• Tel: 858.663.9055
  • SeparatorEmail: info@nsjbio.com
  • Tel: 858.663.9055
  • Email: info@nsjbio.com
Home >> Antibodies >> HAS1 Antibody / Hyaluronan synthase 1

HAS1 Antibody / Hyaluronan synthase 1 (RQ4648)

  Catalog No Formulation Size Price (USD)  
Image RQ4648 0.5mg/ml if reconstituted with 0.2ml sterile DI water 100 ug 449
Bulk quote request
Western blot testing of 1) human SHG-44, 2) human ThP-1, 3) rat brain, 4) rat smooth muscle, 5) rat ovary, 6) mouse brain, 7) mouse smooth muscle, 8) mouse ovary, 9) mouse small intestine and 10) mouse Neuro-2a lysate with HAS1 antibody at 0.5ug/ml. Predicted molecular weight ~63 kDa.
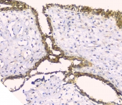
IHC staining of FFPE human breast cancer with HAS1 antibody at 1ug/ml. HIER: boil tissue sections in pH6, 10mM citrate buffer, for 10-20 min and allow to cool before testing.
IHC staining of FFPE human breast cancer with HAS1 antibody at 1ug/ml. HIER: boil tissue sections in pH6, 10mM citrate buffer, for 10-20 min and allow to cool before testing.
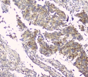
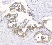
IHC staining of FFPE human lung cancer with HAS1 antibody at 1ug/ml. HIER: boil tissue sections in pH6, 10mM citrate buffer, for 10-20 min and allow to cool before testing.
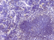
IHC staining of FFPE mouse spleen with HAS1 antibody at 1ug/ml. HIER: boil tissue sections in pH6, 10mM citrate buffer, for 10-20 min and allow to cool before testing.
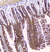
IHC staining of FFPE rat small intestine with HAS1 antibody at 1ug/ml. HIER: boil tissue sections in pH6, 10mM citrate buffer, for 10-20 min and allow to cool before testing.
IF/ICC staining of FFPE human U-2 OS cells with HAS1 antibody (green) at 2ug/ml and DAPI nuclear stain (blue). HIER: steam section in pH6 citrate buffer for 20 min.
Availability 1-3 business days
Species Reactivity Human, Mouse, Rat
Format Antigen affinity purified
Host Rabbit
Clonality Polyclonal (rabbit origin)
Isotype Rabbit IgG
Purity Antigen affinity purified
Buffer Lyophilized from 1X PBS with 2% Trehalose
UniProt Q92839
Applications Western Blot : 0.5-1ug/ml
Immunohistochemistry (FFPE) : 1-2ug/ml
Immunofluorescence/Immunocytochemistry : 2-4ug/ml
Limitations This HAS1 antibody is available for research use only.
Review this product on BioCompare and get a $20 Amazon gift card

Related Products

Description

Hyaluronan synthase 1 is an enzyme that in humans is encoded by the HAS1 gene. This gene is mapped to 19q13.41. Hyaluronan or hyaluronic acid (HA) is a high molecular weight unbranched polysaccharide synthesized by a wide variety of organisms from bacteria to mammals, and is a constituent of the extracellular matrix. It consists of alternating glucuronic acid and N-acetylglucosamine residues that are linked by beta-1-3 and beta-1-4 glycosidic bonds. It serves a variety of functions, including space filling, lubrication of joints, and provision of a matrix through which cells can migrate. HA is actively produced during wound healing and tissue repair to provide a framework for ingrowth of blood vessels and fibroblasts. AS1 is a member of the newly identified vertebrate gene family encoding putative hyaluronan synthases, and its amino acid sequence shows significant homology to the hasA gene product of Streptococcus pyogenes, a glycosaminoglycan synthetase (DG42) from Xenopus laevis, and a recently described murine hyaluronan synthase.

Application Notes

Optimal dilution of the HAS1 antibody should be determined by the researcher.

Immunogen

Amino acids NRAEDLYMVDMFREVFADEDPATYVWDGNYHQPWEPA were used as the immunogen for the HAS1 antibody.

Storage

After reconstitution, the HAS1 antibody can be stored for up to one month at 4oC. For long-term, aliquot and store at -20oC. Avoid repeated freezing and thawing.

Cross
Bulk Quote Request Form
Name*:
Organization*:
Email*:
Phone Number*:
Catalog No.*:
Comments and Specifics(amount, formulation, etc.)*:
Validation code: Captchapackage Image


Can't read the image? click here to refresh.
    *required field

Your bulk quote request has been submitted successfully!

Please contact us if you have any questions.