• Tel: 858.663.9055
  • SeparatorEmail: info@nsjbio.com
  • Tel: 858.663.9055
  • Email: info@nsjbio.com
Home >> Antibodies >> HDHD5 Antibody / Haloacid dehalogenase-like hydrolase domain-containing 5

HDHD5 Antibody / Haloacid dehalogenase-like hydrolase domain-containing 5 (RQ8779)

  Catalog No Formulation Size Price (USD)  
Image RQ8779 0.5mg/ml if reconstituted with 0.2ml sterile DI water 100 ug 449
Bulk quote request
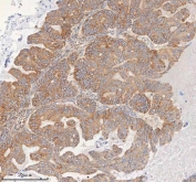
IHC staining of FFPE human ovarian tumor tissue with HDHD5 antibody. HIER: boil tissue sections in pH8 EDTA for 20 min and allow to cool before testing.
IHC staining of FFPE human ovarian tumor tissue with HDHD5 antibody. HIER: boil tissue sections in pH8 EDTA for 20 min and allow to cool before testing.
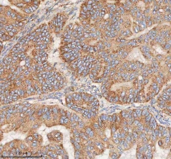
IHC staining of FFPE human testicular seminoma tissue with HDHD5 antibody. HIER: boil tissue sections in pH8 EDTA for 20 min and allow to cool before testing.
IHC staining of FFPE human testicular seminoma tissue with HDHD5 antibody. HIER: boil tissue sections in pH8 EDTA for 20 min and allow to cool before testing.
IHC staining of FFPE human cervix squamous cell carcinoma tissue with HDHD5 antibody. HIER: boil tissue sections in pH8 EDTA for 20 min and allow to cool before testing.
IHC staining of FFPE human cervix squamous cell carcinoma tissue with HDHD5 antibody. HIER: boil tissue sections in pH8 EDTA for 20 min and allow to cool before testing.
IHC staining of FFPE mouse cerebral cortex tissue with HDHD5 antibody. HIER: boil tissue sections in pH8 EDTA for 20 min and allow to cool before testing.
IHC staining of FFPE mouse hippocampus tissue with HDHD5 antibody. HIER: boil tissue sections in pH8 EDTA for 20 min and allow to cool before testing.
IHC staining of FFPE rat cerebral cortex tissue with HDHD5 antibody. HIER: boil tissue sections in pH8 EDTA for 20 min and allow to cool before testing.
IHC staining of FFPE rat hippocampus tissue with HDHD5 antibody. HIER: boil tissue sections in pH8 EDTA for 20 min and allow to cool before testing.
Western blot testing of 1) human Caco-2, 2) human 293T, 3) human Jurkat, 4) rat brain and 5) mouse brain tissue lysate with HDHD5 antibody. Predicted molecular weight ~46 kDa.
Flow cytometry testing of fixed and permeabilized human JK cells with HDHD5 antibody at 1ug/million cells (blocked with goat sera); Red=cells alone, Green=isotype control, Blue= HDHD5 antibody.
Availability 1-3 days
Species Reactivity Human, Mouse, Rat
Format Antigen affinity purified
Host Rabbit
Clonality Polyclonal (rabbit origin)
Isotype Rabbit IgG
Purity Antigen affinity chromatography
Buffer Lyophilized from 1X PBS with 2% Trehalose
UniProt Q9BXW7
Localization Cytoplasm (Mitochondria)
Applications Western Blot : 1-2ug/ml
Immunohistochemistry (FFPE) : 2-5ug/ml
Flow Cytometry : 1-3ug/million cells
ELISA : 0.1-0.5ug/ml
Limitations This HDHD5 antibody is available for research use only.
Review this product on BioCompare and get a $20 Amazon gift card

Related Products

Description

Haloacid dehalogenase-like hydrolase domain-containing 5 (HDHD5), also called Cat eye syndrome critical region protein 5 (CECR5), is a candidate gene for the Cat Eye Syndrome (CES), a developmental disorder associated with the duplication of a 2 Mb region of 22q11.2. Duplication usually takes in the form of a surpernumerary bisatellited isodicentric chromosome, resulting in four copies of the region (represents an inv dup22(q11)). CES is characterized clinically by the combination of coloboma of the iris and anal atresia with fistula, downslanting palpebral fissures, preauricular tags and/or pits, frequent occurrence of heart and renal malformations, and normal or near-normal mental development. [UniProt]

Application Notes

Optimal dilution of the HDHD5 antibody should be determined by the researcher.

Immunogen

An E.coli-derived human recombinant protein (amino acids A12-E423) was used as the immunogen for the HDHD5 antibody.

Storage

After reconstitution, the HDHD5 Antibody can be stored for up to one month at 4oC. For long-term, aliquot and store at -20oC. Avoid repeated freezing and thawing.

Cross
Bulk Quote Request Form
Name*:
Organization*:
Email*:
Phone Number*:
Catalog No.*:
Comments and Specifics(amount, formulation, etc.)*:
Validation code: Captchapackage Image


Can't read the image? click here to refresh.
    *required field

Your bulk quote request has been submitted successfully!

Please contact us if you have any questions.