• Tel: 858.663.9055
  • SeparatorEmail: info@nsjbio.com
  • Tel: 858.663.9055
  • Email: info@nsjbio.com
Home >> Antibodies >> Heme Oxygenase 2 Antibody / HO-2 / HMOX2

Heme Oxygenase 2 Antibody / HO-2 / HMOX2 (R31626)

  Catalog No Formulation Size Price (USD)  
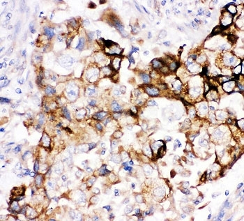
Image R31626 0.5mg/ml if reconstituted with 0.2ml sterile DI water 100 ug 449
Bulk quote request
IHC staining of FFPE human ovarian serous adenocarcinoma tissue with Heme Oxygenase 2 antibody. HIER: boil tissue sections in pH8 EDTA buffer for 20 min and allow to cool before testing.
IHC staining of FFPE human lung adenocarcinoma tissue with Heme Oxygenase 2 antibody. HIER: boil tissue sections in pH8 EDTA buffer for 20 min and allow to cool before testing.
IHC staining of FFPE human thyroid cancer tissue with Heme Oxygenase 2 antibody. HIER: boil tissue sections in pH8 EDTA buffer for 20 min and allow to cool before testing.
IHC staining of FFPE human colorectal adenocarcinoma tissue with Heme Oxygenase 2 antibody. HIER: boil tissue sections in pH8 EDTA buffer for 20 min and allow to cool before testing.
IHC staining of FFPE human appendix mucinous adenocarcinoma tissue with Heme Oxygenase 2 antibody. HIER: boil tissue sections in pH8 EDTA buffer for 20 min and allow to cool before testing.
Western blot testing of 1) human Jurkat, 2) human HeLa, 3) human K562, 4) human PANC-1, 5) rat PC-12 and 6) mouse RAW264.7 cell lysate with Heme Oxygenase 2 antibody. Predicted molecular weight ~36 kDa.
Availability 1-3 business days
Species Reactivity Human, Mouse, Rat
Format Antigen affinity purified
Host Rabbit
Clonality Polyclonal (rabbit origin)
Isotype Rabbit IgG
Purity Antigen affinity
Buffer Lyophilized from 1X PBS with 2% Trehalose
UniProt P30519
Gene ID 3163
Localization Cytoplasm
Applications Western Blot : 0.5-1ug/ml
Immunohistochemistry (FFPE) : 2-5ug/ml
Limitations This Heme Oxygenase 2 antibody is available for research use only.
Review this product on BioCompare and get a $20 Amazon gift card

Related Products

Description

Heme oxygenase 2, also known as HO-2, is an enzyme that in humans is encoded by the HMOX2 gene. It is mapped to 16p13.3. Heme oxygenases cleaves the heme ring at the alpha methene bridge to form biliverdin. Biliverdin is subsequently converted to bilirubin by biliverdin reductase. Under physiological conditions, the activity of heme oxygenase is highest in the spleen, where senescent erythrocytes are sequestrated and destroyed. Heme oxygenase 2 could be implicated in the production of carbon monoxide in brain where it could act as a neurotransmitter.

Application Notes

The stated application concentrations are suggested starting amounts. Titration of the Heme Oxygenase 2 antibody may be required due to differences in protocols and secondary/substrate sensitivity.

Immunogen

Human partial recombinant protein (AA 2-316) was used as the immunogen for this Heme Oxygenase 2 antibody.

Storage

After reconstitution, the Heme Oxygenase 2 antibody can be stored for up to one month at 4oC. For long-term, aliquot and store at -20oC. Avoid repeated freezing and thawing.

Cross
Bulk Quote Request Form
Name*:
Organization*:
Email*:
Phone Number*:
Catalog No.*:
Comments and Specifics(amount, formulation, etc.)*:
Validation code: Captchapackage Image


Can't read the image? click here to refresh.
    *required field

Your bulk quote request has been submitted successfully!

Please contact us if you have any questions.