• Tel: 858.663.9055
  • SeparatorEmail: info@nsjbio.com
  • Tel: 858.663.9055
  • Email: info@nsjbio.com
Home >> Antibodies >> HADHA Antibody / Hydroxyacyl-CoA dehydrogenase trifunctional multienzyme complex subunit alpha

HADHA Antibody / Hydroxyacyl-CoA dehydrogenase trifunctional multienzyme complex subunit alpha (FY12953)

  Catalog No Formulation Size Price (USD)  
Image FY12953 Adding 0.2 ml of distilled water will yield a concentration of 500 ug/ml 100 ug 449
Bulk quote request
Western blot analysis of HADHA using anti-HADHA antibody. Lane 1: human Jurkat whole cell lysates, Lane 2: human 293T whole cell lysates, Lane 3: human Hela whole cell lysates, Lane 4: rat liver tissue lysates, Lane 5: rat kidney tissue lysates, Lane 6: mouse liver tissue lysates, Lane 7: mouse kidney tissue lysates, Lane 8: mouse NIH/3T3 whole cell lysates. After electrophoresis, proteins were transferred to a nitrocellulose membrane at 150 mA for 50-90 minutes. Blocked the membrane with 5% non-fat milk/TBS for 1.5 hour at RT. The membrane was incubated with rabbit anti-HADHA antibody at 0.5 ug/ml overnight at 4oC, then washed with TBS-0.1%Tween 3 times with 5 minutes each and probed with a goat anti-rabbit IgG-HRP secondary antibody at a dilution of 1:5000 for 1.5 hour at RT. The signal was developed using enhanced chemiluminescent. A predominant band is detected at ~79 kDa, consistent with the reported migration of the full-length alpha subunit. An additional ~26 kDa band is present, consistent with a stable proteolytic fragment of HADHA commonly observed in mitochondrial or tissue lysates.
Western blot analysis of HADHA using anti-HADHA antibody. Lane 1: human 293T whole cell lysates, Lane 2: human HELA whole cell lysates, Lane 3: rat kidney tissue lysates, Lane 4: mouse kidney tissue lysates. After electrophoresis, proteins were transferred to a nitrocellulose membrane at 150 mA for 50-90 minutes. Blocked the membrane with 5% non-fat milk/TBS for 1.5 hour at RT. The membrane was incubated with rabbit anti-HADHA antibody at 0.25 ug/ml overnight at 4oC, then washed with TBS-0.1%Tween 3 times with 5 minutes each and probed with a goat anti-rabbit IgG-DyLight 647 Conjugated secondary antibody at a dilution of 1:5000 for 1.5 hour at RT. A specific band was detected for HADHA at approximately 79 kDa. The expected molecular weight of HADHA is ~83 kDa. Lane 1: human 293T whole cell lysates, Lane 2: human HELA whole cell lysates, Lane 3: rat kidney tissue lysates, Lane 4: mouse kidney tissue lysates. After electrophoresis, proteins were transferred to a nitrocellulose membrane at 150 mA for 50-90 minutes. Blocked the membrane with 5% non-fat milk/TBS for 1.5 hour at RT. The membrane was incubated with rabbit anti-HADHA antibody at 0.25 ug/ml overnight at 4oC, then washed with TBS-0.1%Tween 3 times with 5 minutes each and probed with a goat anti-rabbit IgG-HRP secondary antibody at a dilution of 1:2000 for 1.5 hour at RT. The signal was developed using enhanced chemiluminescent. A predominant band is detected at ~79 kDa, consistent with the reported migration of the full-length alpha subunit. An additional ~26 kDa band is present, consistent with a stable proteolytic fragment of HADHA commonly observed in mitochondrial or tissue lysates.
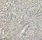
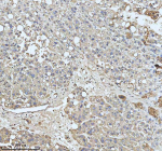
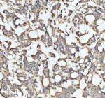
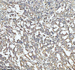
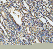
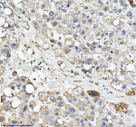
Immunohistochemical staining of HADHA using anti-HADHA antibody. HADHA was detected in a paraffin-embedded section of human bladder cancer tissue. Heat mediated antigen retrieval was performed in EDTA buffer (pH 8.0, epitope retrieval solution). The tissue section was blocked with 10% goat serum. The tissue section was then incubated with 2 ug/ml rabbit anti-HADHA antibody overnight at 4oC. Peroxidase Conjugated Goat Anti-rabbit IgG was used as secondary antibody and incubated for 30 minutes at 37oC. The tissue section was developed using an HRP secondary and DAB substrate.
Immunohistochemical staining of HADHA using anti-HADHA antibody. HADHA was detected in a paraffin-embedded section of human testis cancer tissue. Heat mediated antigen retrieval was performed in EDTA buffer (pH 8.0, epitope retrieval solution). The tissue section was blocked with 10% goat serum. The tissue section was then incubated with 2 ug/ml rabbit anti-HADHA antibody overnight at 4oC. Peroxidase Conjugated Goat Anti-rabbit IgG was used as secondary antibody and incubated for 30 minutes at 37oC. The tissue section was developed using an HRP secondary and DAB substrate.
