• Tel: 858.663.9055
  • SeparatorEmail: info@nsjbio.com
  • Tel: 858.663.9055
  • Email: info@nsjbio.com
Home >> Antibodies >> HER-2 Antibody / ErbB2

HER-2 Antibody / ErbB2 [clone ERBB2/3093] (V7877)

  Catalog No Formulation Size Price (USD)  
Image V7877-100UG 0.2 mg/ml in 1X PBS with 0.1 mg/ml BSA (US sourced) and 0.05% sodium azide 100 ug 559
Image
V7877-20UG 0.2 mg/ml in 1X PBS with 0.1 mg/ml BSA (US sourced) and 0.05% sodium azide 20 ug 259
Image
V7877SAF-100UG 1 mg/ml in 1X PBS; BSA free, sodium azide free 100 ug 559
Microvalidated
Bulk quote request
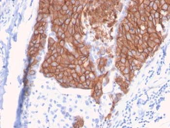
HER2 Antibody Breast Tumor Dense Membrane IHC. Immunohistochemistry analysis of FFPE human breast carcinoma tissue using HER-2 Antibody (clone ERBB2/3093) demonstrates intense, continuous HRP-DAB brown membranous staining in densely packed tumor cell regions, emphasizing high surface expression of ErbB2 / HER2 as a receptor tyrosine kinase, while surrounding stromal components show minimal background staining; nuclei are counterstained blue. HIER: boil tissue sections in pH 9 10 mM Tris with 1 mM EDTA for 10-20 min and allow to cool before testing.
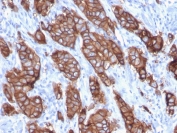
HER2 Antibody Breast Carcinoma Tubular IHC. Immunohistochemistry analysis of FFPE human breast carcinoma tissue using HER-2 Antibody (clone ERBB2/3093) demonstrates strong HRP-DAB brown membranous staining along elongated, tubular tumor structures, consistent with ErbB2 / HER2 expression as a cell surface receptor, while surrounding stromal tissue shows minimal signal; nuclei are counterstained blue. HIER: boil tissue sections in pH 9 10 mM Tris with 1 mM EDTA for 10-20 min and allow to cool before testing.
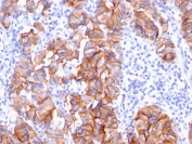
HER2 Antibody Breast Tumor Patchy IHC. Immunohistochemistry analysis of FFPE human breast carcinoma tissue using HER-2 Antibody (clone ERBB2/3093) highlights patchy yet distinct HRP-DAB brown membranous staining across tumor cell groups, reflecting variable ErbB2 / HER2 expression within the tumor microenvironment, while adjacent stromal regions remain largely negative; nuclei are counterstained blue. HIER: boil tissue sections in pH 9 10 mM Tris with 1 mM EDTA for 10-20 min and allow to cool before testing.
Analysis of HuProt(TM) microarray containing more than 19,000 full-length human proteins using HER-2 antibody (clone ERBB2/3093). These results demonstrate the foremost specificity of the ERBB2/3093 mAb.
Z- and S- score: The Z-score represents the strength of a signal that an antibody (in combination with a fluorescently-tagged anti-IgG secondary Ab) produces when binding to a particular protein on the HuProt(TM) array. Z-scores are described in units of standard deviations (SD's) above the mean value of all signals generated on that array. If the targets on the HuProt(TM) are arranged in descending order of the Z-score, the S-score is the difference (also in units of SD's) between the Z-scores. The S-score therefore represents the relative target specificity of an Ab to its intended target.
SDS-PAGE analysis of purified, BSA-free HER-2 antibody (clone ERBB2/3093) as confirmation of integrity and purity.
Availability 1-3 business days
Species Reactivity Human
Format Purified
Host Mouse
Clonality Monoclonal (mouse origin)
Isotype Mouse IgG2b, kappa
Clone Name ERBB2/3093
Purity Protein G affinity chromatography
UniProt P04626
Applications Immunohistochemistry (FFPE) : 1-2ug/ml
Limitations This HER-2 antibody is available for research use only.
Review this product on BioCompare and get a $20 Amazon gift card

Related Products

Description

HER-2 antibody targets ErbB2, a transmembrane receptor tyrosine kinase encoded by the ERBB2 gene and also widely referred to as HER2, HER-2, and human epidermal growth factor receptor 2. ErbB2 is a member of the epidermal growth factor receptor family and plays a central role in regulating cell proliferation, survival, and differentiation through activation of downstream signaling pathways. Unlike other family members, HER-2 lacks a known ligand and functions primarily through heterodimerization with other ErbB receptors, amplifying growth factor signaling responses.

ErbB2 is predominantly localized to the cell membrane, where HER-2 participates in receptor complex formation and signal transduction. Upon activation, HER-2-containing receptor dimers trigger intracellular cascades such as MAPK and PI3K-AKT signaling, leading to transcriptional programs that promote cell growth and survival. HER-2 antibody detection therefore supports studies of receptor tyrosine kinase signaling and growth factor-driven cellular responses.

Physiologically, ErbB2 expression is involved in normal epithelial development and tissue maintenance. However, aberrant overexpression or amplification of the ERBB2 gene results in constitutive signaling activity that disrupts normal growth control. Elevated HER-2 expression has been extensively studied in cancer biology, where it is associated with aggressive tumor behavior and altered cellular differentiation states. HER-2 antibody reagents are commonly used to examine ErbB2 expression patterns and signaling status in research models.

Altered ErbB2 activity has been implicated in multiple disease contexts, particularly in epithelial-derived cancers. Dysregulated HER-2 signaling contributes to enhanced proliferation, resistance to apoptosis, and changes in cell adhesion and migration. These features make HER-2 a critical focus of studies investigating oncogenic signaling pathways and receptor-driven disease mechanisms.

Clone ERBB2/3093 is designed to recognize ErbB2 in research applications. HER-2 antibody reagents are suitable for detecting membrane-associated HER-2 expression and supporting studies focused on receptor tyrosine kinase biology, signal transduction, and disease-associated alterations in ERBB2 signaling.

For broad detection of HER2 (ErbB2) as a receptor tyrosine kinase, see our HER2 antibody.

Application Notes

Optimal dilution of the HER-2 antibody should be determined by the researcher.

Immunogen

A recombinant human HER2 protein fragment within amino acids 311-462 was used as the immunogen for the HER-2 antibody. Its epitope is localized in the extracellular domain.

Storage

Store the HER-2 antibody at 2-8oC (with azide) or aliquot and store at -20oC or colder (without azide).

Cross
Bulk Quote Request Form
Name*:
Organization*:
Email*:
Phone Number*:
Catalog No.*:
Comments and Specifics(amount, formulation, etc.)*:
Validation code: Captchapackage Image


Can't read the image? click here to refresh.
    *required field

Your bulk quote request has been submitted successfully!

Please contact us if you have any questions.