- Tel: 858.663.9055
- 
									 Email: info@nsjbio.com Email: info@nsjbio.com
- Tel: 858.663.9055
- Email: info@nsjbio.com
 Email: info@nsjbio.com
Email: info@nsjbio.com
								Related Products
| 
 | 
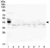
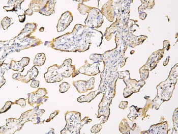
Haptoglobin (HP), is a protein that in humans is encoded by the HP gene. Haptoglobin, a plasma glycoprotein that binds free hemoglobin, has a tetrameric structure of 2 alpha and 2 beta polypeptides that are covalently associated by disulfide bonds. Haptoglobin is homologous to serine proteases of the chymotrypsinogen family. A major function of haptoglobin is to bind hemoglobin(Hb) to form a stable Hp-Hb complex and thereby prevent Hb-induced oxidative tissue damage. Haptoglobin is an unusual secretory protein in that it is proteolytically processed in the endoplasmic reticulum and not in the Golgi. In clinical settings, the haptoglobulin assay is used to screen for and monitor intravascular hemolytic anemia .
Optimal dilution of the Haptoglobin antibody should be determined by the researcher.
Amino acids V19-Q160 from the human protein were used as the immunogen for the Haptoglobin antibody.
After reconstitution, the Haptoglobin antibody can be stored for up to one month at 4oC. For long-term, aliquot and store at -20oC. Avoid repeated freezing and thawing.
 
Your bulk quote request has been submitted successfully!
Please contact us if you have any questions.