Immunohistochemical staining of HADHA using anti-HADHA antibody. HADHA was detected in a paraffin-embedded section of human colon adenocarcinoma tissue. Heat mediated antigen retrieval was performed in EDTA buffer (pH 8.0, epitope retrieval solution). The tissue section was blocked with 10% goat serum. The tissue section was then incubated with 2 ug/ml rabbit anti-HADHA antibody overnight at 4oC. Peroxidase Conjugated Goat Anti-rabbit IgG was used as secondary antibody and incubated for 30 minutes at 37oC. The tissue section was developed using an HRP secondary and DAB substrate.
Immunohistochemical staining of HADHA using anti-HADHA antibody. HADHA was detected in a paraffin-embedded section of human colon adenocarcinoma tissue. Heat mediated antigen retrieval was performed in EDTA buffer (pH 8.0, epitope retrieval solution). The tissue section was blocked with 10% goat serum. The tissue section was then incubated with 2 ug/ml rabbit anti-HADHA antibody overnight at 4oC. Peroxidase Conjugated Goat Anti-rabbit IgG was used as secondary antibody and incubated for 30 minutes at 37oC. The tissue section was developed using an HRP secondary and DAB substrate.
Immunohistochemical staining of HADHA using anti-HADHA antibody. HADHA was detected in a paraffin-embedded section of human liver cancer tissue. Heat mediated antigen retrieval was performed in EDTA buffer (pH 8.0, epitope retrieval solution). The tissue section was blocked with 10% goat serum. The tissue section was then incubated with 2 ug/ml rabbit anti-HADHA antibody overnight at 4oC. Peroxidase Conjugated Goat Anti-rabbit IgG was used as secondary antibody and incubated for 30 minutes at 37oC. The tissue section was developed using an HRP secondary and DAB substrate.
Immunohistochemical staining of HADHA using anti-HADHA antibody. HADHA was detected in a paraffin-embedded section of human liver cancer tissue. Heat mediated antigen retrieval was performed in EDTA buffer (pH 8.0, epitope retrieval solution). The tissue section was blocked with 10% goat serum. The tissue section was then incubated with 2 ug/ml rabbit anti-HADHA antibody overnight at 4oC. Peroxidase Conjugated Goat Anti-rabbit IgG was used as secondary antibody and incubated for 30 minutes at 37oC. The tissue section was developed using an HRP secondary and DAB substrate.
Immunohistochemical staining of HADHA using anti-HADHA antibody. HADHA was detected in a paraffin-embedded section of human placental tissue. Heat mediated antigen retrieval was performed in EDTA buffer (pH 8.0, epitope retrieval solution). The tissue section was blocked with 10% goat serum. The tissue section was then incubated with 2 ug/ml rabbit anti-HADHA antibody overnight at 4oC. Peroxidase Conjugated Goat Anti-rabbit IgG was used as secondary antibody and incubated for 30 minutes at 37oC. The tissue section was developed using an HRP secondary and DAB substrate.
Immunohistochemical staining of HADHA using anti-HADHA antibody. HADHA was detected in a paraffin-embedded section of human non-small cell lung cancer tissue. Heat mediated antigen retrieval was performed in EDTA buffer (pH 8.0, epitope retrieval solution). The tissue section was blocked with 10% goat serum. The tissue section was then incubated with 2 ug/ml rabbit anti-HADHA antibody overnight at 4oC. Peroxidase Conjugated Goat Anti-rabbit IgG was used as secondary antibody and incubated for 30 minutes at 37oC. The tissue section was developed using an HRP secondary and DAB substrate.
Immunohistochemical staining of HADHA using anti-HADHA antibody. HADHA was detected in a paraffin-embedded section of human thyroid papillary carcinoma tissue. Heat mediated antigen retrieval was performed in EDTA buffer (pH 8.0, epitope retrieval solution). The tissue section was blocked with 10% goat serum. The tissue section was then incubated with 2 ug/ml rabbit anti-HADHA antibody overnight at 4oC. Peroxidase Conjugated Goat Anti-rabbit IgG was used as secondary antibody and incubated for 30 minutes at 37oC. The tissue section was developed using an HRP secondary and DAB substrate.
Immunofluorescent staining of FFPE human lung cancer tissue with HDAHA antibody (green) and DAPI nuclear stain (blue). HIER: steam section in pH8 EDTA buffer for 20 min.
Immunofluorescent staining of FFPE human MG-63 cells with HADHA antibody (green) and DAPI nuclear stain (blue). HIER: steam section in pH6 citrate buffer for 20 min.
Flow cytometry analysis of fixed and permeabilized human JK cells with HADHA antibody at 1ug/million cells (blocked with goat sera); Red=cells alone, Green=isotype control, Blue= HADHA antibody.
Availability 1-2 days
Species Reactivity Human, Mouse, Rat
Format Lyophilized
Host Rabbit
Clonality Polyclonal (rabbit origin)
Isotype Rabbit IgG
Purity Immunogen affinity purified
Buffer Each vial contains 4 mg Trehalose, 0.9 mg NaCl, 0.2 mg Na2HPO4.
UniProt P40939
Localization Cytoplasm (Mitochondria)
Applications ELISA : 0.1-0.5ug/ml
Flow Cytometry : 1-3ug/million cells
Immunofluorescence : 5ug/ml
Immunohistochemistry : 2-5ug/ml
Immunocytochemistry : 5ug/ml
Western Blot : 0.25-0.5ug/ml
Limitations This HADHA antibody is available for research use only.
Review this product on BioCompare and get a $20 Amazon gift card

