• Tel: 858.663.9055
  • SeparatorEmail: info@nsjbio.com
  • Tel: 858.663.9055
  • Email: info@nsjbio.com
Home >> Antibodies >> Helicobacter pylori Antibody (Catalase)

Helicobacter pylori Antibody (Catalase) [clone HPYL/7226] (V9762)

  Catalog No Formulation Size Price (USD)  
Image V9762-100UG 0.2 mg/ml in 1X PBS with 0.1 mg/ml BSA (US sourced), 0.05% sodium azide 100 ug 559
Image
V9762-20UG 0.2 mg/ml in 1X PBS with 0.1 mg/ml BSA (US sourced), 0.05% sodium azide 20 ug 259
Image
V9762SAF-100UG 1 mg/ml in 1X PBS; BSA free, sodium azide free 100 ug 559
Bulk quote request
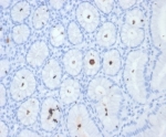
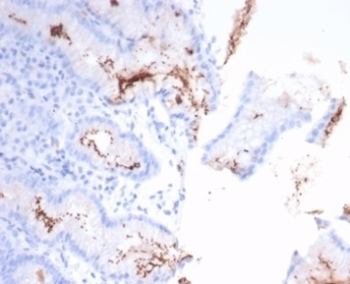
IHC staining of H. pylori-infected FFPE human stomach tissue with Helicobacter pylori antibody (clone HPYL/7226). HIER: boil tissue sections in pH 9 10mM Tris with 1mM EDTA for 20 min and allow to cool before testing.
IHC staining of FFPE H. pylori-infected human stomach tissue with Helicobacter pylori antibody (clone HPYL/7226). HIER: boil tissue sections in pH 9 10mM Tris with 1mM EDTA for 20 min and allow to cool before testing.
Availability 1-3 business days
Species Reactivity Helicobacter pylori
Format Purified
Host Mouse
Clonality Monoclonal (mouse origin)
Isotype Mouse IgG2b, kappa
Clone Name HPYL/7226
Purity Protein A/G affinity
Localization Cell surface, Cytoplasm
Applications Immunohistochemistry (FFPE) : 1-2ug/ml
Limitations This Helicobacter pylori antibody is available for research use only.
Review this product on BioCompare and get a $20 Amazon gift card

Related Products

Description

The spiral shaped bacterium Helicobacter pylori is strongly associated with inflammation of the stomach and is also implicated in the development of gastric malignancy. H. pylori is known to cause peptic ulcers and chronic gastritis in human. It is associated with duodenal ulcers and may be involved in development of adenocarcinoma and low-grade lymphoma of mucosa associated lymphoid tissue in the stomach. This antibody stains the individual H. pylori bacterium when it presents on the surface of the epithelium or in the cytoplasm of the epithelial cells in biopsy tissue sections from the antrum and body of the stomach.

Application Notes

Optimal dilution of the Helicobacter pylori antibody should be determined by the researcher.

Immunogen

A portion of amino acids 323-445 from the Helicobacter pylori Catalase protein was used as the immunogen for the Helicobacter pylori antibody.

Storage

Aliquot the Helicobacter pylori antibody and store frozen at -20oC or colder. Avoid repeated freeze-thaw cycles.

Cross
Bulk Quote Request Form
Name*:
Organization*:
Email*:
Phone Number*:
Catalog No.*:
Comments and Specifics(amount, formulation, etc.)*:
Validation code: Captchapackage Image


Can't read the image? click here to refresh.
    *required field

Your bulk quote request has been submitted successfully!

Please contact us if you have any questions.