• Tel: 858.663.9055
  • SeparatorEmail: info@nsjbio.com
  • Tel: 858.663.9055
  • Email: info@nsjbio.com
Home >> Antibodies >> HAPLN1 Antibody / Hyaluronan and proteoglycan link protein 1

HAPLN1 Antibody / Hyaluronan and proteoglycan link protein 1 (FY12492)

  Catalog No Formulation Size Price (USD)  
Image FY12492 Adding 0.2 ml of distilled water will yield a concentration of 500 ug/ml 100 ug 449
Bulk quote request
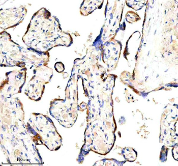
Immunohistochemical staining of HAPLN1 using anti-HAPLN1 antibody. HAPLN1 was detected in a paraffin-embedded section of human placenta tissue. Heat mediated antigen retrieval was performed in EDTA buffer (pH 8.0, epitope retrieval solution). The tissue section was blocked with 10% goat serum. The tissue section was then incubated with 2 ug/ml rabbit anti-HAPLN1 antibody overnight at 4oC. Peroxidase Conjugated Goat Anti-rabbit IgG was used as secondary antibody and incubated for 30 minutes at 37oC. The tissue section was developed using an HRP secondary and DAB substrate.
Western blot analysis of HAPLN1 using anti-HAPLN1 antibody. Electrophoresis was performed on a 10% SDS-PAGE gel at 80V (Stacking gel) / 120V (Resolving gel) for 2 hours. Lane 1: human Caco-2 whole cell lysates, Lane 2: human U2OS whole cell lysates, Lane 3: human PC-3 whole cell lysates, Lane 4: rat brain tissue lysates, Lane 5: mouse brain tissue lysates. After electrophoresis, proteins were transferred to a nitrocellulose membrane at 150 mA for 50-90 minutes. Blocked the membrane with 5% non-fat milk/TBS for 1.5 hour at RT. The membrane was incubated with rabbit anti-HAPLN1 antibody at 0.5 ug/ml overnight at 4oC, then washed with TBS-0.1%Tween 3 times with 5 minutes each and probed with a goat anti-rabbit IgG-HRP secondary antibody at a dilution of 1:5000 for 1.5 hour at RT. The signal was developed using an ECL Plus Western Blotting Substrate. HAPLN1 (~41 kDa predicted) was detected as a doublet at ~48-50 kDa, consistent with the presence of differentially glycosylated or partially processed forms of this extracellular matrix link protein.
Availability 1-2 days
Species Reactivity Human, Mouse, Rat
Format Lyophilized
Host Rabbit
Clonality Polyclonal (rabbit origin)
Isotype Rabbit IgG
Purity Immunogen affinity purified
Buffer Each vial contains 4 mg Trehalose, 0.9 mg NaCl, 0.2 mg Na2HPO4.
UniProt P10915
Applications Western Blot : 0.25-0.5ug/ml
Immunohistochemistry : 2-5ug/ml
ELISA : 0.1-0.5ug/ml
Limitations This HAPLN1 antibody is available for research use only.
Review this product on BioCompare and get a $20 Amazon gift card

Related Products

Description

HAPLN1 antibody detects Hyaluronan and proteoglycan link protein 1, an extracellular matrix (ECM) glycoprotein essential for stabilizing aggregates of hyaluronan and chondroitin sulfate proteoglycans. HAPLN1 promotes structural integrity of cartilage, brain ECM, and connective tissue by maintaining the association between hyaluronan and aggrecan. The HAPLN1 antibody is widely used in developmental biology, neurobiology, and cartilage research to examine ECM organization and tissue morphogenesis.

HAPLN1 is encoded by the HAPLN1 gene on human chromosome 5q14.3. The protein is approximately 38 kilodaltons and belongs to the link protein family characterized by tandem immunoglobulin-like domains. HAPLN1 forms ternary complexes with hyaluronan and aggrecan, contributing to the viscoelastic properties of cartilage and the structural framework of the brain extracellular matrix. It is critical for the assembly of perineuronal nets, specialized ECM structures that regulate neuronal excitability and plasticity.

Using the HAPLN1 antibody, researchers can detect the protein by western blot, where it appears as a 38�40 kilodalton band, or by immunohistochemistry, where it localizes to extracellular matrix regions of cartilage, brain, and developing tissues. HAPLN1 expression begins early in embryogenesis, marking sites of cartilage condensation and neural patterning. In adults, it contributes to the stability of mature ECM networks, particularly within articular cartilage and neuronal environments. Loss or alteration of HAPLN1 disrupts ECM cohesion, leading to joint instability or impaired neuronal function.

HAPLN1 has clinical relevance in osteoarthritis, rheumatoid arthritis, and neurodegenerative diseases. Decreased HAPLN1 levels correlate with cartilage degradation and ECM disorganization. In the nervous system, reduced expression is linked to increased synaptic plasticity and neuroinflammation. Conversely, HAPLN1 overexpression may promote fibrotic ECM accumulation. NSJ Bioreagents provides a validated HAPLN1 antibody, supporting research into tissue architecture, ECM remodeling, and matrix-protein interactions in both health and disease.

Application Notes

Optimal dilution of the HAPLN1 antibody should be determined by the researcher.

Immunogen

E.coli-derived human HAPLN1 recombinant protein (Position: D16-N354) was used as the immunogen for the HAPLN1 antibody.

Storage

After reconstitution, the HAPLN1 antibody can be stored for up to one month at 4oC. For long-term, aliquot and store at -20oC. Avoid repeated freezing and thawing.

Cross
Bulk Quote Request Form
Name*:
Organization*:
Email*:
Phone Number*:
Catalog No.*:
Comments and Specifics(amount, formulation, etc.)*:
Validation code: Captchapackage Image


Can't read the image? click here to refresh.
    *required field

Your bulk quote request has been submitted successfully!

Please contact us if you have any questions.