• Tel: 858.663.9055
  • SeparatorEmail: info@nsjbio.com
  • Tel: 858.663.9055
  • Email: info@nsjbio.com
Home >> Antibodies >> HDHD2 Antibody / Haloacid dehalogenase-like hydrolase domain-containing protein 2

HDHD2 Antibody / Haloacid dehalogenase-like hydrolase domain-containing protein 2 (RQ8861)

  Catalog No Formulation Size Price (USD)  
Image RQ8861 0.5mg/ml if reconstituted with 0.2ml sterile DI water 100 ug 449
Bulk quote request
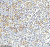
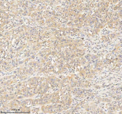
IHC staining of FFPE human testicular seminoma tissue with HDHD2 antibody. HIER: boil tissue sections in pH8 EDTA for 20 min and allow to cool before testing.
IHC staining of FFPE human testicular seminoma tissue with HDHD2 antibody. HIER: boil tissue sections in pH8 EDTA for 20 min and allow to cool before testing.
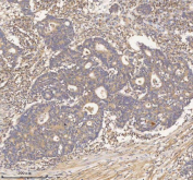
IHC staining of FFPE human pancreas ductal adenocarcinoma tissue with HDHD2 antibody. HIER: boil tissue sections in pH8 EDTA for 20 min and allow to cool before testing.
IHC staining of FFPE human pancreas ductal adenocarcinoma tissue with HDHD2 antibody. HIER: boil tissue sections in pH8 EDTA for 20 min and allow to cool before testing.
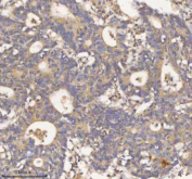
IHC staining of FFPE human colon adenocarcinoma tissue with HDHD2 antibody. HIER: boil tissue sections in pH8 EDTA for 20 min and allow to cool before testing.
IHC staining of FFPE human colon adenocarcinoma tissue with HDHD2 antibody. HIER: boil tissue sections in pH8 EDTA for 20 min and allow to cool before testing.
Western blot testing of 1) human Jurkat, 2) human ThP-1, 3) human K562, 4) human HEL, 5) rat kidney, 6) rat brain, 7) mouse kidney and 8) mouse brain tissue lysate with HDHD2 antibody. Predicted molecular weight ~28 kDa.
Flow cytometry testing of fixed human JK cells with HDHD2 antibody at 1ug/million cells (blocked with goat sera); Red=cells alone, Green=isotype control, Blue= HDHD2 antibody.
Availability 1-2 days
Species Reactivity Human, Mouse, Rat
Format Antigen affinity purified
Host Rabbit
Clonality Polyclonal (rabbit origin)
Isotype Rabbit IgG
Purity Antigen affinity chromatography
Buffer Lyophilized from 1X PBS with 2% Trehalose
UniProt Q9H0R4
Localization Cytoplasm
Applications Western Blot : 1-2ug/ml
Immunohistochemistry (FFPE) : 2-5ug/ml
Flow Cytometry : 1-3ug/million cells
ELISA : 0.1-0.5ug/ml
Limitations This HDHD2 antibody is available for research use only.
Review this product on BioCompare and get a $20 Amazon gift card

Description

Haloacid dehalogenase-like hydrolase domain-containing protein 2is anenzymethat in humans is encoded by theHDHD2gene. HDHD2 (haloacid dehalogenase-like hydrolase domain containing 2) is also known as DKFZp564D1378and is a 259 amino acid protein that is expressed as two isoforms produced by alternative splicing. HDHD2 belongs to the HAD-like hydrolase superfamily, which contains a group of hydrolase enzymes.

Application Notes

Optimal dilution of the HDHD2 antibody should be determined by the researcher.

Immunogen

An E.coli-derived human recombinant protein (amino acids M1-L259) was used as the immunogen for the HDHD2 antibody.

Storage

After reconstitution, the HDHD2 antibody can be stored for up to one month at 4oC. For long-term, aliquot and store at -20oC. Avoid repeated freezing and thawing.

Cross
Bulk Quote Request Form
Name*:
Organization*:
Email*:
Phone Number*:
Catalog No.*:
Comments and Specifics(amount, formulation, etc.)*:
Validation code: Captchapackage Image


Can't read the image? click here to refresh.
    *required field

Your bulk quote request has been submitted successfully!

Please contact us if you have any questions.