• Tel: 858.663.9055
  • SeparatorEmail: info@nsjbio.com
  • Tel: 858.663.9055
  • Email: info@nsjbio.com
Home >> Antibodies >> Hepatitis B Virus Antibody / HBV (Large S Protein)

Hepatitis B Virus Antibody / HBV (Large S Protein) (R32633)

  Catalog No Formulation Size Price (USD)  
Image R32633 0.5mg/ml if reconstituted with 0.2ml sterile DI water 100 ug 449
Bulk quote request
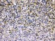
Hepatitis B Virus Antibody Human Liver Cancer IHC. Immunohistochemistry testing of FFPE human liver cancer tissue with Hepatitis B Virus antibody at 0.5ug/ml. HIER: steam section in pH6 citrate buffer for 20 min and allow to cool prior to testing.
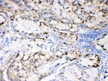
Hepatitis B Virus Antibody Hepatitis B+ Tissue IHC. Immunohistochemistry testing of FFPE human Hepatitis B+ tissue with Hepatitis B Virus antibody at 0.5ug/ml. HIER: steam section in pH6 citrate buffer for 20 min and allow to cool prior to testing.
Availability 1-3 business days
Species Reactivity Hepatitis B Virus (Human)
Format Antigen affinity purified
Host Rabbit
Clonality Polyclonal (rabbit origin)
Isotype Rabbit IgG
Purity Antigen affinity
Buffer Lyophilized from 1X PBS with 2.5% BSA, 0.025% sodium azide
UniProt D2X4M3
Applications Western Blot : 0.5-1ug/ml
Immunohistochemistry (FFPE) : 1-2ug/ml
Limitations This Hepatitis B Virus antibody is available for research use only.
Review this product on BioCompare and get a $20 Amazon gift card

Description

Hepatitis B Virus antibody detects Hepatitis B virus, abbreviated HBV, a species of the genus Orthohepadnavirus, which is likewise a part of the Hepadnaviridae family of viruses. This virus causes the disease hepatitis B. It consists of HBsAg, HBcAg (HBeAg is a splice variant), Hepatitis B virus DNA polymerase and HBx. Among these, HBsAg (also known as the Australia antigen) is the surface antigen of the hepatitis B virus (HBV). It indicates current hepatitis B infection. The viral envelope of an enveloped virus has different surface proteins from the rest of the virus which act as antigens. These antigens are recognized by antibody proteins that bind specifically to one of these surface proteins.

This Hepatitis B Virus antibody page is part of a broader antibody panel offered by NSJ Bioreagents.

Application Notes

Optimal dilution of the Hepatitis B Virus antibody should be determined by the researcher.

Immunogen

Amino acids 4-51 (WSSKPRQGMGTNLSVPNPLGFFPDHQLDPAFGANSNNPDWDFNPNKDQ) from the human HBV Large S protein were used as the immunogen for the Hepatitis B Virus antibody.

Storage

After reconstitution, the Hepatitis B Virus antibody can be stored for up to one month at 4oC. For long-term, aliquot and store at -20oC. Avoid repeated freezing and thawing.

Cross
Bulk Quote Request Form
Name*:
Organization*:
Email*:
Phone Number*:
Catalog No.*:
Comments and Specifics(amount, formulation, etc.)*:
Validation code: Captchapackage Image


Can't read the image? click here to refresh.
    *required field

Your bulk quote request has been submitted successfully!

Please contact us if you have any questions.