• Tel: 858.663.9055
  • SeparatorEmail: info@nsjbio.com
  • Tel: 858.663.9055
  • Email: info@nsjbio.com
Home >> Antibodies >> HCG-beta Antibody

HCG-beta Antibody [clone CGB63] (V7020)

  Catalog No Formulation Size Price (USD)  
Image V7020-100UG 0.2 mg/ml in 1X PBS with 0.1 mg/ml BSA (US sourced) and 0.05% sodium azide 100 ug 559
Image
V7020-20UG 0.2 mg/ml in 1X PBS with 0.1 mg/ml BSA (US sourced) and 0.05% sodium azide 20 ug 259
Image
V7020SAF-100UG 1 mg/ml in 1X PBS; BSA free, sodium azide free 100 ug 559
Image
V7020IHC-7ML Prediluted in 1X PBS with 0.1 mg/ml BSA (US sourced) and 0.05% sodium azide; *For IHC use only* 7 ml 559
Bulk quote request
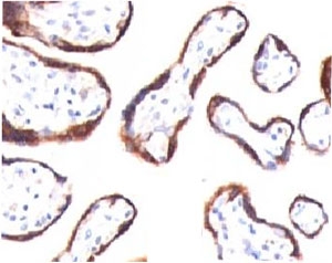
IHC testing of FFPE human placenta and HCG-beta antibody (CGB63). HIER: boil tissue sections in pH 9 10mM Tris with 1mM EDTA for 10-20 min followed by cooling at RT for 20 min.
Species Reactivity Human
Format Purified
Host Mouse
Clonality Monoclonal (mouse origin)
Isotype Mouse IgG1, kappa
Clone Name CGB63
Purity Protein G affinity chromatography
Buffer 1X PBS, pH 7.4
Gene ID 1082
Localization Cytoplasmic, Secreted
Applications Immunohistochemistry (FFPE) : 1-2ug/ml for 30 min at RT (1)
Prediluted IHC Only Format : incubate for 30 min at RT (2)
Limitations This HCG-beta antibody is available for research use only.
Review this product on BioCompare and get a $20 Amazon gift card

Related Products

Description

This antibody reacts with a protein of 22kDa, identified as beta subunit of HCG. It does not cross react with the alpha subunit. HCG is a glycoprotein which is secreted in large quantities by normal trophoblasts. It is present only in trace amounts in non-pregnant urine and sera but rises sharply during pregnancy. HCG is composed of two non-identical, non-covalently linked polypeptide chains designated as the alpha and beta subunits. The alpha subunit is identical to that of thyroid stimulating hormone (TSH), follicle stimulating hormone (FSH), and luteinizing hormone (LH). HCG-beta antibody detects cells and tumors of trophoblastic origin such as choriocarcinoma. Large cell carcinoma and adenocarcinoma of the lung demonstrate antibody positivity in 90% and 60% of cases respectively; 20% of lung squamous cell carcinomas are positive. HCG expression by non-trophoblastic tumors may indicate aggressive behavior.

Application Notes

The concentration stated for each application is a general starting point. Variations in protocols, secondaries and substrates may require the HCG-beta antibody to be titered up or down for optimal performance.

1. The prediluted format is supplied in a dropper bottle and is optimized for use in IHC. After epitope retrieval step (if required), drip mAb solution onto the tissue section and incubate at RT for 30 min.

Immunogen

Recombinant protein was used as the immunogen for this HCG-beta antibody.

Storage

Store the HCG-beta antibody at 2-8oC (with azide) or aliquot and store at -20oC or colder (without azide).

Alternate Names

CG-beta; CGB3; CGB5; CGB7; CGB8; Choriogonadotropin Subunit beta; hCGB, hCG-beta antibody

Cross
Bulk Quote Request Form
Name*:
Organization*:
Email*:
Phone Number*:
Catalog No.*:
Comments and Specifics(amount, formulation, etc.)*:
Validation code: Captchapackage Image


Can't read the image? click here to refresh.
    *required field

Your bulk quote request has been submitted successfully!

Please contact us if you have any questions.