• Tel: 858.663.9055
  • SeparatorEmail: info@nsjbio.com
  • Tel: 858.663.9055
  • Email: info@nsjbio.com
Home >> Antibodies >> HDGFL2 Antibody / Hepatoma-derived growth factor-related protein 2

HDGFL2 Antibody / Hepatoma-derived growth factor-related protein 2 (RQ8795)

  Catalog No Formulation Size Price (USD)  
Image RQ8795 0.5mg/ml if reconstituted with 0.2ml sterile DI water 100 ug 449
Bulk quote request
Immunofluorescent staining of FFPE human A549 cells with HDGFL2 antibody (red) and DAPI nuclear stain (blue). HIER: steam section in pH6 citrate buffer for 20 min.
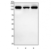
Western blot testing of human 1) PC-3, 2) SH-SY5Y and 3) HepG2 cell lysate with HDGFL2 antibody. Predicted molecular weight ~74 kDa, commonly observed at 74-120 kDa.
Flow cytometry testing of fixed and permeabilized human PC-3 cells with HDGFL2 antibody at 1ug/million cells (blocked with goat sera); Red=cells alone, Green=isotype control, Blue= HDGFL2 antibody.
Availability 1-3 days
Species Reactivity Human
Format Antigen affinity purified
Host Rabbit
Clonality Polyclonal (rabbit origin)
Isotype Rabbit IgG
Purity Antigen affinity chromatography
Buffer Lyophilized from 1X PBS with 2% Trehalose
UniProt Q7Z4V5
Localization Nuclear, cytoplasmic
Applications Western Blot : 1-2ug/ml
Immunofluorescence : 5ug/ml
Flow Cytometry : 1-3ug/million cells
ELISA : 0.1-0.5ug/ml
Limitations This HDGFL2 antibody is available for research use only.
Review this product on BioCompare and get a $20 Amazon gift card

Description

This gene encodes a member of the hepatoma-derived growth factor (HDGF) family. The protein includes an N-terminal PWWP domain that binds to methyl-lysine-containing histones, with specific binding of this protein to tri-methylated lysines 36 and 79 of histone H3, and di- and tri-methylated lysine 20 of histone H4. The protein functions in LEDGF/p75-independent HIV-1 replication by determining HIV-1 integration site selection. Alternative splicing of this gene results in multiple transcript variants.

Application Notes

Optimal dilution of the HDGFL2 antibody should be determined by the researcher.

Immunogen

An E.coli-derived human recombinant protein (amino acids E472-K563) was used as the immunogen for the HDGFL2 antibody.

Storage

After reconstitution, the HDGFL2 Antibody can be stored for up to one month at 4oC. For long-term, aliquot and store at -20oC. Avoid repeated freezing and thawing.

Cross
Bulk Quote Request Form
Name*:
Organization*:
Email*:
Phone Number*:
Catalog No.*:
Comments and Specifics(amount, formulation, etc.)*:
Validation code: Captchapackage Image


Can't read the image? click here to refresh.
    *required field

Your bulk quote request has been submitted successfully!

Please contact us if you have any questions.