• Tel: 858.663.9055
  • SeparatorEmail: info@nsjbio.com
  • Tel: 858.663.9055
  • Email: info@nsjbio.com
Home >> Antibodies >> HER-2 Antibody / ErbB2

HER-2 Antibody / ErbB2 [clone ERBB2/3080] (V7876)

  Catalog No Formulation Size Price (USD)  
Image V7876-100UG 0.2 mg/ml in 1X PBS with 0.1 mg/ml BSA (US sourced) and 0.05% sodium azide 100 ug 559
Image
V7876-20UG 0.2 mg/ml in 1X PBS with 0.1 mg/ml BSA (US sourced) and 0.05% sodium azide 20 ug 259
Image
V7876SAF-100UG 1 mg/ml in 1X PBS; BSA free, sodium azide free 100 ug 559
Microvalidated
Bulk quote request
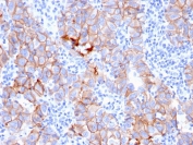
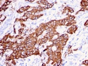
HER-2 Antibody FFPE Human Breast Cancer Tissue IHC. Immunohistochemistry analysis of FFPE human breast carcinoma tissue using HER-2 antibody (clone ERBB2/3080). Brown chromogenic signal indicates HER-2-positive membranous staining in tumor epithelial cell clusters. Heat-induced epitope retrieval was performed by boiling tissue sections in pH 9 10mM Tris with 1mM EDTA for 10–20 minutes, followed by cooling prior to antibody incubation.
HER-2 Antibody Breast Carcinoma Cluster IHC. Immunohistochemistry analysis of FFPE human breast carcinoma tissue using HER-2 Antibody (clone ERBB2/3080) demonstrates strong HRP-DAB brown membranous staining in compact tumor cell clusters, consistent with ErbB2 / HER2 expression as a cell surface receptor, while surrounding stromal tissue shows minimal signal; nuclei are counterstained blue. HIER: boil tissue sections in pH 9 10 mM Tris with 1 mM EDTA for 10-20 min and allow to cool before testing.
HER-2 Antibody Breast Tumor Glandular IHC. Immunohistochemistry analysis of FFPE human breast carcinoma tissue using HER-2 Antibody (clone ERBB2/3080) highlights prominent HRP-DAB brown membranous staining along gland-like tumor structures, emphasizing surface localization of ErbB2 / HER2 within epithelial tumor architecture, while adjacent stromal regions remain largely negative; nuclei are counterstained blue. HIER: boil tissue sections in pH 9 10 mM Tris with 1 mM EDTA for 10-20 min and allow to cool before testing.
HER-2 Antibody Breast Tumor Heterogeneous IHC. Immunohistochemistry analysis of FFPE human breast carcinoma tissue using HER-2 Antibody (clone ERBB2/3080) demonstrates variable HRP-DAB brown membranous staining intensity across tumor regions, reflecting heterogeneous ErbB2 / HER2 expression within the tumor microenvironment, while stromal components show minimal background staining; nuclei are counterstained blue. HIER: boil tissue sections in pH 9 10 mM Tris with 1 mM EDTA for 10-20 min and allow to cool before testing.
Analysis of HuProt(TM) microarray containing more than 19,000 full-length human proteins using HER-2 antibody (clone ERBB2/3080). These results demonstrate the foremost specificity of the ERBB2/3080 mAb.
Z- and S- score: The Z-score represents the strength of a signal that an antibody (in combination with a fluorescently-tagged anti-IgG secondary Ab) produces when binding to a particular protein on the HuProt(TM) array. Z-scores are described in units of standard deviations (SD's) above the mean value of all signals generated on that array. If the targets on the HuProt(TM) are arranged in descending order of the Z-score, the S-score is the difference (also in units of SD's) between the Z-scores. The S-score therefore represents the relative target specificity of an Ab to its intended target.
SDS-PAGE analysis of purified, BSA-free HER-2 antibody (clone ERBB2/3080) as confirmation of integrity and purity.
Availability 1-3 business days
Species Reactivity Human
Format Purified
Host Mouse
Clonality Monoclonal (mouse origin)
Isotype Mouse IgG2b, kappa
Clone Name ERBB2/3080
Purity Protein G affinity chromatography
UniProt P04626
Localization Cell surface
Applications Immunohistochemistry (FFPE) : 1-2ug/ml
Limitations This HER-2 antibody is available for research use only.
Review this product on BioCompare and get a $20 Amazon gift card

Related Products

Description

HER-2 antibody (cloe ERBB2/3080) targets ErbB2, a single-pass transmembrane receptor belonging to the ErbB family of receptor tyrosine kinases that regulate epithelial cell signaling intensity and duration. Unlike other family members, HER-2 does not require direct ligand binding for activation and instead acts as a preferred dimerization partner, amplifying downstream signaling cascades when overexpressed. This property makes ErbB2 a critical modulator of growth factor responsiveness and cellular signal integration in epithelial tissues. This antibody is part of a collection of Human Protein Microarray validated antibodies that have been screened for specificity across thousands of proteins.

At the cellular level, ErbB2 localizes predominantly to the plasma membrane, where receptor clustering and dimer formation drive activation of intracellular kinase domains. These events initiate signaling through pathways such as MAPK and PI3K-AKT, influencing proliferation, survival, and metabolic activity. Under physiological conditions, HER-2 expression is tightly regulated to prevent excessive signal propagation. Dysregulation through gene amplification or transcriptional upregulation disrupts this balance and contributes to oncogenic transformation.

HER-2 overexpression is most extensively studied in breast carcinoma, where tumor cells display prominent circumferential membranous staining reflecting high receptor density at the cell surface. This pattern distinguishes HER-2-driven tumors from those with low-level or heterogeneous receptor expression and provides a useful biological readout of receptor status in experimental models. Beyond breast cancer, altered ErbB2 signaling has been reported in additional epithelial malignancies, supporting its broader relevance in cancer biology.

This HER-2 antibody is suitable for research applications involving the detection of ErbB2 expression and localization in tissue sections. Membranous staining patterns observed with HER-2 antibodies align with the receptor’s established role as a surface signaling molecule. Use of this antibody supports investigation of ErbB2-associated signaling dynamics, epithelial tumor architecture, and receptor-driven disease mechanisms across relevant experimental systems.

For broad detection of HER2 (ErbB2) as a receptor tyrosine kinase, see our HER2 antibody.

Application Notes

Optimal dilution of the HER-2 antibody should be determined by the researcher.

Immunogen

A recombinant human HER2 protein fragment within amino acids 311-462 was used as the immunogen for the HER-2 antibody. Its epitope is localized in the extracellular domain.

Storage

Store the HER-2 antibody at 2-8oC (with azide) or aliquot and store at -20oC or colder (without azide).

Cross
Bulk Quote Request Form
Name*:
Organization*:
Email*:
Phone Number*:
Catalog No.*:
Comments and Specifics(amount, formulation, etc.)*:
Validation code: Captchapackage Image


Can't read the image? click here to refresh.
    *required field

Your bulk quote request has been submitted successfully!

Please contact us if you have any questions.