• Tel: 858.663.9055
  • SeparatorEmail: info@nsjbio.com
  • Tel: 858.663.9055
  • Email: info@nsjbio.com
Home >> Antibodies >> Hepatocyte nuclear factor 1 beta Antibody / HNF1B

Hepatocyte nuclear factor 1 beta Antibody / HNF1B [clone HNF1B/9518] (V6007)

  Catalog No Formulation Size Price (USD)  
Image V6007-100UG 0.2 mg/ml in 1X PBS with 0.05% BSA, 0.05% sodium azide 100 ug 559
Image
V6007-20UG 0.2 mg/ml in 1X PBS with 0.05% BSA, 0.05% sodium azide 20 ug 259
Image
V6007SAF-100UG 1 mg/ml in 1X PBS; BSA free, sodium azide free 100 ug 559
Bulk quote request
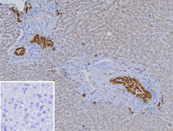
Immunohistochemistry analysis of Hepatocyte nuclear factor 1 beta/HNF1B antibody in human liver carcinoma tissue (clone HNF1B/9519). FFPE human liver carcinoma sections demonstrate HRP-DAB brown nuclear staining in clusters of tumor epithelial cells, consistent with nuclear localization of Hepatocyte nuclear factor 1 beta. Surrounding non-neoplastic hepatocytes show comparatively weaker or absent staining. The inset shows PBS used in place of primary antibody as a secondary antibody negative control, demonstrating absence of specific brown staining. Heat induced epitope retrieval was performed in 10 mM Tris with 1 mM EDTA, pH 9.0, by heating tissue sections at 95oC for 45 minutes followed by cooling at room temperature for 20 minutes prior to antibody incubation.
SDS-PAGE Analysis of Purified Hepatocyte nuclear factor 1 beta/HNF1B antibody (HNF1B/9519). Confirmation of Purity and Integrity of Antibody.
Species Reactivity Human
Format Purified
Host Mouse
Clonality Monoclonal (mouse origin)
Isotype Mouse IgG2a, kappa
Clone Name HNF1B/9518
UniProt P35680
Localization Nucleus
Applications Immunohistochemistry (FFPE) : 1-2ug/ml
Limitations This Hepatocyte nuclear factor 1 beta/HNF1B antibody is available for research use only.
Review this product on BioCompare and get a $20 Amazon gift card

Related Products

  • Applications : IHC
    Reactivity : Human
  • Applications : WB
    Reactivity : Human, Mouse, Rat
  • Applications : WB, ELISA
    Reactivity : Human
    Pred. Reactivity : Mouse, Rat
  • Applications : WB, ELISA (peptide)
    Reactivity : Human
    Pred. Reactivity : Cow, Dog, Mouse, Pig, Rat, Zebrafish
  • Applications : WB
    Reactivity : Human, Rat

Description

Hepatocyte nuclear factor 1 beta antibody, also known as HNF1B antibody, recognizes a homeodomain-containing transcription factor encoded by the human HNF1B gene located on chromosome 17q12. HNF1B is a member of the HNF1 family of transcription regulators and is predominantly localized to the nucleus, where it controls gene expression programs essential for epithelial differentiation and organ development. Hepatocyte nuclear factor 1 beta antibody is widely used in research examining renal, pancreatic, and hepatobiliary biology as well as epithelial lineage specification.

HNF1B contains a dimerization domain, a POU-specific DNA-binding domain, and a transactivation domain that enables transcriptional activation of target genes. It functions as a homodimer or heterodimer with HNF1 alpha and binds specific promoter regions to regulate genes involved in glucose metabolism, ion transport, and epithelial polarity. During embryogenesis, HNF1B plays a critical role in nephrogenesis, pancreatic duct development, and biliary tract formation. Hepatocyte nuclear factor 1 beta antibody supports investigation of transcriptional regulation and developmental gene networks.

HNF1B expression is strongly detected in renal tubular epithelial cells, bile duct epithelium, pancreatic ductal cells, and select reproductive tract epithelia. Alterations in HNF1B have been associated with renal cysts and diabetes syndrome and congenital anomalies of the kidney and urinary tract. In tumor research, nuclear HNF1B expression has been studied in ovarian clear cell carcinoma and certain renal neoplasms, where it serves as a lineage-associated marker in research settings. Hepatocyte nuclear factor 1 beta antibody enables evaluation of nuclear localization and epithelial differentiation status in normal and neoplastic tissues.

Beyond developmental roles, HNF1B regulates genes involved in metabolic homeostasis and epithelial transport function. Dysregulation of HNF1B activity may contribute to metabolic abnormalities and structural defects in affected organs. Clone HNF1B/9518 is designed to recognize HNF1B for research applications. This antibody targets Hepatocyte nuclear factor 1 beta in research settings and supports studies of transcriptional control, epithelial biology, and organ-specific gene regulation.

Application Notes

Optimal dilution of the Hepatocyte nuclear factor 1 beta/HNF1B antibody should be determined by the researcher.

Immunogen

A recombinant fragment (around amino acids 1-200) of human HNF1B protein (exact sequence is proprietary) was used as the immunogen for the Hepatocyte nuclear factor 1 beta/HNF1B antibody.

Storage

Hepatocyte nuclear factor 1 beta/HNF1B antibody with sodium azide - store at 2 to 8oC; antibody without sodium azide - store at -20 to -80oC.

Cross
Bulk Quote Request Form
Name*:
Organization*:
Email*:
Phone Number*:
Catalog No.*:
Comments and Specifics(amount, formulation, etc.)*:
Validation code: Captchapackage Image


Can't read the image? click here to refresh.
    *required field

Your bulk quote request has been submitted successfully!

Please contact us if you have any questions.