• Tel: 858.663.9055
  • SeparatorEmail: info@nsjbio.com
  • Tel: 858.663.9055
  • Email: info@nsjbio.com
Home >> Antibodies >> HEBP1 Antibody / Heme-binding protein 1

HEBP1 Antibody / Heme-binding protein 1 (RQ8839)

  Catalog No Formulation Size Price (USD)  
Image RQ8839 0.5mg/ml if reconstituted with 0.2ml sterile DI water 100 ug 449
Bulk quote request
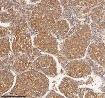
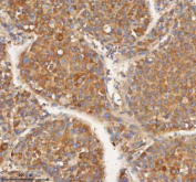
IHC staining of FFPE human liver cancer tissue with HEBP1 antibody. HIER: boil tissue sections in pH8 EDTA for 20 min and allow to cool before testing.
IHC staining of FFPE human liver cancer tissue with HEBP1 antibody. HIER: boil tissue sections in pH8 EDTA for 20 min and allow to cool before testing.
Immunofluorescent staining of FFPE human HeLa cells with HEBP1 antibody (red) and DAPI nuclear stain (blue). HIER: steam section in pH6 citrate buffer for 20 min.
Western blot testing of 1) human A549, 2) human SiHa, 3) human HCCT, 4) human HCCP, 5) rat liver and 6) mouse liver tissue lysate with HEBP1 antibody. Predicted molecular weight ~21 kDa.
Flow cytometry testing of fixed and permeabilized human A549 cells with HEBP1 antibody at 1ug/million cells (blocked with goat sera); Red=cells alone, Green=isotype control, Blue= HEBP1 antibody.
Availability 1-3 days
Species Reactivity Human, Mouse, Rat
Format Antigen affinity purified
Host Rabbit
Clonality Polyclonal (rabbit origin)
Isotype Rabbit IgG
Purity Antigen affinity chromatography
Buffer Lyophilized from 1X PBS with 2% Trehalose
UniProt Q9NRV9
Localization Cytoplasm
Applications Western Blot : 1-2ug/ml
Immunohistochemistry (FFPE) : 2-5ug/ml
Immunofluorescence : 5ug/ml
Flow Cytometry : 1-3ug/million cells
ELISA : 0.1-0.5ug/ml
Limitations This HEBP1 antibody is available for research use only.
Review this product on BioCompare and get a $20 Amazon gift card

Description

Heme binding protein 1 is a protein that in humans is encoded by the HEBP1 gene. The full-length protein encoded by this gene is an intracellular tetrapyrrole-binding protein. This protein includes a natural chemoattractant peptide of 21 amino acids at the N-terminus, which is a natural ligand for formyl peptide receptor-like receptor 2 (FPRL2) and promotes calcium mobilization and chemotaxis in monocytes and dendritic cells.

Application Notes

Optimal dilution of the HEBP1 antibody should be determined by the researcher.

Immunogen

An E.coli-derived human recombinant protein (amino acids K40-R162) was used as the immunogen for the HEBP1 antibody.

Storage

After reconstitution, the HEBP1 Antibody can be stored for up to one month at 4oC. For long-term, aliquot and store at -20oC. Avoid repeated freezing and thawing.

Cross
Bulk Quote Request Form
Name*:
Organization*:
Email*:
Phone Number*:
Catalog No.*:
Comments and Specifics(amount, formulation, etc.)*:
Validation code: Captchapackage Image


Can't read the image? click here to refresh.
    *required field

Your bulk quote request has been submitted successfully!

Please contact us if you have any questions.