• Tel: 858.663.9055
  • SeparatorEmail: info@nsjbio.com
  • Tel: 858.663.9055
  • Email: info@nsjbio.com
Home >> Antibodies >> Hepatocyte specific antigen Antibody / CPS1

Hepatocyte specific antigen Antibody / CPS1 [clone CPS1/13326R] (V5865)

  Catalog No Formulation Size Price (USD)  
Image V5865-100UG 0.2 mg/ml in 1X PBS with 0.05% BSA, 0.05% sodium azide 100 ug 559
Image
V5865-20UG 0.2 mg/ml in 1X PBS with 0.05% BSA, 0.05% sodium azide 20 ug 259
Image
V5865SAF-100UG 1 mg/ml in 1X PBS; BSA free, sodium azide free 100 ug 559
Microvalidated Recrabbitmono
Bulk quote request
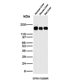
CPS1 Antibody Hepatocyte Marker WB. Western blot analysis of Carbamoyl Phosphate Synthetase 1 / CPS1 in human, mouse, and rat liver tissue lysates using hepatocyte specific antigen CPS1 antibody, clone CPS1/13326R. A band is detected at approximately 165 kDa across all species, consistent with the predicted molecular weight of CPS1 and supporting its use as a hepatocyte-associated marker in liver tissue.
CPS1 Antibody Hepatocyte Specificity WB. Western blot analysis of Carbamoyl Phosphate Synthetase 1 / CPS1 across human tissue lysates including brain, heart, intestine, kidney, liver, lung, pancreas, skeletal muscle, skin, spleen, and stomach using hepatocyte specific antigen CPS1 antibody, clone CPS1/13326R. A prominent band is detected at approximately 165 kDa exclusively in the liver lysate, consistent with the predicted molecular weight of CPS1 and supporting its highly hepatocyte-enriched expression profile with minimal detection in non-hepatic tissues.
Western blot analysis of human liver tissue lysates using Hepatocyte specific antigen/CPS1 antibody (clone CPS1/13326R). Predicted molecular weight ~165 kDa.
CPS1 Antibody Hepatic Expression IHC. Immunohistochemistry of Carbamoyl Phosphate Synthetase 1 / CPS1 in FFPE human hepatocellular carcinoma tissue using hepatocyte specific antigen CPS1 antibody, clone CPS1/13326R. Strong, diffuse HRP-DAB brown cytoplasmic staining highlights tumor cells of hepatocellular origin, consistent with mitochondrial localization of this urea cycle enzyme and supporting its use as a hepatocyte-associated marker, while surrounding stromal elements show minimal background and nuclei are counterstained blue. Inset: PBS was used in place of primary antibody as a negative control to confirm specificity of staining. Heat induced epitope retrieval was performed in 10 mM Tris with 1 mM EDTA, pH 9, for 45 minutes at 95oC followed by cooling at room temperature for 20 minutes.
SDS-PAGE Analysis of purified Hepatocyte specific antigen/CPS1 antibody (clone CPS1/13326R). Confirmation of Purity and Integrity of Antibody.
Species Reactivity Human, Mouse, Rat
Format Purified
Host Rabbit
Clonality Recombinant Rabbit Monoclonal
Isotype Rabbit IgG, kappa
Clone Name CPS1/13326R
Purity Protein A affinity
UniProt P31327
Localization Cytoplasm
Applications Immunohistochemistry (FFPE) : 1-2ug/ml
Western Blot : 2-4ug/ml
Limitations This Hepatocyte specific antigen/CPS1 antibody is available for research use only.
Review this product on BioCompare and get a $20 Amazon gift card

Related Products

Description

Hepatocyte specific antigen antibody targets Carbamoyl-phosphate synthase 1 (CPS1), a mitochondrial enzyme that catalyzes the first and rate-limiting step of the urea cycle. Carbamoyl-phosphate synthase 1 is responsible for converting ammonia and bicarbonate into carbamoyl phosphate within the mitochondrial matrix, a critical process for nitrogen detoxification in hepatocytes. Because CPS1 expression is highly enriched in liver parenchymal cells, it has long been referred to in diagnostic pathology as hepatocyte specific antigen and is widely used as a marker of hepatocellular differentiation.

Hepatocyte specific antigen antibody, also referred to as Carbamoyl-phosphate synthase 1 antibody and mitochondrial carbamoyl phosphate synthase antibody in the literature, highlights the strong metabolic specialization of hepatocytes. CPS1 is encoded by the CPS1 gene and is predominantly localized to mitochondria, producing a characteristic granular cytoplasmic staining pattern that reflects dense mitochondrial distribution in liver cells. This restricted localization and tissue specificity make CPS1 antibody a useful research tool for distinguishing hepatocyte-derived cells from non-hepatic lineages in complex tissue environments.

Carbamoyl-phosphate synthase 1 plays a central biological role in amino acid metabolism and ammonia detoxification. Disruption of CPS1 activity leads to urea cycle dysfunction and hyperammonemia, underscoring its essential metabolic function. Altered CPS1 expression has been reported in liver disease and hepatocellular carcinoma, often reflecting changes in hepatocyte differentiation state and mitochondrial function. Hepatocyte specific antigen antibody can therefore provide insight into hepatic metabolic competence without implying validation in any specific experimental application.

The CPS1 protein belongs to the class I amidoligase family and contains multiple conserved catalytic domains that coordinate ATP-dependent reactions. Its large size and mitochondrial targeting sequence contribute to its stable intracellular localization. Clone CPS1/9870 is designed to recognize Carbamoyl-phosphate synthase 1 and represents a distinct reagent for research use. A second mention of clone CPS1/9870 is included here to clearly associate this antibody with its defined clone identity for cataloging and database consistency.

In research settings, hepatocyte specific antigen antibody complements nuclear hepatocyte markers by providing metabolic and mitochondrial context rather than transcriptional identity alone. Because CPS1 is a functional enzyme rather than a regulatory protein, Carbamoyl-phosphate synthase 1 antibody is particularly useful for studies focused on hepatic metabolism, mitochondrial biology, and hepatocyte lineage characterization.

For a validated reference of CPS1 expression in liver and hepatocellular tumors, see the CPS1 antibody clone CPS1/9859 with supporting IHC and western blot data.

Application Notes

1. Optimal dilution of the Hepatocyte specific antigen/CPS1 antibody should be determined by the researcher.

2. This Hepatocyte specific antigen/CPS1 antibody is recombinantly produced by expression in CHO cells.

Immunogen

Recombinant full-length human CPS1 protein was used as the immunogen for the Hepatocyte specific antigen/CPS1 antibody.

Storage

Hepatocyte specific antigen/CPS1 antibody with sodium azide - store at 2 to 8oC; antibody without sodium azide - store at -20 to -80oC.

Cross
Bulk Quote Request Form
Name*:
Organization*:
Email*:
Phone Number*:
Catalog No.*:
Comments and Specifics(amount, formulation, etc.)*:
Validation code: Captchapackage Image


Can't read the image? click here to refresh.
    *required field

Your bulk quote request has been submitted successfully!

Please contact us if you have any questions.