• Tel: 858.663.9055
  • SeparatorEmail: info@nsjbio.com
  • Tel: 858.663.9055
  • Email: info@nsjbio.com
Home >> Antibodies >> HBEGF Antibody / DT-R - Diphtheria Toxin Receptor and EGFR Ligand Marker

HBEGF Antibody / DT-R - Diphtheria Toxin Receptor and EGFR Ligand Marker (RQ7309)

  Catalog No Formulation Size Price (USD)  
Image RQ7309 0.5mg/ml if reconstituted with 0.2ml sterile DI water 100 ug 449
Bulk quote request
HBEGF Antibody Colorectal Adenocarcinoma IF. Immunofluorescence analysis of FFPE human colorectal adenocarcinoma tissue stained with HBEGF antibody (red) detecting Heparin-binding EGF-like growth factor (DT-R). Tumor epithelial structures show prominent membranous and cytoplasmic fluorescence, consistent with localization of HBEGF as a cell surface receptor capable of mediating diphtheria toxin binding and internalization, as well as EGFR ligand signaling. The staining pattern highlights carcinoma glands with enriched signal along epithelial cell borders. DAPI nuclear stain (blue) highlights nuclei. HIER: steam section in pH 8 EDTA buffer for 20 min.
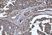
HBEGF Antibody Appendiceal Adenocarcinoma IHC. Immunohistochemistry analysis of FFPE human appendiceal adenocarcinoma tissue stained with HBEGF antibody detecting Heparin-binding EGF-like growth factor (DT-R). Tumor epithelial cells show membranous and cytoplasmic staining, consistent with localization of HBEGF as a cell surface receptor involved in diphtheria toxin binding and receptor-mediated internalization, as well as EGFR ligand signaling. The staining outlines glandular tumor structures, while surrounding stromal components show comparatively reduced signal. Hematoxylin counterstain highlights nuclei in blue. HIER: boil tissue sections in pH 8 EDTA for 20 min and allow to cool before testing.
HBEGF Antibody Lung Adenocarcinoma IHC. Immunohistochemistry analysis of FFPE human lung adenocarcinoma tissue stained with HBEGF antibody detecting Heparin-binding EGF-like growth factor (DT-R). Tumor epithelial cells show membranous and cytoplasmic staining, consistent with localization of HBEGF as a cell surface receptor involved in diphtheria toxin binding and receptor-mediated internalization, as well as EGFR ligand signaling. The staining highlights glandular tumor architecture, while surrounding stromal elements show comparatively reduced signal. Hematoxylin counterstain highlights nuclei in blue. HIER: boil tissue sections in pH 8 EDTA for 20 min and allow to cool before testing.
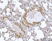
HBEGF Antibody Mouse Lung IHC. Immunohistochemistry analysis of FFPE mouse lung tissue stained with HBEGF antibody detecting Heparin-binding EGF-like growth factor (DT-R). Epithelial cells lining airway and alveolar structures show membranous and cytoplasmic staining, consistent with localization of HBEGF as a cell surface receptor capable of mediating diphtheria toxin binding and receptor-mediated internalization, as well as EGFR ligand signaling. Surrounding stromal regions show comparatively lower signal. Hematoxylin counterstain highlights nuclei in blue. HIER: boil tissue sections in pH 8 EDTA for 20 min and allow to cool before testing.
HBEGF Antibody Rat Respiratory Smooth Muscle IHC. Immunohistochemistry analysis of FFPE rat respiratory smooth muscle tissue stained with HBEGF antibody detecting Heparin-binding EGF-like growth factor (DT-R). Smooth muscle cells show cytoplasmic and membranous staining, consistent with expression of HBEGF as a membrane-associated precursor that can function as a diphtheria toxin receptor and EGFR ligand. Surrounding connective tissue shows comparatively reduced signal. Hematoxylin counterstain highlights nuclei in blue. HIER: boil tissue sections in pH 8 EDTA for 20 min and allow to cool before testing.
HBEGF Antibody Multi-Sample WB. Western blot analysis of human, rat, and mouse lysates using HBEGF antibody detecting Heparin-binding EGF-like growth factor (DT-R). Lane 1: HeLa, Lane 2: K562, Lane 3: Jurkat, Lane 4: U-251, Lane 5: rat C6, Lane 6: mouse lung tissue. A band is detected at approximately 23-30 kDa across multiple samples, consistent with the predicted molecular weight of HBEGF, with variation reflecting glycosylation and processing of the membrane-associated precursor (proHB-EGF). The detection pattern aligns with the known biology of HBEGF as a cell surface receptor mediating diphtheria toxin binding and internalization, as well as an EGFR ligand involved in growth factor signaling across diverse cell types.
HBEGF Antibody Jurkat FACS. Flow cytometry analysis of fixed human Jurkat cells stained with HBEGF antibody detecting Heparin-binding EGF-like growth factor (DT-R). The antibody signal (blue) shows a clear rightward shift compared to cells alone (red) and isotype control (green), indicating positive detection of HBEGF. This profile is consistent with HBEGF as a cell surface-associated receptor capable of mediating diphtheria toxin binding and internalization, as well as functioning as an EGFR ligand in signaling pathways.
Availability 1-3 business days
Species Reactivity Human, Mouse, Rat
Format Antigen affinity purified
Host Rabbit
Clonality Polyclonal (rabbit origin)
Isotype Rabbit IgG
Purity Antigen affinity purified
Buffer Lyophilized from 1X PBS with 2% Trehalose
UniProt Q99075
Applications Western Blot : 0.5-1ug/ml
Immunohistochemistry (FFPE) : 2-5ug/ml
Flow Cytometry : 1-3ug/million cells
Immunofluorescence : 5ug/ml
Limitations This HBEGF Antibody / DT-R - Diphtheria Toxin Receptor and EGFR Ligand Marker is available for research use only.
Review this product on BioCompare and get a $20 Amazon gift card

