• Tel: 858.663.9055
  • SeparatorEmail: info@nsjbio.com
  • Tel: 858.663.9055
  • Email: info@nsjbio.com
Home >> Antibodies >> HDAC6 Antibody

HDAC6 Antibody (R32342)

  Catalog No Formulation Size Price (USD)  
Image R32342 0.5mg/ml if reconstituted with 0.2ml sterile DI water 100 ug 449
Bulk quote request
Flow cytometry testing of fixed and permeabilized human K562 cells with HDAC6 antibody at 1ug/million cells (blocked with goat sera); Red=cells alone, Green=isotype control, Blue= HDAC6 antibody.
Western blot testing of 1) human K562, 2) human HepG2, 3) human SH-SY5Y, 4) rat brain and 5) mouse brain tissue lysate with HDAC6 antibody. Expected molecular weight 130~160 kDa.
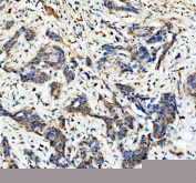
IHC staining of FFPE human breast cancer tissue with HDAC6 antibody, HRP-secondary and DAB substrate. HIER: boil tissue sections in pH8 EDTA for 20 min and allow to cool before testing.
IHC staining of FFPE human breast cancer tissue with HDAC6 antibody, HRP-secondary and DAB substrate. HIER: boil tissue sections in pH8 EDTA for 20 min and allow to cool before testing.
Availability 1-3 business days
Species Reactivity Human, Mouse, Rat
Format Antigen affinity purified
Host Rabbit
Clonality Polyclonal (rabbit origin)
Isotype Rabbit IgG
Purity Antigen affinity
Buffer Lyophilized from 1X PBS with 2% Trehalose
UniProt Q9UBN7
Applications Western Blot : 0.5-1ug/ml
Flow Cytometry : 1-3ug/million cells
Immunohistochemistry (FFPE) : 2-5ug/ml
Limitations This HDAC6 antibody is available for research use only.
Review this product on BioCompare and get a $20 Amazon gift card

Related Products

  • Applications : FACS, IF
    Reactivity : Human
    Microvalidated
  • Applications : WB
    Reactivity : Human
  • Applications : IHC, WB, ELISA
    Reactivity : Human, Mouse
  • Applications : WB, ELISA (peptide)
    Reactivity : Human, Mouse
    Pred. Reactivity : Cow, Dog, Rat

Description

HDAC6 (Histone deacetylase 6) is a unique member of the histone deacetylase family, distinguished by its predominantly cytoplasmic localization and ability to target non-histone proteins. Unlike nuclear HDACs that primarily regulate chromatin structure and transcription, HDAC6 deacetylates proteins such as α-tubulin, HSP90, and cortactin, thereby influencing cell motility, stress response, and protein degradation. Researchers often use an HDAC6 antibody to study cytoskeletal dynamics, chaperone function, and protein quality control pathways.

Structurally, HDAC6 contains two catalytic deacetylase domains and a zinc finger ubiquitin-binding domain (ZnF-UBP), enabling it to couple deacetylation activity with ubiquitin-dependent processes. It plays a central role in the aggresome-autophagy pathway, where misfolded proteins are transported and degraded, maintaining cellular homeostasis. Employing an HDAC6 antibody allows scientists to investigate its role in protein turnover, vesicle transport, and stress granule formation.

HDAC6 is also implicated in diverse pathological conditions. Its dysregulation has been linked to cancer progression, neurodegenerative disorders such as Alzheimer's and Parkinson's disease, and immune-related processes. Because of its multifunctional role in cytoskeletal regulation and protein degradation, HDAC6 is being actively studied as a therapeutic target, with inhibitors under development for cancer and neurological disease treatment. Using an HDAC6 antibody provides a powerful tool for exploring these processes in health and disease.

NSJ Bioreagents offers a high-quality HDAC6 antibody validated for applications including western blot, immunofluorescence, and immunohistochemistry. Selecting an HDAC6 antibody from NSJ Bioreagents ensures accurate detection and reproducibility in studies of cytoplasmic deacetylation, protein degradation, and disease biology.

Application Notes

Optimal dilution of the HDAC6 antibody should be determined by the researcher.

Immunogen

Amino acids EKEELMLVHSLEYIDLMETTQYMNEGELRVLAD of human HDAC6 were used as the immunogen for the HDAC6 antibody.

Storage

After reconstitution, the HDAC6 antibody can be stored for up to one month at 4oC. For long-term, aliquot and store at -20oC. Avoid repeated freezing and thawing.

Cross
Bulk Quote Request Form
Name*:
Organization*:
Email*:
Phone Number*:
Catalog No.*:
Comments and Specifics(amount, formulation, etc.)*:
Validation code: Captchapackage Image


Can't read the image? click here to refresh.
    *required field

Your bulk quote request has been submitted successfully!

Please contact us if you have any questions.