Description

HADHA antibody detects Hydroxyacyl-CoA dehydrogenase trifunctional multienzyme complex subunit alpha, a mitochondrial enzyme essential for fatty acid beta-oxidation. The UniProt recommended name is Trifunctional enzyme subunit alpha, mitochondrial (HADHA), which functions as part of the mitochondrial trifunctional protein (MTP) complex. This alpha subunit possesses both long-chain enoyl-CoA hydratase and long-chain 3-hydroxyacyl-CoA dehydrogenase activities, while its partner, HADHB, provides 3-ketoacyl-CoA thiolase activity.

Functionally, HADHA antibody recognizes a 79 kDa protein localized to the inner mitochondrial membrane, where it catalyzes key reactions in the beta-oxidation pathway of long-chain fatty acids. HADHA converts long-chain enoyl-CoA substrates to hydroxyacyl-CoA and subsequently to 3-ketoacyl-CoA intermediates, producing NADH and acetyl-CoA for energy generation. This process is vital for sustaining ATP production in tissues with high oxidative energy requirements, including heart, skeletal muscle, and liver. Disruption of HADHA function impairs mitochondrial fatty acid oxidation, leading to metabolic imbalance and accumulation of toxic lipid intermediates.

The HADHA gene is located on chromosome 2p23.3 and encodes one of the two subunits forming the hetero-octameric mitochondrial trifunctional protein complex. HADHA and HADHB assemble into four alpha-beta dimers that operate cooperatively in fatty acid oxidation. The enzyme's activity is critical during fasting and prolonged exercise when fatty acids serve as the major energy source. Mutations in HADHA result in long-chain 3-hydroxyacyl-CoA dehydrogenase deficiency (LCHAD deficiency), a metabolic disorder characterized by hypoglycemia, hepatic dysfunction, and cardiomyopathy.

HADHA antibody is used to investigate mitochondrial metabolism, lipid oxidation, and energy regulation. It is particularly valuable in studies of metabolic disorders, mitochondrial dysfunction, and lipid-associated diseases. In cellular research, HADHA serves as a mitochondrial marker and is often co-stained with oxidative phosphorylation proteins to assess organelle function. Reduced HADHA expression is associated with defective energy metabolism in diabetes, fatty liver disease, and heart failure. Conversely, upregulation may indicate compensatory enhancement of fatty acid catabolism under stress.

Structurally, HADHA contains an N-terminal enoyl-CoA hydratase domain and a C-terminal 3-hydroxyacyl-CoA dehydrogenase domain, both dependent on NAD+ for catalytic turnover. Post-translational regulation of HADHA involves acetylation, phosphorylation, and interactions with acyl-CoA binding proteins that modulate substrate specificity. Its proper function is essential for maintaining mitochondrial redox balance and preventing lipid-induced oxidative stress.

NSJ Bioreagents provides HADHA antibody reagents validated for research use in mitochondrial biology, energy metabolism, and metabolic disease models. These antibodies enable high-specificity detection in western blotting, immunohistochemistry, and confocal imaging applications.

Application Notes

Optimal dilution of the HADHA antibody should be determined by the researcher.

Immunogen

E.coli-derived human HADHA recombinant protein (Position: R20-N758) was used as the immunogen for the HADHA antibody.

Storage

After reconstitution, the HADHA antibody can be stored for up to one month at 4oC. For long-term, aliquot and store at -20oC. Avoid repeated freezing and thawing.

Cross
Bulk Quote Request Form
Name*:
Organization*:
Email*:
Phone Number*:
Catalog No.*:
Comments and Specifics(amount, formulation, etc.)*:
Validation code: Captchapackage Image


Can't read the image? click here to refresh.
    *required field

Your bulk quote request has been submitted successfully!

Please contact us if you have any questions.