• Tel: 858.663.9055
  • SeparatorEmail: info@nsjbio.com
  • Tel: 858.663.9055
  • Email: info@nsjbio.com
Home >> Antibodies >> GZMM Antibody / Granzyme M

GZMM Antibody / Granzyme M (FY13183)

  Catalog No Formulation Size Price (USD)  
Image FY13183 Adding 0.2 ml of distilled water will yield a concentration of 500 ug/ml 100 ug 449
Bulk quote request
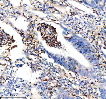
Immunohistochemical staining of Granzyme M/GZMM using anti-GZMM antibody. Granzyme M/GZMM was detected in a paraffin-embedded section of human colon cancer tissue. Heat mediated antigen retrieval was performed in EDTA buffer (pH 8.0, epitope retrieval solution). The tissue section was blocked with 10% goat serum. The tissue section was then incubated with 2 ug/ml rabbit anti-GZMM antibody overnight at 4oC. Peroxidase Conjugated Goat Anti-rabbit IgG was used as secondary antibody and incubated for 30 minutes at 37oC. The tissue section was developed using an HRP secondary and DAB substrate.
Immunohistochemical staining of Granzyme M/GZMM using anti-GZMM antibody. Granzyme M/GZMM was detected in a paraffin-embedded section of human breast cancer tissue. Heat mediated antigen retrieval was performed in EDTA buffer (pH 8.0, epitope retrieval solution). The tissue section was blocked with 10% goat serum. The tissue section was then incubated with 2 ug/ml rabbit anti-GZMM antibody overnight at 4oC. Peroxidase Conjugated Goat Anti-rabbit IgG was used as secondary antibody and incubated for 30 minutes at 37oC. The tissue section was developed using an HRP secondary and DAB substrate.
Availability 1-2 days
Species Reactivity Human
Format Lyophilized
Host Rabbit
Clonality Polyclonal (rabbit origin)
Isotype Rabbit IgG
Purity Immunogen affinity purified
Buffer Each vial contains 4 mg Trehalose, 0.9 mg NaCl, 0.2 mg Na2HPO4.
UniProt P51124
Applications Immunohistochemistry : 2-5ug/ml
Limitations This GZMM antibody is available for research use only.
Review this product on BioCompare and get a $20 Amazon gift card

Related Products

Description

GZMM antibody detects Granzyme M, a serine protease expressed in cytotoxic lymphocytes and natural killer (NK) cells that mediates immune defense through target cell apoptosis. The UniProt recommended name is Granzyme M (GZMM). This enzyme contributes to innate immunity by inducing non-caspase-dependent cell death and by modulating inflammatory cytokine processing.

Functionally, GZMM antibody identifies a 262-amino-acid protein localized to cytotoxic granules of NK and CD8+ T cells. Granzyme M is stored in secretory vesicles and released upon immune activation to cleave intracellular substrates in infected or malignant cells. It works synergistically with perforin and other granzymes to initiate rapid target cell lysis.

The GZMM gene is located on chromosome 19p13.3 within the granzyme gene cluster and is expressed predominantly in NK cells and cytotoxic T lymphocytes. GZMM contributes to immune surveillance by degrading viral and bacterial proteins and modulating proinflammatory signaling pathways.

Pathologically, elevated GZMM activity has been observed in inflammatory and autoimmune diseases, as well as in cancer immune responses. Deficiency impairs cytotoxic clearance of pathogens and tumor cells. Research using GZMM antibody supports studies in immunology, cytotoxic signaling, and inflammation control.

GZMM antibody is validated for western blotting, flow cytometry, and immunohistochemistry to detect cytotoxic granule enzymes. NSJ Bioreagents provides GZMM antibody reagents optimized for immune cell function, cytotoxicity, and inflammation research.

Structurally, Granzyme M is a trypsin-like serine protease containing the catalytic triad His-Asp-Ser and a substrate-binding pocket that determines cleavage specificity. This antibody aids in examining GZMM's role in cytotoxic defense and immune regulation.

Application Notes

Optimal dilution of the GZMM antibody should be determined by the researcher.

Immunogen

A synthetic peptide corresponding to a sequence at the C-terminus of human Granzyme M/GZMM was used as the immunogen for the GZMM antibody.

Storage

After reconstitution, the GZMM antibody can be stored for up to one month at 4oC. For long-term, aliquot and store at -20oC. Avoid repeated freezing and thawing.

Cross
Bulk Quote Request Form
Name*:
Organization*:
Email*:
Phone Number*:
Catalog No.*:
Comments and Specifics(amount, formulation, etc.)*:
Validation code: Captchapackage Image


Can't read the image? click here to refresh.
    *required field

Your bulk quote request has been submitted successfully!

Please contact us if you have any questions.