• Tel: 858.663.9055
  • SeparatorEmail: info@nsjbio.com
  • Tel: 858.663.9055
  • Email: info@nsjbio.com
Home >> Antibodies >> Hamartin Antibody / TSC1

Hamartin Antibody / TSC1 (RQ7757)

  Catalog No Formulation Size Price (USD)  
Image RQ7757 0.5mg/ml if reconstituted with 0.2ml sterile DI water 100 ug 449
Bulk quote request
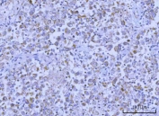
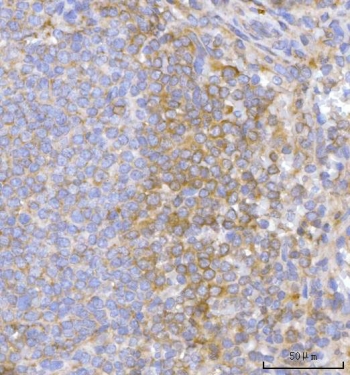
IHC staining of FFPE human spleen tissue with Hamartin antibody. HIER: boil tissue sections in pH8 EDTA for 20 min and allow to cool before testing.
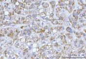
IHC staining of FFPE human testicular seminoma tissue with Hamartin antibody. HIER: boil tissue sections in pH8 EDTA for 20 min and allow to cool before testing.
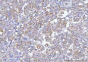
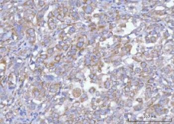
IHC staining of FFPE human lung adenocarcinoma tissue with Hamartin antibody. HIER: boil tissue sections in pH8 EDTA for 20 min and allow to cool before testing.
IHC staining of FFPE human rectum adenocarcinoma tissue with Hamartin antibody. HIER: boil tissue sections in pH8 EDTA for 20 min and allow to cool before testing.
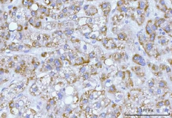
IHC staining of FFPE human liver cancer tissue with Hamartin antibody. HIER: boil tissue sections in pH8 EDTA for 20 min and allow to cool before testing.
Immunofluorescent staining of FFPE human A549 cells with Hamartin antibody (red) and DAPI nuclear stain (blue). HIER: steam section in pH6 citrate buffer for 20 min.
Western blot testing of human HeLa cell lysate with Hamartin antibody. Expected molecular weight: 130-150 kDa.
Flow cytometry testing of human ThP-1 cells with Hamartin antibody at 1ug/million cells (blocked with goat sera); Red=cells alone, Green=isotype control, Blue= Hamartin antibody.
Availability 1-3 business days
Species Reactivity Human
Format Antigen affinity purified
Host Rabbit
Clonality Polyclonal (rabbit origin)
Isotype Rabbit IgG
Purity Antigen affinity purified
Buffer Lyophilized from 1X PBS with 2% Trehalose
UniProt Q92574
Localization Cytoplasmic
Applications Western Blot : 0.5-1ug/ml
Immunohistochemistry (FFPE) : 2-5ug/ml
Immunofluorescence : 5ug/ml
Flow Cytometry : 1-3ug/million cells
Direct ELISA : 0.1-0.5ug/ml
Limitations This Hamartin antibody is available for research use only.
Review this product on BioCompare and get a $20 Amazon gift card

Related Products

Description

Hamartin also known as tuberous sclerosis 1 is a protein that in humans is encoded by the TSC1 gene. It is mapped to 9q34.13. This peripheral membrane protein was implicated as a tumor suppressor. It forms a complex with TSC2 that regulates mTORC1 signaling and may be also involved in vesicular transport and docking. Hamartin and TSC2 have critical roles in neuronal polarity, and that a common pathway regulates polarization and growth in neurons and cell size in other tissues. Hamartin is a growth inhibitory protein whose biologic effect is probably dependent on its interaction with tuberin. It also can affect cell proliferation via deregulation of G1 phase. Loss or perturbation of Hamartin function leads to loss of adhesion to the cellular matrix and initiates the development of TSC hamartomas.

Application Notes

Optimal dilution of the Hamartin antibody should be determined by the researcher.

Immunogen

E. coli-derived recombinant human protein (amino acids M1-H618) was used as the immunogen for the Hamartin antibody.

Storage

After reconstitution, the Hamartin antibody can be stored for up to one month at 4oC. For long-term, aliquot and store at -20oC. Avoid repeated freezing and thawing.

Cross
Bulk Quote Request Form
Name*:
Organization*:
Email*:
Phone Number*:
Catalog No.*:
Comments and Specifics(amount, formulation, etc.)*:
Validation code: Captchapackage Image


Can't read the image? click here to refresh.
    *required field

Your bulk quote request has been submitted successfully!

Please contact us if you have any questions.