• Tel: 858.663.9055
  • SeparatorEmail: info@nsjbio.com
  • Tel: 858.663.9055
  • Email: info@nsjbio.com
Home >> Antibodies >> HDAC5 Antibody

HDAC5 Antibody (RQ4959)

  Catalog No Formulation Size Price (USD)  
Image RQ4959 0.5mg/ml if reconstituted with 0.2ml sterile DI water 100 ug 449
Bulk quote request
Western blot testing of human 1) HeLa, 2) placenta, 3) ThP-1, 4) K562, 5) PC-3 and 6) Caco-2 lysate with HDAC5 antibody at 0.5ug/ml. Predicted molecular weight ~122 kDa, observed at 122-160 kDa.
Western blot testing of 1) rat heart, 2) rat liver, 3) rat stomach, 4) rat ovary, 5) mouse heart, 6) mouse liver, 7) mouse stomach, 8) mouse ovary and 9) mouse NIH3T3 lysate with HDAC5 antibody at 0.5ug/ml. Predicted molecular weight ~122 kDa, observed at 122-160 kDa.
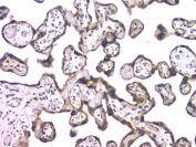
IHC staining of FFPE human placental tissue with HDAC5 antibody at 1ug/ml. HIER: boil tissue sections in pH6, 10mM citrate buffer, for 10-20 min and allow to cool before testing.
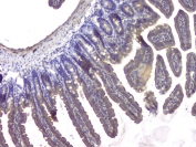
IHC staining of FFPE mouse intestine with HDAC5 antibody at 1ug/ml. HIER: boil tissue sections in pH6, 10mM citrate buffer, for 10-20 min and allow to cool before testing.
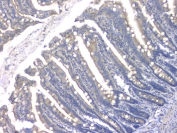
IHC staining of FFPE rat intestine with HDAC5 antibody at 1ug/ml. HIER: boil tissue sections in pH6, 10mM citrate buffer, for 10-20 min and allow to cool before testing.
Availability 1-3 business days
Species Reactivity Human, Mouse, Rat
Format Antigen affinity purified
Host Rabbit
Clonality Polyclonal (rabbit origin)
Isotype Rabbit IgG
Purity Antigen affinity purified
Buffer Lyophilized from 1X PBS with 2% Trehalose and 0.025% sodium azide
UniProt Q9UQL6
Localization Cytoplasmic, nuclear
Applications Western Blot : 0.5-1ug/ml
Immunohistochemistry (FFPE) : 1-2ug/ml
Direct ELISA : 0.1-0.5ug/ml
Limitations This HDAC5 antibody is available for research use only.
Review this product on BioCompare and get a $20 Amazon gift card

Related Products

  • Applications : WB
    Reactivity : Human, Mouse, Rat
  • Applications : WB, IHC-P, IF, FACS, Direct ELISA
    Reactivity : Human, Mouse, Rat

Description

Histone deacetylase 5, also called HDAC5 or KIAA0600, is an enzyme that in humans is encodes by the HDAC5 gene. The protein encoded by this gene belongs to the class II histone deacetylase/acuc/apha family. This gene is mapped to 17q21.31. Histones play a critical role in transcriptional regulation, cell cycle progression, and developmental events. Histone acetylation/deacetylation alters chromosome structure and affects transcription factor access to DNA. It possesses histone deacetylase activity and represses transcription when tethered to a promoter. It coimmunoprecipitates only with HDAC3 family member and might form multicomplex proteins. It also interacts with myocyte enhancer factor-2 (MEF2) proteins, resulting in repression of MEF2-dependent genes. This gene is thought to be associated with colon cancer.

Application Notes

Optimal dilution of the HDAC5 antibody should be determined by the researcher.

Immunogen

Amino acids H102-E197 from the human protein were used as the immunogen for the HDAC5 antibody.

Storage

After reconstitution, the HDAC5 antibody can be stored for up to one month at 4oC. For long-term, aliquot and store at -20oC. Avoid repeated freezing and thawing.

Cross
Bulk Quote Request Form
Name*:
Organization*:
Email*:
Phone Number*:
Catalog No.*:
Comments and Specifics(amount, formulation, etc.)*:
Validation code: Captchapackage Image


Can't read the image? click here to refresh.
    *required field

Your bulk quote request has been submitted successfully!

Please contact us if you have any questions.