• Tel: 858.663.9055
  • SeparatorEmail: info@nsjbio.com
  • Tel: 858.663.9055
  • Email: info@nsjbio.com
Home >> Antibodies >> Heat shock factor protein 1 Antibody / HSF1

Heat shock factor protein 1 Antibody / HSF1 (RQ7274)

  Catalog No Formulation Size Price (USD)  
Image RQ7274 0.5mg/ml if reconstituted with 0.2ml sterile DI water 100 ug 449
Bulk quote request
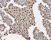
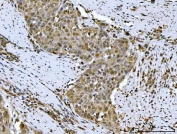
IHC staining of FFPE human tonsil tissue with Heat shock factor protein 1 antibody. HIER: boil tissue sections in pH8 EDTA for 20 min and allow to cool before testing.
IHC staining of FFPE human squamous cell carcinoma of the cervix with Heat shock factor protein 1 antibody. HIER: boil tissue sections in pH8 EDTA for 20 min and allow to cool before testing.
IHC staining of FFPE human esophageal squamous carcinoma tissue with Heat shock factor protein 1 antibody. HIER: boil tissue sections in pH8 EDTA for 20 min and allow to cool before testing.
IHC staining of FFPE human lung cancer tissue with Heat shock factor protein 1 antibody. HIER: boil tissue sections in pH8 EDTA for 20 min and allow to cool before testing.
Western blot testing of human 1) HeLa, 2) K562, 3) MCF7, 4) MOLT4 and 5) 293T cell lysate with Heat shock factor protein 1 antibody. Predicted molecular weight ~57 kDa, observed molecular weight: 75-80 kDa.
Flow cytometry testing of human MCF7 cells with Heat shock factor protein 1 antibody at 1ug/million cells (blocked with goat sera); Red=cells alone, Green=isotype control, Blue= Heat shock factor protein 1 antibody.
Availability 1-3 business days
Species Reactivity Human
Format Antigen affinity purified
Host Rabbit
Clonality Polyclonal (rabbit origin)
Isotype Rabbit IgG
Purity Antigen affinity purified
Buffer Lyophilized from 1X PBS with 2% Trehalose
UniProt Q00613
Localization Cytoplasmic, nuclear
Applications Western Blot : 0.5-1ug/ml
Immunohistochemistry (FFPE) : 2-5ug/ml
Flow Cytometry : 1-3ug/million cells
Limitations This Heat shock factor protein 1 antibody is available for research use only.
Review this product on BioCompare and get a $20 Amazon gift card

Related Products

Description

HSF1 (HEAT-SHOCK TRANSCRIPTION FACTOR 1), also called HEAT-SHOCK FACTOR 1, is a protein that in humans is encoded by the HSF1 gene. The product of HSF1 gene is a heat-shock transcription factor. The International Radiation Hybrid Mapping Consortium maps the HSF1 gene to chromosome 8. HSF1 exists as an inactive monomer in a complex with Hsp40/Hsp70 and Hsp90. Upon stress, such as elevated temperature, HSF1 is released from the chaperone complex and trimerizes. HSF1 is then transported into the nucleus where it is hyperphosphorylated and binds to DNA containing heat shock elements. HSF1's target genes include major inducible heat shock proteins such as Hsp72, and interestingly, noncoding RNA within Satellite III repeat regions. In a novel in vitro system human HSF1 can be activated by nonnative protein, heat, and geldanamycin. HSR1 is constitutively expressed in human and rodent cells and its homologs are functionally interchangeable. Furthermore, Hsf1-deficient mice had a longer free-running period than wildtype littermates.

Application Notes

Optimal dilution of the Heat shock factor protein 1 antibody should be determined by the researcher.

Immunogen

Amino acids KQLVHYTAQPLFLLDP were used as the immunogen for the Heat shock factor protein 1 antibody.

Storage

After reconstitution, the Heat shock factor protein 1 antibody can be stored for up to one month at 4oC. For long-term, aliquot and store at -20oC. Avoid repeated freezing and thawing.

Cross
Bulk Quote Request Form
Name*:
Organization*:
Email*:
Phone Number*:
Catalog No.*:
Comments and Specifics(amount, formulation, etc.)*:
Validation code: Captchapackage Image


Can't read the image? click here to refresh.
    *required field

Your bulk quote request has been submitted successfully!

Please contact us if you have any questions.