• Tel: 858.663.9055
  • SeparatorEmail: info@nsjbio.com
  • Tel: 858.663.9055
  • Email: info@nsjbio.com
Home >> Antibodies >> HE4 Antibody / WFDC2

HE4 Antibody / WFDC2 (RQ4465)

  Catalog No Formulation Size Price (USD)  
Image RQ4465 0.5mg/ml if reconstituted with 0.2ml sterile DI water 100 ug 449
Bulk quote request
Western blot testing of 1) human HeLa, 2) human MDA-MB-231, 3) human MDA-MB-451, 4) rat thymus, 5) mouse testis and 6) mouse thymus lysate with HE4 antibody at 0.5ug/ml. Predicted molecular weight: 13-25 depending on glycosylation level.
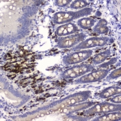
IHC testing of FFPE rat small intestine tissue with HE4 antibody at 0.5ug/ml. HIER: boil tissue sections in pH6, 10mM citrate buffer, for 10-20 min followed by cooling at RT for 20 min.
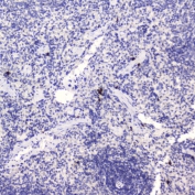
IHC testing of FFPE rat spleen tissue with HE4 antibody at 0.5ug/ml. HIER: boil tissue sections in pH6, 10mM citrate buffer, for 10-20 min followed by cooling at RT for 20 min.
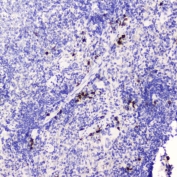
IHC testing of FFPE mouse spleen tissue with HE4 antibody at 0.5ug/ml. HIER: boil tissue sections in pH6, 10mM citrate buffer, for 10-20 min followed by cooling at RT for 20 min.
Availability 1-3 business days
Species Reactivity Human, Mouse, Rat
Format Antigen affinity purified
Host Rabbit
Clonality Polyclonal (rabbit origin)
Isotype Rabbit IgG
Purity Antigen affinity
Buffer Lyophilized from 1X PBS with 2% Trehalose and 0.025% sodium azide
UniProt Q14508
Localization Secreted, cytoplasmic
Applications Western Blot : 0.5-1ug/ml
Immunohistochemistry (FFPE) : 1-2ug/ml
Direct ELISA : 0.1-0.5ug/ml (human recombinant protein)
Limitations This HE4 antibody is available for research use only.
Review this product on BioCompare and get a $20 Amazon gift card

Related Products

  • Applications : WB (transfected), ELISA (peptide)
    Reactivity : Human
    Pred. Reactivity : Dog
  • Applications : WB, ELISA
    Reactivity : Human
  • Applications : WB, IHC-P
    Reactivity : Mouse, Rat

Description

WAP four-disulfide core domain protein 2, also known as Human Epididymis Protein 4 (HE4), is a protein that in humans is encoded by the WFDC2 gene. This gene encodes a protein that is a member of the WFDC domain family. The WFDC domain, or WAP Signature motif, contains eight cysteines forming four disulfide bonds at the core of the protein, and functions as a protease inhibitor in many family members. This gene is expressed in pulmonary epithelial cells, and was also found to be expressed in some ovarian cancers. The encoded protein is a small secretory protein, which may be involved in sperm maturation.

Application Notes

Optimal dilution of the HE4 antibody should be determined by the researcher.

Immunogen

Human recombinant protein (amino acids E31-F124) was used as the immunogen for the HE4 antibody.

Storage

After reconstitution, the HE4 antibody can be stored for up to one month at 4oC. For long-term, aliquot and store at -20oC. Avoid repeated freezing and thawing.

Cross
Bulk Quote Request Form
Name*:
Organization*:
Email*:
Phone Number*:
Catalog No.*:
Comments and Specifics(amount, formulation, etc.)*:
Validation code: Captchapackage Image


Can't read the image? click here to refresh.
    *required field

Your bulk quote request has been submitted successfully!

Please contact us if you have any questions.