor tyrosine kinase involved in epithelial cell signaling.
Availability 1-3 business days
Species Reactivity Human
Format Purified
Host Mouse
Clonality Monoclonal (mouse origin)
Isotype Mouse IgG2b, kappa
Clone Name ERBB2/3257
Purity Protein G affinity chromatography
UniProt P04626
Localization Cell surface
Applications Immunohistochemistry (FFPE) : 1-2ug/ml for 30 min at RT
Flow Cytometry : 1-2ug/million cells
Limitations This HER2 Antibody / Receptor Tyrosine Kinase Antibody is available for research use only.
Review this product on BioCompare and get a $20 Amazon gift card

Related Products

Description

ErbB2 receptor tyrosine kinase 2 (ERBB2), also known as HER2, is a transmembrane receptor tyrosine kinase encoded by the ERBB2 gene and widely expressed in epithelial and tumor tissues, where it plays a central role in cell signaling and growth regulation. HER2 Antibody / Receptor Tyrosine Kinase Antibody (clone ERBB2/3257) targets this protein, which is primarily localized to the cell membrane with additional cytoplasmic distribution reflecting receptor internalization and turnover. HER2 antibody, also referred to as ErbB2 antibody and ERBB2 antibody in the literature, detects a key signaling receptor involved in oncogenic pathways and cellular proliferation. This antibody is part of a collection of Human Protein Microarray validated antibodies that have been screened for specificity across thousands of proteins.

Functionally, HER2 is a member of the epidermal growth factor receptor (EGFR) family and participates in ligand-independent dimerization and activation of downstream signaling cascades, including the PI3K/AKT and MAPK pathways. These pathways regulate cell proliferation, survival, and differentiation. HER2 signaling is particularly important in cancer biology, where overexpression or amplification of ERBB2 leads to enhanced tumor growth and progression. This makes HER2 one of the most extensively studied receptor tyrosine kinases in oncology.

HER2 expression is commonly observed in epithelial tissues and is frequently elevated in cancers such as breast, gastric, and ovarian carcinoma. In tissue sections, immunohistochemical staining typically reveals strong membranous localization in tumor cells, reflecting its function as a cell surface receptor. In addition to tumor cells, HER2 expression may also be detected in normal epithelial structures at lower levels.

Structurally, HER2 consists of an extracellular ligand-binding domain, a single transmembrane region, and an intracellular tyrosine kinase domain responsible for signal transduction. Unlike other EGFR family members, HER2 does not have a known direct ligand and instead functions as a preferred dimerization partner, amplifying signaling through heterodimer formation. This property contributes to its potent signaling capacity in both normal and pathological conditions.

Altered HER2 expression is strongly associated with cancer progression and therapeutic response. HER2-positive tumors are characterized by aggressive growth and are targeted by specific therapies that inhibit receptor signaling. Beyond oncology, HER2 signaling contributes to normal tissue development and cellular communication.

Protein microarray validation demonstrates highly specific binding of this antibody to HER2 with minimal off-target interaction, supporting reliable detection of this receptor tyrosine kinase. Combined with immunohistochemistry and flow cytometry data, this antibody provides robust detection across multiple experimental applications.

For a full selection of HER2 antibodies for research applications, see our HER2 antibody page.

Application Notes

Optimal dilution of the HER2 Antibody / Receptor Tyrosine Kinase Antibody should be determined by the researcher.
1. The prediluted format is supplied in a dropper bottle and is optimized for use in IHC. After epitope retrieval step (if required), drip mAb solution onto the tissue section and incubate at RT for 30 min.

Immunogen

A recombinant human HER-2/ERBB2 protein fragment within amino acids 311-462 was used as the immunogen for the HER2 antibody.

Storage

Store the HER2 antibody at 2-8oC (with azide) or aliquot and store at -20oC or colder (without azide).

Alternate Names

HER2 antibody, ErbB2 antibody, ERBB2 antibody, HER2 receptor antibody, ErbB2 receptor tyrosine kinase antibody

Cross
Bulk Quote Request Form
Name*:
Organization*:
Email*:
Phone Number*:
Catalog No.*:
Comments and Specifics(amount, formulation, etc.)*:
Validation code: Captchapackage Image


Can't read the image? click here to refresh.
    *required field

Your bulk quote request has been submitted successfully!

Please contact us if you have any questions.