Related Products

Description

Heparin-binding EGF-like growth factor (HBEGF), also known as diphtheria toxin receptor (DT-R), is a membrane-associated protein that functions both as a ligand for the epidermal growth factor receptor (EGFR) and as the cellular receptor for diphtheria toxin. HBEGF Antibody is used to detect this dual-function protein, which plays important roles in receptor-mediated signaling and toxin internalization across a range of cell types.

As DT-R, HBEGF mediates the binding and internalization of diphtheria toxin into susceptible cells. Upon toxin binding, the HBEGF-toxin complex is internalized, allowing the toxin to enter the cytoplasm and inhibit protein synthesis. This receptor function has been widely utilized in experimental systems, including targeted cell ablation models and studies of receptor-mediated endocytosis. The DT-R identity of HBEGF provides a distinct functional perspective compared to its role as a growth factor, making it a valuable marker in studies of toxin sensitivity and receptor biology.

In addition to its receptor function, HBEGF is synthesized as a membrane-anchored precursor protein (proHB-EGF) that can participate in juxtacrine signaling at the cell surface. Proteolytic cleavage by metalloproteases releases a soluble form that acts as a potent EGFR ligand, activating downstream signaling pathways such as MAPK and PI3K-AKT. These pathways regulate cell proliferation, migration, and survival, linking HBEGF to broader growth factor signaling networks.

HBEGF is expressed in epithelial cells, smooth muscle cells, macrophages, and various stromal populations. Its membrane localization enables both receptor-mediated interactions and localized signaling, while the soluble form extends its activity to neighboring cells. This dual behavior allows HBEGF to coordinate cell communication within tissues, particularly in environments requiring rapid signaling responses.

HBEGF has been implicated in multiple disease contexts, including cancer, inflammation, and tissue injury. In tumor biology, elevated HBEGF expression has been associated with enhanced proliferation, invasion, and interactions within the tumor microenvironment. Its role as DT-R also makes it relevant in experimental oncology models where diphtheria toxin-based systems are used to selectively target specific cell populations. These combined functions support the use of an HBEGF Antibody for investigating receptor-mediated uptake, EGFR signaling, and disease-associated changes in cell communication.

Explore our HBEGF Antibody - Heparin-Binding EGF-Like Growth Factor Marker (HBEGF/9503) page for a broader view of EGFR ligand expression and growth factor signaling in normal and disease tissues.

Application Notes

Optimal dilution of the HBEGF Antibody / DT-R - Diphtheria Toxin Receptor and EGFR Ligand Marker should be determined by the researcher.

Immunogen

Amino acids KKRDPCLRKYKDFCIHGECKYVKE were used as the immunogen for the HBEGF antibody.

Storage

After reconstitution, the HBEGF antibody can be stored for up to one month at 4oC. For long-term, aliquot and store at -20oC. Avoid repeated freezing and thawing.

Alternate Names

HBEGF antibody, DT-R antibody, Diphtheria toxin receptor antibody, HB-EGF antibody, ProHB-EGF antibody, clone-independent HBEGF antibody

Cross
Bulk Quote Request Form
Name*:
Organization*:
Email*:
Phone Number*:
Catalog No.*:
Comments and Specifics(amount, formulation, etc.)*:
Validation code: Captchapackage Image


Can't read the image? click here to refresh.
    *required field

Your bulk quote request has been submitted successfully!

Please contact us if you have any questions.