• Tel: 858.663.9055
  • SeparatorEmail: info@nsjbio.com
  • Tel: 858.663.9055
  • Email: info@nsjbio.com
Home >> Antibodies >> HAGH Antibody / Hydroxyacylglutathione hydrolase

HAGH Antibody / Hydroxyacylglutathione hydrolase (RQ8652)

  Catalog No Formulation Size Price (USD)  
Image RQ8652 0.5mg/ml if reconstituted with 0.2ml sterile DI water 100 ug 449
Bulk quote request
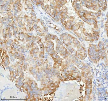
IHC staining of FFPE human thyroid papillary carcinoma tissue with HAGH antibody. HIER: boil tissue sections in pH8 EDTA for 20 min and allow to cool before testing.
IHC staining of FFPE human thyroid papillary carcinoma tissue with HAGH antibody. HIER: boil tissue sections in pH8 EDTA for 20 min and allow to cool before testing.
IHC staining of FFPE human breast cancer tissue with HAGH antibody. HIER: boil tissue sections in pH8 EDTA for 20 min and allow to cool before testing.
IHC staining of FFPE human breast cancer tissue with HAGH antibody. HIER: boil tissue sections in pH8 EDTA for 20 min and allow to cool before testing.
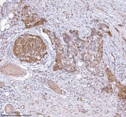
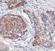
IHC staining of FFPE human colon adenocarcinoma tissue with HAGH antibody. HIER: boil tissue sections in pH8 EDTA for 20 min and allow to cool before testing.
IHC staining of FFPE human colon adenocarcinoma tissue with HAGH antibody. HIER: boil tissue sections in pH8 EDTA for 20 min and allow to cool before testing.
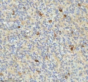
IHC staining of FFPE human glioblastoma tissue with HAGH antibody. HIER: boil tissue sections in pH8 EDTA for 20 min and allow to cool before testing.
IHC staining of FFPE human glioblastoma tissue with HAGH antibody. HIER: boil tissue sections in pH8 EDTA for 20 min and allow to cool before testing.
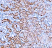
IHC staining of FFPE rat kidney tissue with HAGH antibody. HIER: boil tissue sections in pH8 EDTA for 20 min and allow to cool before testing.
Western blot testing of 1) human HepG2, 2) human Jurkat, 3) human MCF7, 4) rat brain, 5) rat liver, 6) mouse brain and 7) mouse liver tissue lysate with HAGH antibody. Predicted molecular weight: 25-34 kDa (multiple isoforms).
Flow cytometry testing of fixed and permeabilized human U-2 OS cells with HAGH antibody at 1ug/million cells (blocked with goat sera); Red=cells alone, Green=isotype control, Blue= HAGH antibody.
Flow cytometry testing of fixed and permeabilized human JK cells with HAGH antibody at 1ug/million cells (blocked with goat sera); Red=cells alone, Green=isotype control, Blue= HAGH antibody.
Availability 1-3 days
Species Reactivity Human, Mouse, Rat
Format Antigen affinity purified
Host Rabbit
Clonality Polyclonal (rabbit origin)
Isotype Rabbit IgG
Purity Antigen affinity chromatography
Buffer Lyophilized from 1X PBS with 2% Trehalose
UniProt Q16775
Localization Cytoplasm (Mitochondria)
Applications Western Blot : 1-2ug/ml
Immunohistochemistry (FFPE) : 2-5ug/ml
Flow Cytometry : 1-3ug/million cells
ELISA : 0.1-0.5ug/ml
Limitations This HAGH antibody is available for research use only.
Review this product on BioCompare and get a $20 Amazon gift card

Description

Hydroxyacylglutathione hydrolase, mitochondrial is an enzyme that in humans is encoded by the HAGH gene. The enzyme encoded by this gene is classified as a thiolesterase and is responsible for the hydrolysis of S-lactoyl-glutathione to reduced glutathione and D-lactate. Three transcript variants encoding different isoforms have been found for this gene.

Application Notes

Optimal dilution of the HAGH antibody should be determined by the researcher.

Immunogen

An E.coli-derived human recombinant protein (amino acids R10-E235) was used as the immunogen for the HAGH antibody.

Storage

After reconstitution, the HAGH Antibody can be stored for up to one month at 4oC. For long-term, aliquot and store at -20oC. Avoid repeated freezing and thawing.

Cross
Bulk Quote Request Form
Name*:
Organization*:
Email*:
Phone Number*:
Catalog No.*:
Comments and Specifics(amount, formulation, etc.)*:
Validation code: Captchapackage Image


Can't read the image? click here to refresh.
    *required field

Your bulk quote request has been submitted successfully!

Please contact us if you have any questions.